Skip to main content

ATE1 Antibody (S09-6D4)

Novus Biologicals, part of Bio-Techne | Catalog # NBP3-19575

Recombinant Monoclonal Antibody
Novus Biologicals, part of Bio-Techne
Catalog #
Availability
Size / Price
Qty
Loading...
NBP3-19575-100ul
NBP3-19575-50ul

Key Product Details

Species Reactivity

Human, Mouse, Rat

Applications

Immunohistochemistry, Immunohistochemistry-Paraffin, Western Blot

Label

Unconjugated

Antibody Source

Recombinant Monoclonal Rabbit IgG Clone # S09-6D4 expressed in HEK293

Concentration

0.3 mg/ml

Product Specifications

Immunogen

A synthetic peptide of human ATE1 (Uniprot # O95260)

Clonality

Monoclonal

Host

Rabbit

Isotype

IgG

Theoretical MW

59 kDa.
Disclaimer note: The observed molecular weight of the protein may vary from the listed predicted molecular weight due to post translational modifications, post translation cleavages, relative charges, and other experimental factors.

Description

Novus Biologicals Rabbit ATE1 Antibody (S09-6D4) (NBP3-19575) is a recombinant monoclonal antibody validated for use in IHC and WB. All Novus Biologicals antibodies are covered by our 100% guarantee.

Scientific Data Images for ATE1 Antibody (S09-6D4)

Western Blot: ATE1 Antibody (S09-6D4) [NBP3-19575]

Western Blot: ATE1 Antibody (S09-6D4) [NBP3-19575]

Western Blot: ATE1 Antibody (S09-6D4) [NBP3-19575] - Western blot detection of ATE1 in C6 cell lysates using NBP3-19575 (1:1000 diluted). Predicted band size: 59kDa. Observed band size: 59kDa.
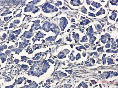
Immunohistochemistry-Paraffin: ATE1 Antibody (S09-6D4) [NBP3-19575]

Immunohistochemistry-Paraffin: ATE1 Antibody (S09-6D4) [NBP3-19575]

Immunohistochemistry-Paraffin: ATE1 Antibody (S09-6D4) [NBP3-19575] - Immunohistochemistry of ATE1 in paraffin-embedded Human Cholangiocarcinoma using NBP3-19575 at dilution 1/20

Applications for ATE1 Antibody (S09-6D4)

Application
Recommended Usage

Immunohistochemistry

1/20

Western Blot

1/1000

Formulation, Preparation, and Storage

Purification

Affinity purified

Formulation

50mM Tris-Glycine(pH 7.4), 0.15M NaCl, 40% Glycerol, 0.05% BSA

Preservative

0.01% Sodium Azide

Concentration

0.3 mg/ml

Shipping

The product is shipped with polar packs. Upon receipt, store it immediately at the temperature recommended below.

Stability & Storage

Store at 4C short term. Aliquot and store at -20C long term. Avoid freeze-thaw cycles.

Background: ATE1

ATE1 encodes an arginyltransferase, an enzyme that is involved in posttranslational conjugation of arginine to N-terminal aspartate or glutamate residues. Conjugation of arginine to the N-terminal aspartate or glutamate targets proteins for ubiquitin-dependent degradation. Alternative splicing results in two transcript variants encoding distinct isoforms.

Alternate Names

Arginine-tRNA--protein transferase 1, arginyltransferase 1MGC26724, arginyl-tRNA-protein transferase, arginyl-tRNA--protein transferase 1, EC 2.3.2.8, R-transferase 1

Gene Symbol

ATE1

Additional ATE1 Products

Product Documents for ATE1 Antibody (S09-6D4)

Certificate of Analysis

To download a Certificate of Analysis, please enter a lot number in the search box below.

Product Specific Notices for ATE1 Antibody (S09-6D4)

This product is for research use only and is not approved for use in humans or in clinical diagnosis. Primary Antibodies are guaranteed for 1 year from date of receipt.

Loading...
Loading...
Loading...
Loading...