Skip to main content

ATAD2 Antibody - BSA Free

Novus Biologicals, part of Bio-Techne | Catalog # NBP1-84123

Novus Biologicals, part of Bio-Techne
Catalog #
Availability
Size / Price
Qty
Loading...
NBP1-84123-25ul
NBP1-84123

Key Product Details

Validated by

Knockout/Knockdown, Orthogonal Validation

Species Reactivity

Validated:

Human

Cited:

Human

Applications

Validated:

Immunohistochemistry, Immunohistochemistry-Paraffin, Western Blot, Immunocytochemistry/ Immunofluorescence, Simple Western, Knockdown Validated

Cited:

IF/IHC

Label

Unconjugated

Antibody Source

Polyclonal Rabbit IgG

Format

BSA Free

Concentration

Concentrations vary lot to lot. See vial label for concentration. If unlisted please contact technical services.

Product Specifications

Immunogen

This antibody was developed against Recombinant Protein corresponding to amino acids: TAYAIIKEELDEDFEQLCEEIQESRKKRGCSSSKYAPSYYHVMPKQNSTLVGDKRSDPEQNEKLKTPSTPVACSTPAQLKRKIRKKSNWYLGTIKKRRKISQAKDDSQNAIDHK

Reactivity Notes

Immunogen displays the following percentage of sequence identity for non-tested species: Mouse (82%), Rat (82%). Reactivity reported in scientific literature (PMID: 23393560)

Clonality

Polyclonal

Host

Rabbit

Isotype

IgG

Description

Novus Biologicals Rabbit ATAD2 Antibody - BSA Free (NBP1-84123) is a polyclonal antibody validated for use in IHC, WB, ICC/IF and Simple Western. Anti-ATAD2 Antibody: Cited in 2 publications. All Novus Biologicals antibodies are covered by our 100% guarantee.

Scientific Data Images for ATAD2 Antibody - BSA Free

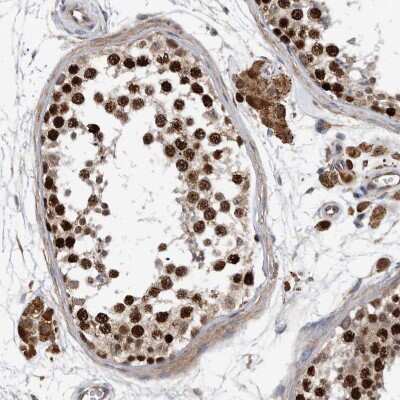
Immunohistochemistry-Paraffin: ATAD2 Antibody [NBP1-84123]

Immunohistochemistry-Paraffin: ATAD2 Antibody [NBP1-84123]

Immunohistochemistry-Paraffin: ATAD2 Antibody [NBP1-84123] - Analysis in human testis and skeletal muscle tissues using NBP1-84123 antibody. Corresponding ATAD2 RNA-seq data are presented for the same tissues.
Immunocytochemistry/ Immunofluorescence: ATAD2 Antibody [NBP1-84123]

Immunocytochemistry/ Immunofluorescence: ATAD2 Antibody [NBP1-84123]

Immunocytochemistry/Immunofluorescence: ATAD2 Antibody [NBP1-84123] - Staining of human cell line U-2 OS shows localization to nucleoplasm. Antibody staining is shown in green.
Immunohistochemistry-Paraffin: ATAD2 Antibody [NBP1-84123]

Immunohistochemistry-Paraffin: ATAD2 Antibody [NBP1-84123]

Immunohistochemistry-Paraffin: ATAD2 Antibody [NBP1-84123] - Staining of human Skeletal muscle shows very weak positivity in myocytes.

Applications for ATAD2 Antibody - BSA Free

Application
Recommended Usage

Immunocytochemistry/ Immunofluorescence

0.25-2 ug/ml

Immunohistochemistry

1:500 - 1:1000

Immunohistochemistry-Paraffin

1:500-1:1000

Simple Western

1:50

Western Blot

0.4 ug/ml
Application Notes
For IHC-Paraffin, HIER pH 6 retrieval is recommended. ICC/IF Fixation Permeabilization: Use PFA/Triton X-100.

In Simple Western only 10 - 15 uL of the recommended dilution is used per data point.
See Simple Western Antibody Database for Simple Western validation: Tested in U-251MG sp, separated by Size, antibody dilution of 1:50, apparent MW was 178 kDa. Separated by Size-Wes, Sally Sue/Peggy Sue.

Formulation, Preparation, and Storage

Purification

Immunogen affinity purified

Formulation

PBS (pH 7.2) and 40% Glycerol

Format

BSA Free

Preservative

0.02% Sodium Azide

Concentration

Concentrations vary lot to lot. See vial label for concentration. If unlisted please contact technical services.

Shipping

The product is shipped with polar packs. Upon receipt, store it immediately at the temperature recommended below.

Stability & Storage

Store at 4C short term. Aliquot and store at -20C long term. Avoid freeze-thaw cycles.

Background: ATAD2

ATAD2 is a large family of ATPases has been described, whose key feature is that they share a conserved region of about 220 amino acids that contains an ATP-binding site. The proteins that belong to this family either contain one or two AAA (ATPases Associated with diverse cellular Activities) domains. AAA family proteins often perform chaperone-like functions that assist in the assembly, operation, or disassembly of protein complexes. The protein encoded by this gene contains two AAA domains, as well as a bromodomain. [provided by RefSeq]

Long Name

ATPase family, AAA domain containing 2

Alternate Names

ANCCA, CT137, PRO2000

Entrez Gene IDs

29028 (Human)

Gene Symbol

ATAD2

UniProt

Additional ATAD2 Products

Product Documents for ATAD2 Antibody - BSA Free

Certificate of Analysis

To download a Certificate of Analysis, please enter a lot number in the search box below.

Product Specific Notices for ATAD2 Antibody - BSA Free

This product is for research use only and is not approved for use in humans or in clinical diagnosis. Primary Antibodies are guaranteed for 1 year from date of receipt.

Loading...
Loading...
Loading...
Loading...