Skip to main content

ATAD3A Antibody - BSA Free

Novus Biologicals, part of Bio-Techne | Catalog # NBP3-38518

Novus Biologicals, part of Bio-Techne
Catalog #
Availability
Size / Price
Qty
Loading...
NBP3-38518-20ul
NBP3-38518-100ul

Key Product Details

Species Reactivity

Human, Mouse

Applications

Immunohistochemistry, Immunohistochemistry-Paraffin, Western Blot, ELISA

Label

Unconjugated

Antibody Source

Polyclonal Rabbit IgG

Format

BSA Free

Concentration

Please see the vial label for concentration. If unlisted please contact technical services.

Product Specifications

Immunogen

Recombinant fusion protein containing a sequence corresponding to amino acids 1-240 of human ATAD3A (NP_001164006.1).

Sequence:
MSWLFGINKGPKGEGAGPPPPLPPAQPGAEGGGDRGLGDRPAPKDKWSNFDPTGLERAAKAARELEHSRYAKDALNLAQMQEQTLQLEQQSKLKEYEAAVEQLKSEQIRAQAEERRKTLSEETRQHQARAQYQDKLARQRYEDQLKQQQLLNEENLRKQEESVQKQEAMRRATVEREMELRHKNEMLRVEAEARARAKAERENADIIREQIRLKAAEHRQTVLESIRTAGTLFGEGFRAF

Clonality

Polyclonal

Host

Rabbit

Isotype

IgG

Theoretical MW

71 kDa.
Disclaimer note: The observed molecular weight of the protein may vary from the listed predicted molecular weight due to post translational modifications, post translation cleavages, relative charges, and other experimental factors.

Description

Novus Biologicals Rabbit ATAD3A Antibody - BSA Free (NBP3-38518) is a polyclonal antibody validated for use in IHC, WB and ELISA. All Novus Biologicals antibodies are covered by our 100% guarantee.

Scientific Data Images for ATAD3A Antibody - BSA Free

ATAD3A Antibody

Immunohistochemistry: ATAD3A Antibody [NBP3-38518] -

Immunohistochemistry: ATAD3A Antibody [NBP3-38518] - Immunohistochemistry analysis of paraffin-embedded Mouse brain using ATAD3A Rabbit pAb at dilution of 1:100 (40x lens). Microwave antigen retrieval performed with 0.01M PBS Buffer (pH 7.2) prior to IHC staining.
ATAD3A Antibody

Western Blot: ATAD3A Antibody [NBP3-38518] -

Western Blot: ATAD3A Antibody [NBP3-38518] - Western blot analysis of lysates from Mouse kidney, using ATAD3A Rabbit pAb at 1:400 dilution.
Secondary antibody: HRP-conjugated Goat anti-Rabbit IgG (H+L) at 1:10000 dilution.
Lysates/proteins: 25ug per lane.
Blocking buffer: 3% nonfat dry milk in TBST.
Detection: ECL Basic Kit.
Exposure time: 3s.
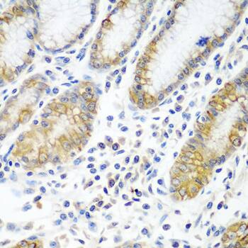
ATAD3A Antibody

Immunohistochemistry: ATAD3A Antibody [NBP3-38518] -

Immunohistochemistry: ATAD3A Antibody [NBP3-38518] - Immunohistochemistry analysis of paraffin-embedded Human stomach using ATAD3A Rabbit pAb at dilution of 1:100 (40x lens). Microwave antigen retrieval performed with 0.01M PBS Buffer (pH 7.2) prior to IHC staining.

Applications for ATAD3A Antibody - BSA Free

Application
Recommended Usage

Immunohistochemistry-Paraffin

1:100 - 1:200

Western Blot

1:100 - 1:500

Formulation, Preparation, and Storage

Purification

Affinity purified

Formulation

PBS (pH 7.3), 50% glycerol

Format

BSA Free

Preservative

0.02% Sodium Azide

Concentration

Please see the vial label for concentration. If unlisted please contact technical services.

Shipping

The product is shipped with polar packs. Upon receipt, store it immediately at the temperature recommended below.

Stability & Storage

Store at -20C. Avoid freeze-thaw cycles.

Background: ATAD3A

ATAD3A and ATAD3B (MIM 612317) are mitochondrial membrane proteins that contribute to the stabilization of large mitochondrial DNA (mtDNA)-protein complexes called nucleoids (He et al., 2007 [PubMed 17210950]).[supplied by OMIM]

Alternate Names

ATPase family AAA domain-containing protein 3A, ATPase family, AAA domain containing 3A, FLJ10709, FLJ35514

Gene Symbol

ATAD3A

Additional ATAD3A Products

Product Documents for ATAD3A Antibody - BSA Free

Certificate of Analysis

To download a Certificate of Analysis, please enter a lot number in the search box below.

Product Specific Notices for ATAD3A Antibody - BSA Free

This product is for research use only and is not approved for use in humans or in clinical diagnosis. Primary Antibodies are guaranteed for 1 year from date of receipt.

Loading...
Loading...
Loading...
Loading...