Skip to main content

Asialoglycoprotein Receptor 2 Antibody - BSA Free

Novus Biologicals, part of Bio-Techne | Catalog # NBP1-85578

Novus Biologicals, part of Bio-Techne
Catalog #
Availability
Size / Price
Qty
Loading...
NBP1-85578
NBP1-85578-25ul

Key Product Details

Validated by

Orthogonal Validation, Independent Antibodies

Species Reactivity

Human

Applications

Immunohistochemistry, Immunohistochemistry-Paraffin, Western Blot, Simple Western

Label

Unconjugated

Antibody Source

Polyclonal Rabbit IgG

Format

BSA Free

Concentration

Concentrations vary lot to lot. See vial label for concentration. If unlisted please contact technical services.

Product Specifications

Immunogen

This antibody was developed against Recombinant Protein corresponding to amino acids: QSAQLQAELRSLKEAFSNFSSSTLTEVQAISTHGGSVGDKITSLGAKLEKQQQDLKADHDALLFHLKHFPVDLRFVACQMELLHSNGSQRTCC

Clonality

Polyclonal

Host

Rabbit

Isotype

IgG

Description

Novus Biologicals Rabbit Asialoglycoprotein Receptor 2 Antibody - BSA Free (NBP1-85578) is a polyclonal antibody validated for use in IHC, WB and Simple Western. All Novus Biologicals antibodies are covered by our 100% guarantee.

Scientific Data Images for Asialoglycoprotein Receptor 2 Antibody - BSA Free

Immunohistochemistry-Paraffin: Asialoglycoprotein Receptor 2 Antibody [NBP1-85578]

Immunohistochemistry-Paraffin: Asialoglycoprotein Receptor 2 Antibody [NBP1-85578]

Immunohistochemistry-Paraffin: Asialoglycoprotein Receptor 2 Antibody [NBP1-85578] - Staining in human liver and pancreas tissues using anti-ASGR2 antibody. Corresponding ASGR2 RNA-seq data are presented for the same tissues.
Immunohistochemistry-Paraffin: Asialoglycoprotein Receptor 2 Antibody [NBP1-85578]

Immunohistochemistry-Paraffin: Asialoglycoprotein Receptor 2 Antibody [NBP1-85578]

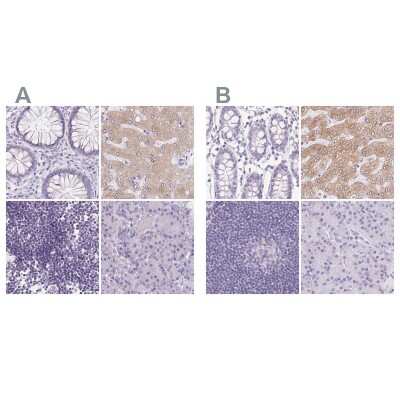
Immunohistochemistry-Paraffin: Asialoglycoprotein Receptor 2 Antibody [NBP1-85578] - Staining of human colon, liver, lymph node and pancreas using Anti-ASGR2 antibody NBP1-85578 (A) shows similar protein distribution across tissues to independent antibody NBP1-85579 (B).
Immunohistochemistry-Paraffin: Asialoglycoprotein Receptor 2 Antibody [NBP1-85578]

Immunohistochemistry-Paraffin: Asialoglycoprotein Receptor 2 Antibody [NBP1-85578]

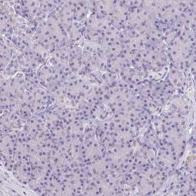
Immunohistochemistry-Paraffin: Asialoglycoprotein Receptor 2 Antibody [NBP1-85578] - Staining of human pancreas using Anti-ASGR2 antibody NBP1-85578.

Applications for Asialoglycoprotein Receptor 2 Antibody - BSA Free

Application
Recommended Usage

Immunohistochemistry

1:5000 - 1:10000

Immunohistochemistry-Paraffin

1:5000 - 1:10000

Simple Western

1:20

Western Blot

0.04 - 0.4 ug/ml
Application Notes
For IHC-Paraffin, HIER pH 6 retrieval is recommended.

In Simple Western only 10 - 15 uL of the recommended dilution is used per data point.
See Simple Western Antibody Database for Simple Western validation: Tested in HepG2, separated by Size, antibody dilution of 1:20, apparent MW was 66 kDa. Separated by Size-Wes, Sally Sue/Peggy Sue.

Reviewed Applications

Read 1 review rated 5 using NBP1-85578 in the following applications:

Formulation, Preparation, and Storage

Purification

Affinity purified

Formulation

PBS (pH 7.2) and 40% Glycerol

Format

BSA Free

Preservative

0.02% Sodium Azide

Concentration

Concentrations vary lot to lot. See vial label for concentration. If unlisted please contact technical services.

Shipping

The product is shipped with polar packs. Upon receipt, store it immediately at the temperature recommended below.

Stability & Storage

Store at 4C short term. Aliquot and store at -20C long term. Avoid freeze-thaw cycles.

Background: ASGR2

Asialoglycoprotein Receptor 2 is a transmembrane protein that plays a critical role in serum glycoprotein homeostasis by mediating the endocytosis and lysosomal degradation of plasma glycoproteins in which the terminal sialic acid residue on their complex carbohydrate moieties has been removed. It is expressed exclusively in hepatic parenchymal cells and calcium is required for ligand binding. Asialoglycoprotein Receptor 2 may facilitate hepatic infection by multiple viruses including hepatitis B, and is also a target for liver-specific drug delivery. Asialoglycoprotein Receptor 2 is involved in hepatitis B, hepatitis C, liver cirrhosis, hepatocellular carcinoma, nephropathy, leukemia, urethritis, autoimmune hepatitis, alcoholic liver cirrhosis, and jaundice.

Long Name

Asialoglycoprotein Receptor 2

Alternate Names

ASGPR2, CLEC4H2, HBXBP

Gene Symbol

ASGR2

Additional ASGR2 Products

Product Documents for Asialoglycoprotein Receptor 2 Antibody - BSA Free

Certificate of Analysis

To download a Certificate of Analysis, please enter a lot number in the search box below.

Product Specific Notices for Asialoglycoprotein Receptor 2 Antibody - BSA Free

This product is for research use only and is not approved for use in humans or in clinical diagnosis. Primary Antibodies are guaranteed for 1 year from date of receipt.

Loading...
Loading...
Loading...
Loading...