Skip to main content

ASC/TMS1 Antibody (OTI3E9) - Azide and BSA Free

Novus Biologicals, part of Bio-Techne | Catalog # NBP2-71853

Novus Biologicals, part of Bio-Techne

Key Product Details

Species Reactivity

Human

Applications

Immunohistochemistry, Immunohistochemistry-Paraffin, Western Blot, Flow Cytometry, CyTOF-ready

Label

Unconjugated

Antibody Source

Monoclonal Mouse IgG1 Clone # OTI3E9

Format

Azide and BSA Free

Concentration

LYOPH mg/ml

Product Specifications

Immunogen

This ASC/TMS1 Antibody (OTI3E9) - Azide and BSA Free was developed against full length human recombinant protein of human ASC/TMS1 (NP_037390) produced in E.coli.

Clonality

Monoclonal

Host

Mouse

Isotype

IgG1

Theoretical MW

21.4 kDa.
Disclaimer note: The observed molecular weight of the protein may vary from the listed predicted molecular weight due to post translational modifications, post translation cleavages, relative charges, and other experimental factors.

Description

Novus Biologicals Mouse ASC/TMS1 Antibody (OTI3E9) - Azide and BSA Free (NBP2-03818) is a monoclonal antibody validated for use in IHC, WB and Flow. All Novus Biologicals antibodies are covered by our 100% guarantee.

Scientific Data Images for ASC/TMS1 Antibody (OTI3E9) - Azide and BSA Free

Western Blot: ASC/TMS1 Antibody (OTI3E9)Azide and BSA Free [NBP2-71853]

Western Blot: ASC/TMS1 Antibody (OTI3E9)Azide and BSA Free [NBP2-71853]

Western Blot: ASC/TMS1 Antibody (OTI3E9) - Azide and BSA Free [NBP2-71853] - HEK293T cells were transfected with the pCMV6-ENTRY control (Left lane) or pCMV6-ENTRY ASC/TMS1 (Right lane) cDNA for 48 hrs and lysed. Equivalent amounts of cell lysates (5 ug per lane) were separated by SDS-PAGE and immunoblotted with anti-ASC/TMS1.
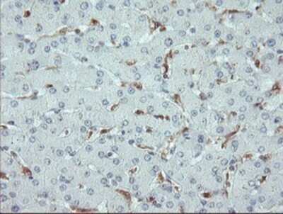
Immunohistochemistry: ASC/TMS1 Antibody (OTI3E9) - Azide and BSA Free [NBP2-71853]

Immunohistochemistry: ASC/TMS1 Antibody (OTI3E9) - Azide and BSA Free [NBP2-71853]

Immunohistochemistry: ASC/TMS1 Antibody (OTI3E9) - Azide and BSA Free [NBP2-71853] - Staining of paraffin-embedded Carcinoma of Human pancreas tissue using anti-ASC/TMS1 mouse monoclonal antibody.
Western Blot: ASC/TMS1 Antibody (OTI3E9)Azide and BSA Free [NBP2-71853]

Western Blot: ASC/TMS1 Antibody (OTI3E9)Azide and BSA Free [NBP2-71853]

Western Blot: ASC/TMS1 Antibody (OTI3E9) - Azide and BSA Free [NBP2-71853] - Analysis of extracts (35ug) from 9 different cell lines by using g anti-ASC/TMS1 monoclonal antibody (HepG2: human; HeLa: human; SVT2: mouse; A549: human; COS7: monkey; Jurkat: human; MDCK: canine; PC12: rat; MCF7: human).

Applications for ASC/TMS1 Antibody (OTI3E9) - Azide and BSA Free

Application
Recommended Usage

Flow Cytometry

1:100

Immunohistochemistry

1:150

Western Blot

1:500-2000

Formulation, Preparation, and Storage

Purification

Immunogen affinity purified

Reconstitution

we recommend adding 100uL distilled water to a final antibody concentration of about 1 mg/mL. To use this carrier-free antibody for conjugation experiment, we strongly recommend performing another round of desalting process.

