Skip to main content

Ataxin 1 Antibody (2F5)

Novus Biologicals, part of Bio-Techne | Catalog # NBP1-51689

Novus Biologicals, part of Bio-Techne
Catalog #
Availability
Size / Price
Qty
Loading...
NBP1-51689
NBP1-51689-0.025ml

Key Product Details

Species Reactivity

Human

Applications

Immunohistochemistry, Immunohistochemistry-Paraffin, Western Blot, ELISA, Flow Cytometry, Immunocytochemistry/ Immunofluorescence

Label

Unconjugated

Antibody Source

Monoclonal Mouse IgG1 Clone # 2F5

Concentration

This product is unpurified. The exact concentration of antibody is not quantifiable.

Product Specifications

Immunogen

Purified recombinant fragment of human Ataxin 1 expressed in E. Coli.

Clonality

Monoclonal

Host

Mouse

Isotype

IgG1

Theoretical MW

87 kDa.
Disclaimer note: The observed molecular weight of the protein may vary from the listed predicted molecular weight due to post translational modifications, post translation cleavages, relative charges, and other experimental factors.

Scientific Data Images for Ataxin 1 Antibody (2F5)

Western Blot: Ataxin 1 Antibody (2F5)BSA Free [NBP1-51689]

Western Blot: Ataxin 1 Antibody (2F5)BSA Free [NBP1-51689]

Western Blot: Ataxin 1 Antibody (2F5) [NBP1-51689] - Analysis using ATXN1 mab against HEK293 (1) and ATXN1 higGFC transfected HEK293 (2) cell lysate.
Immunocytochemistry/ Immunofluorescence: Ataxin 1 Antibody (2F5) - BSA Free [NBP1-51689]

Immunocytochemistry/ Immunofluorescence: Ataxin 1 Antibody (2F5) - BSA Free [NBP1-51689]

Immunocytochemistry/Immunofluorescence: Ataxin 1 Antibody (2F5) [NBP1-51689] - Immunofluorescence analysis of NTERA-2 cells using ATXN1 mouse mAb (green). Blue: DRAQ5 fluorescent DNA dye. Red: Actin filaments have been labeled with Alexa Fluor-555 phalloidin.
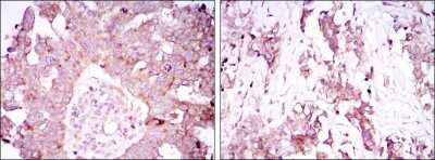
Immunohistochemistry-Paraffin: Ataxin 1 Antibody (2F5) - BSA Free [NBP1-51689]

Immunohistochemistry-Paraffin: Ataxin 1 Antibody (2F5) - BSA Free [NBP1-51689]

Immunohistochemistry-Paraffin: Ataxin 1 Antibody (2F5) [NBP1-51689] - Immunohistochemical analysis of paraffin-embedded ovarian cancer tissues (left) and lung cancer tissues (right) using ATXN1 mouse mAb with DAB staining.

Applications for Ataxin 1 Antibody (2F5)

Application
Recommended Usage

ELISA

1:10000

Flow Cytometry

1:200-1:400

Immunocytochemistry/ Immunofluorescence

1:200-1:1000

Immunohistochemistry

1:200-1:1000

Immunohistochemistry-Paraffin

1:200 - 1/:000

Western Blot

1:500 - 1:2000

Formulation, Preparation, and Storage

Purification

Ascites

Formulation

Ascites

Preservative

0.03% Sodium Azide

Concentration

This product is unpurified. The exact concentration of antibody is not quantifiable.

Shipping

The product is shipped with polar packs. Upon receipt, store it immediately at the temperature recommended below.

Stability & Storage

Store at 4C short term. Aliquot and store at -20C long term. Avoid freeze-thaw cycles.

Background: Ataxin 1

Defects in Ataxin-1 are the cause of spinocerebellar ataxia type 1 (SCA1), also known as olivopontocerebellar atrophy I (OPCA I or OPCA1). Patients show progressive incoordination of gait and often poor coordination of hands, speech and eye movements, due to cerebellum degeneration with variable involvement of the brainstem and spinal cord. SCA1 is caused by expansion of a CAG repeat in the coding region of the ataxin-1 gene. Longer expansions result in earlier onset and more severe clinical manifestations of the disease. Ataxin-1 binds RNA in vitro and may be involved in RNA metabolism. [Uniprot]

Alternate Names

ataxin 1, ataxin 1), ataxin-1, ATX1spinocerebellar ataxia 1 (olivopontocerebellar ataxia 1, autosomal dominant, SCA1D6S504E, Spinocerebellar ataxia type 1 protein

Gene Symbol

ATXN1

Additional Ataxin 1 Products

Product Documents for Ataxin 1 Antibody (2F5)

Certificate of Analysis

To download a Certificate of Analysis, please enter a lot number in the search box below.

Product Specific Notices for Ataxin 1 Antibody (2F5)

This product is for research use only and is not approved for use in humans or in clinical diagnosis. Primary Antibodies are guaranteed for 1 year from date of receipt.

Loading...
Loading...
Loading...
Loading...
Loading...