Skip to main content

Ataxin-2 Antibody - BSA Free

Novus Biologicals, part of Bio-Techne | Catalog # NBP1-90062

Novus Biologicals, part of Bio-Techne
Catalog #
Availability
Size / Price
Qty
Loading...
NBP1-90062
NBP1-90062-25ul

Key Product Details

Validated by

Orthogonal Validation, Independent Antibodies

Species Reactivity

Validated:

Human

Predicted:

Mouse (93%), Rat (95%). Backed by our 100% Guarantee.

Applications

Immunohistochemistry, Immunohistochemistry-Paraffin

Label

Unconjugated

Antibody Source

Polyclonal Rabbit IgG

Format

BSA Free

Concentration

Concentrations vary lot to lot. See vial label for concentration. If unlisted please contact technical services.

Product Specifications

Immunogen

This antibody was developed against Recombinant Protein corresponding to amino acids: EGHSINTRENKYIPPGQRNREVISWGSGRQNSPRMGQPGSGSMPSRSTSHTSDFNPNSGSDQRVVNGGVPWPSPCPSPSSRPPSRYQSGPNSLPPRAATPTRPPSRPPSRPSRPPSHPSAHGSPAPVSTMPKRMSSE

Clonality

Polyclonal

Host

Rabbit

Isotype

IgG

Scientific Data Images for Ataxin-2 Antibody - BSA Free

Immunohistochemistry-Paraffin: Ataxin-2 Antibody [NBP1-90062]

Immunohistochemistry-Paraffin: Ataxin-2 Antibody [NBP1-90062]

Immunohistochemistry-Paraffin: Ataxin-2 Antibody [NBP1-90062] - Staining of human cerebellum, cerebral cortex, skeletal muscle and testis using Anti-Ataxin-2 antibody NBP1-90062 (A) shows similar protein distribution across tissues to independent antibody NBP1-90063 (B).
Immunohistochemistry-Paraffin: Ataxin-2 Antibody [NBP1-90062]

Immunohistochemistry-Paraffin: Ataxin-2 Antibody [NBP1-90062]

Immunohistochemistry-Paraffin: Ataxin-2 Antibody [NBP1-90062] - Analysis in human testis and skeletal muscle tissues. Corresponding Ataxin-2 RNA-seq data are presented for the same tissues.
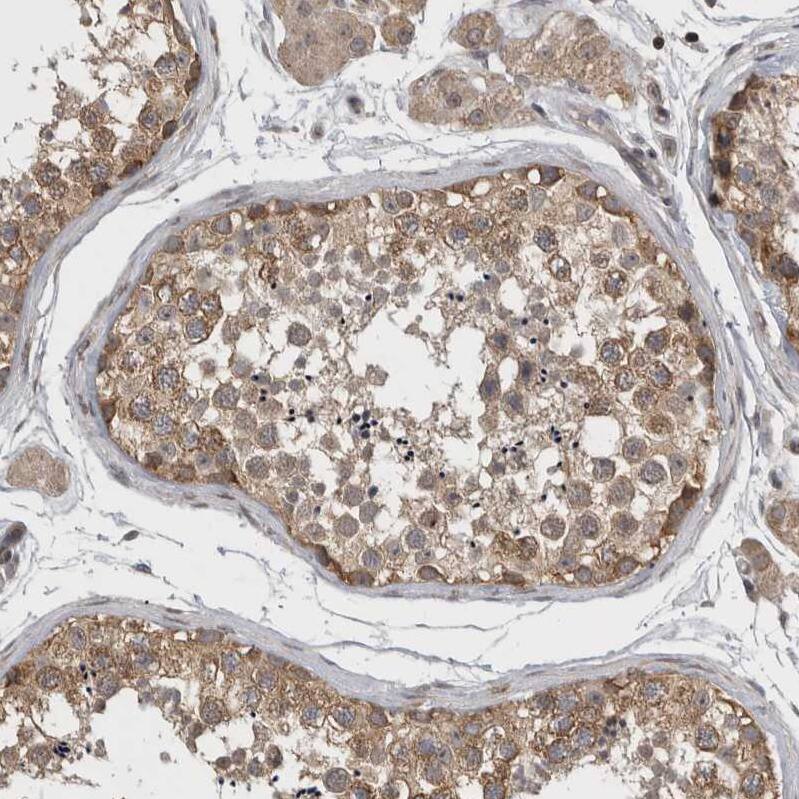
Ataxin-2 Antibody - BSA Free Immunohistochemistry: Ataxin-2 Antibody - BSA Free [NBP1-90062]

Immunohistochemistry: Ataxin-2 Antibody - BSA Free [NBP1-90062]

Staining of human testis shows moderate cytoplasmic positivity in cells in seminiferous ducts.

Applications for Ataxin-2 Antibody - BSA Free

Application
Recommended Usage

Immunohistochemistry

1:200 - 1:500

Immunohistochemistry-Paraffin

1:200 - 1:500
Application Notes
For IHC-Paraffin, HIER pH 6 retrieval is recommended.

Formulation, Preparation, and Storage

Purification

Affinity purified

Formulation

PBS (pH 7.2) and 40% Glycerol

Format

BSA Free

Preservative

0.02% Sodium Azide

Concentration

Concentrations vary lot to lot. See vial label for concentration. If unlisted please contact technical services.

Shipping

The product is shipped with polar packs. Upon receipt, store it immediately at the temperature recommended below.

Stability & Storage

Store at 4C short term. Aliquot and store at -20C long term. Avoid freeze-thaw cycles.

Background: Ataxin-2

The autosomal dominant cerebellar ataxias (ADCA) are a heterogeneous group of neurodegenerative disorders characterized by progressive degeneration of the cerebellum, brain stem and spinal cord. Clinically, ADCA has been divided into three groups: ADCA types I-III. ADCAI is genetically heterogeneous, with five genetic loci, designated spinocerebellar ataxia (SCA) 1, 2, 3, 4 and 6, being assigned to five different chromosomes. ADCAII, which always presents with retinal degeneration (SCA7), and ADCAIII often referred to as the `pure' cerebellar syndrome (SCA5), are most likely homogeneous disorders. Several SCA genes have been cloned and shown to contain CAG repeats in their coding regions. ADCA is caused by the expansion of the CAG repeats, producing an elongated polyglutamine tract in the corresponding protein. The expanded repeats are variable in size and unstable, usually increasing in size when transmitted to successive generations. The function of the ataxins is not known. This locus has been mapped to chromosome 12, and it has been determined that the diseased allele contains 36-52 CAG repeats, compared to 22-23 in the normal allele. A potential transcript variant, missing an internal coding exon, has been described; however, its full-length nature is not certain.

Alternate Names

ataxin 2, ataxin 2), ataxin-2, ATX2spinocerebellar ataxia 2 (olivopontocerebellar ataxia 2, autosomal dominant, SCA2FLJ46772, Spinocerebellar ataxia type 2 protein, TNRC13, trinucleotide repeat containing 13, Trinucleotide repeat-containing gene 13 protein

Gene Symbol

ATXN2

Additional Ataxin-2 Products

Product Documents for Ataxin-2 Antibody - BSA Free

Certificate of Analysis

To download a Certificate of Analysis, please enter a lot number in the search box below.

Product Specific Notices for Ataxin-2 Antibody - BSA Free

This product is for research use only and is not approved for use in humans or in clinical diagnosis. Primary Antibodies are guaranteed for 1 year from date of receipt.

Loading...
Loading...
Loading...
Loading...