Formulation

Lyophilized from PBS (pH 7.3) with 8% Trehalose

Format

Azide and BSA Free

Preservative

No Preservative

Concentration

LYOPH mg/ml

Shipping

The product is shipped with polar packs. Upon receipt, store it immediately at the temperature recommended below.

Stability & Storage

Store at -20C. Avoid freeze-thaw cycles.

Background: ASC

ASC (apoptosis-associated speck-like protein containing a CARD), also known as TMS1 (target of methylation-induced silencing), was first identified in 1999 as a protein that forms aggregates, or specks, during retinoic acid-induced apoptosis in a human leukemia cell line (1). Furthermore, it was discovered to have a role as a tumor suppressor as methylation silences ASC/TMS1 expression in many tumors (2-5). ASC/TMS1 is synthesized as a 195-amino acid (aa) protein with a theoretical weight of 22 kDa. Structurally the protein contains a N-terminal PYD (pyrin domain) and C-terminal CARD (caspase-recruitment domain) (1-4). Historically, CARD and PYD-containing proteins are known to have crucial functions in regulating apoptosis and immune response pathways (2-5). Furthermore, mutations in many CARD and PYD-containing proteins have been linked to various cancers and inflammatory diseases (2-5). Given its immune response role, it is not surprising that ASC/TMS1 is typically highly expressed in immune cells, specifically in neutrophils and cells of the macrophage/monocyte lineage (5). Additionally, it is expressed in many normal epithelial cell types (4,5).

In regard to immune and inflammatory response, ASC/TMS1 is involved in inflammasome function (3-4). The inflammasome is a multiprotein complex that responds to cellular stress or pathogens and activates inflammatory responses. Specifically, ASC/TMS1 helps assemble the NLRP3 inflammasome complex which then activates caspase-1, followed by stimulation of proinflammatory cytokines including IL-1b and IL-18 (3-4). In terms of the role in regulating apoptosis, multiple studies have revealed that the ASC/TMS1 gene is hypermethylated in many cancers including breast, lung, glioblastomas, and melanomas (2-5). The increased methylation results in decreased gene expression, or silencing, allowing those cancer cells to escape apoptosis (2-5).

References

1. Masumoto, J., Taniguchi, S., Ayukawa, K., Sarvotham, H., Kishino, T., Niikawa, N., Hidaka, E., Katsuyama, T., Higuchi, T., & Sagara, J. (1999). ASC, a novel 22-kDa protein, aggregates during apoptosis of human promyelocytic leukemia HL-60 cells. The Journal of biological chemistry, 274(48), 33835-33838. https://doi.org/10.1074/jbc.274.48.33835

2. McConnell, B. B., & Vertino, P. M. (2004). TMS1/ASC: the cancer connection. Apoptosis: an international journal on programmed cell death. https://doi.org/10.1023/B:APPT.0000012117.32430.0c

3. Salminen, A., Kauppinen, A., Hiltunen, M., & Kaarniranta, K. (2014). Epigenetic regulation of ASC/TMS1 expression: potential role in apoptosis and inflammasome function. Cellular and molecular life sciences : CMLS. https://doi.org/10.1007/s00018-013-1524-9

4. Protti, M. P., & De Monte, L. (2020). Dual Role of Inflammasome Adaptor ASC in Cancer. Frontiers in cell and developmental biology. https://doi.org/10.3389/fcell.2020.00040

5. Parsons, M. J., & Vertino, P. M. (2006). Dual role of TMS1/ASC in death receptor signaling. Oncogene. https://doi.org/10.1038/sj.onc.1209684

Long Name

Apoptosis-Associated Speck-Like Protein Containing A CARD

Alternate Names

CARD5, PYCARD, TMS1

Gene Symbol

PYCARD

Additional ASC Products

Product Documents for ASC/TMS1 Antibody (OTI3E9) - Azide and BSA Free

Certificate of Analysis

To download a Certificate of Analysis, please enter a lot number in the search box below.

Product Specific Notices for ASC/TMS1 Antibody (OTI3E9) - Azide and BSA Free

This product is for research use only and is not approved for use in humans or in clinical diagnosis. Primary Antibodies are guaranteed for 1 year from date of receipt.

Loading...
Loading...
Loading...
Loading...
Loading...
Loading...