Skip to main content

Arylsulfatase G/ARSG Antibody - BSA Free

Novus Biologicals, part of Bio-Techne | Catalog # NBP1-82947

Novus Biologicals, part of Bio-Techne
Catalog #
Availability
Size / Price
Qty
Loading...
NBP1-82947
NBP1-82947-25ul

Key Product Details

Validated by

Independent Antibodies

Species Reactivity

Human

Applications

Immunohistochemistry, Immunohistochemistry-Paraffin

Label

Unconjugated

Antibody Source

Polyclonal Rabbit IgG

Format

BSA Free

Concentration

Concentrations vary lot to lot. See vial label for concentration. If unlisted please contact technical services.

Product Specifications

Immunogen

This antibody was developed against Recombinant Protein corresponding to amino acids: RVPVNVTSTALLSVLDIFPTVVALAQASLPQGRHFDGVDVSEVLFGRSQPGHRVLFHPNSGAAGEFGALQTVR

Reactivity Notes

Immunogen displays the following percentage of sequence identity for non-tested species: Mouse (85%), Rat (88%)

Clonality

Polyclonal

Host

Rabbit

Isotype

IgG

Description

Novus Biologicals Rabbit Arylsulfatase G/ARSG Antibody - BSA Free (NBP1-82947) is a polyclonal antibody validated for use in IHC. All Novus Biologicals antibodies are covered by our 100% guarantee.

Scientific Data Images for Arylsulfatase G/ARSG Antibody - BSA Free

Immunohistochemistry-Paraffin: Arylsulfatase G/ARSG Antibody [NBP1-82947]

Immunohistochemistry-Paraffin: Arylsulfatase G/ARSG Antibody [NBP1-82947]

Immunohistochemistry-Paraffin: Arylsulfatase G/ARSG Antibody [NBP1-82947] - Staining of human lymph node.
Immunohistochemistry-Paraffin: Arylsulfatase G/ARSG Antibody [NBP1-82947]

Immunohistochemistry-Paraffin: Arylsulfatase G/ARSG Antibody [NBP1-82947]

Immunohistochemistry-Paraffin: Arylsulfatase G/ARSG Antibody [NBP1-82947] - Staining of human pancreas shows strong cytoplasmic positivity in exocrine glandular cells.
Immunohistochemistry-Paraffin: Arylsulfatase G/ARSG Antibody [NBP1-82947]

Immunohistochemistry-Paraffin: Arylsulfatase G/ARSG Antibody [NBP1-82947]

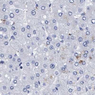
Immunohistochemistry-Paraffin: Arylsulfatase G/ARSG Antibody [NBP1-82947] - Staining of human colon, liver, lymph node and pancreas using Anti-ARSG antibody NBP1-82947 (A) shows similar protein distribution across tissues to independent antibody NBP1-82948 (B).

Applications for Arylsulfatase G/ARSG Antibody - BSA Free

Application
Recommended Usage

Immunohistochemistry

1:200 - 1:500

Immunohistochemistry-Paraffin

1:200 - 1:500
Application Notes
For IHC-Paraffin, HIER pH 6 retrieval is recommended.

Formulation, Preparation, and Storage

Purification

Affinity purified

Formulation

PBS (pH 7.2) and 40% Glycerol

Format

BSA Free

Preservative

0.02% Sodium Azide

Concentration

Concentrations vary lot to lot. See vial label for concentration. If unlisted please contact technical services.

Shipping

The product is shipped with polar packs. Upon receipt, store it immediately at the temperature recommended below.

Stability & Storage

Store at 4C short term. Aliquot and store at -20C long term. Avoid freeze-thaw cycles.

Background: Arylsulfatase G/ARSG

Sulfatases, such as ARSG, hydrolyze sulfate esters from sulfated steroids, carbohydrates, proteoglycans, and glycolipids. They are involved in hormone biosynthesis, modulation of cell signaling, and degradation of macromolecules. This gene, a novel arylsulfatase, has activity toward pseudosubstrates including p-nitrocatechol sulfate and 4-methylumbelliferyl sulfate. Activity is competitively inhibited by phosphate. The unprocessed protein is active as a 63-kDa monomer and demonstrates an acidic pH optimum as typically seen for lysosomal sulfatases. The protein accumulates within lysosomes and is also a glycoprotein that binds specifically to mannose 6-phosphate receptors. [provided by RefSeq]

Alternate Names

ARSG, ASG

Entrez Gene IDs

22901 (Human)

Gene Symbol

ARSG

UniProt

Additional Arylsulfatase G/ARSG Products

Product Documents for Arylsulfatase G/ARSG Antibody - BSA Free

Certificate of Analysis

To download a Certificate of Analysis, please enter a lot number in the search box below.

Product Specific Notices for Arylsulfatase G/ARSG Antibody - BSA Free

This product is for research use only and is not approved for use in humans or in clinical diagnosis. Primary Antibodies are guaranteed for 1 year from date of receipt.

Loading...
Loading...
Loading...
Loading...