Skip to main content

Arylsulfatase B/ARSB Antibody - BSA Free

Novus Biologicals, part of Bio-Techne | Catalog # NBP1-85879

Novus Biologicals, part of Bio-Techne
Catalog #
Availability
Size / Price
Qty
Loading...
NBP1-85879
NBP1-85879-25ul

Key Product Details

Validated by

Orthogonal Validation

Species Reactivity

Human

Applications

Immunohistochemistry, Immunohistochemistry-Paraffin

Label

Unconjugated

Antibody Source

Polyclonal Rabbit IgG

Format

BSA Free

Concentration

Concentrations vary lot to lot. See vial label for concentration. If unlisted please contact technical services.

Product Specifications

Immunogen

This antibody was developed against Recombinant Protein corresponding to amino acids: TRCALDFRDGEEVATGYKNMYSTNIFTKRAIALITNHPPEKPLFLYLALQSVHEPLQVPEEYLKPYDFIQDKNRHHYAGMVSLMDEAVGNVT

Reactivity Notes

Immunogen displays the following percentage of sequence identity for non-tested species: Mouse (80%), Rat (80%)

Clonality

Polyclonal

Host

Rabbit

Isotype

IgG

Description

Novus Biologicals Rabbit Arylsulfatase B/ARSB Antibody - BSA Free (NBP1-85879) is a polyclonal antibody validated for use in IHC. All Novus Biologicals antibodies are covered by our 100% guarantee.

Scientific Data Images for Arylsulfatase B/ARSB Antibody - BSA Free

Immunohistochemistry-Paraffin: Arylsulfatase B/ARSB Antibody [NBP1-85879]

Immunohistochemistry-Paraffin: Arylsulfatase B/ARSB Antibody [NBP1-85879]

Immunohistochemistry-Paraffin: Arylsulfatase B/ARSB Antibody [NBP1-85879] - Staining in human kidney and liver tissues using anti-ARSB antibody. Corresponding ARSB RNA-seq data are presented for the same tissues.
Immunohistochemistry-Paraffin: Arylsulfatase B/ARSB Antibody [NBP1-85879]

Immunohistochemistry-Paraffin: Arylsulfatase B/ARSB Antibody [NBP1-85879]

Immunohistochemistry-Paraffin: Arylsulfatase B/ARSB Antibody [NBP1-85879] - Staining of human liver shows low expression as expected.
Immunohistochemistry-Paraffin: Arylsulfatase B/ARSB Antibody [NBP1-85879]

Immunohistochemistry-Paraffin: Arylsulfatase B/ARSB Antibody [NBP1-85879]

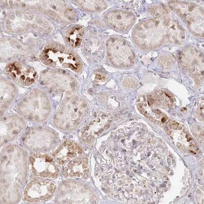
Immunohistochemistry-Paraffin: Arylsulfatase B/ARSB Antibody [NBP1-85879] - Staining of human kidney shows high expression.

Applications for Arylsulfatase B/ARSB Antibody - BSA Free

Application
Recommended Usage

Immunohistochemistry

1:50 - 1:200

Immunohistochemistry-Paraffin

1:50 - 1:200
Application Notes
For IHC-Paraffin, HIER pH 6 retrieval is recommended.

Formulation, Preparation, and Storage

Purification

Immunogen affinity purified

Formulation

PBS (pH 7.2) and 40% Glycerol

Format

BSA Free

Preservative

0.02% Sodium Azide

Concentration

Concentrations vary lot to lot. See vial label for concentration. If unlisted please contact technical services.

Shipping

The product is shipped with polar packs. Upon receipt, store it immediately at the temperature recommended below.

Stability & Storage

Store at 4C short term. Aliquot and store at -20C long term. Avoid freeze-thaw cycles.

Background: Arylsulfatase B/ARSB

Arylsulfatase B encoded by this gene belongs to the sulfatase family. The arylsulfatase B homodimer hydrolyzes sulfate groups of N-Acetyl-D-galactosamine, chondriotin sulfate, and dermatan sulfate. The protein is targetted to the lysozyme. Mucopolysaccharidosis type VI is an autosomal recessive lysosomal storage disorder resulting from a deficiency of arylsulfatase B. Two alternatively spliced transcript variants encoding distinct isoforms have been found for this gene. [provided by RefSeq]

Alternate Names

ARSB, ASB, N-acetylgalactosamine-4-sulfatase

Entrez Gene IDs

411 (Human)

Gene Symbol

ARSB

UniProt

Additional Arylsulfatase B/ARSB Products

Product Documents for Arylsulfatase B/ARSB Antibody - BSA Free

Certificate of Analysis

To download a Certificate of Analysis, please enter a lot number in the search box below.

Product Specific Notices for Arylsulfatase B/ARSB Antibody - BSA Free

This product is for research use only and is not approved for use in humans or in clinical diagnosis. Primary Antibodies are guaranteed for 1 year from date of receipt.

Loading...
Loading...
Loading...
Loading...