Skip to main content

ARSK Antibody - BSA Free

Novus Biologicals, part of Bio-Techne | Catalog # NBP1-84209

Novus Biologicals, part of Bio-Techne
Catalog #
Availability
Size / Price
Qty
Loading...
NBP1-84209
NBP1-84209-25ul

Key Product Details

Species Reactivity

Human

Applications

Immunohistochemistry, Immunohistochemistry-Paraffin, Immunocytochemistry/ Immunofluorescence

Label

Unconjugated

Antibody Source

Polyclonal Rabbit IgG

Format

BSA Free

Concentration

Concentrations vary lot to lot. See vial label for concentration. If unlisted please contact technical services.

Product Specifications

Immunogen

This antibody was developed against Recombinant Protein corresponding to amino acids: WSPLSEMHPVDYYSSYTKNCTGRFTKKEIKNIRAFYYAMCAETDAMLGEIILALHQLDLLQKTIVIYSSDHGELAMEHRQFYKMSMYEASAHVPLLMMGPGIKAGLQVSNVVSLVDIYPTMLDIAGIPLPQNLSGYSLLPLSSETFKNE

Reactivity Notes

Immunogen displays the following percentage of sequence identity for non-tested species: Mouse (85%), Rat (87%)

Clonality

Polyclonal

Host

Rabbit

Isotype

IgG

Scientific Data Images for ARSK Antibody - BSA Free

Immunocytochemistry/ Immunofluorescence: ARSK Antibody [NBP1-84209]

Immunocytochemistry/ Immunofluorescence: ARSK Antibody [NBP1-84209]

Immunocytochemistry/Immunofluorescence: ARSK Antibody [NBP1-84209] - Immunofluorescent staining of human cell line A-431 shows localization to nucleus & vesicles.
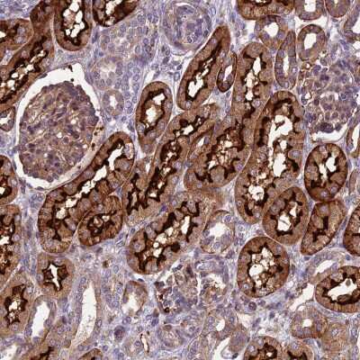
Immunohistochemistry-Paraffin: ARSK Antibody [NBP1-84209]

Immunohistochemistry-Paraffin: ARSK Antibody [NBP1-84209]

Immunohistochemistry-Paraffin: ARSK Antibody [NBP1-84209] - Staining of human kidney shows strong cytoplasmic and membranous positivity in cells in tubules.

Applications for ARSK Antibody - BSA Free

Application
Recommended Usage

Immunocytochemistry/ Immunofluorescence

0.25-2 ug/ml

Immunohistochemistry

1:50 - 1:200

Immunohistochemistry-Paraffin

1:50 - 1:200
Application Notes
For IHC-Paraffin, HIER pH 6 retrieval is recommended. ICC/IF,Fixation Permeabilization: Use PFA/Triton X-100.

Formulation, Preparation, and Storage

Purification

Affinity purified

Formulation

PBS (pH 7.2) and 40% Glycerol

Format

BSA Free

Preservative

0.02% Sodium Azide

Concentration

Concentrations vary lot to lot. See vial label for concentration. If unlisted please contact technical services.

Shipping

The product is shipped with polar packs. Upon receipt, store it immediately at the temperature recommended below.

Stability & Storage

Store at 4C short term. Aliquot and store at -20C long term. Avoid freeze-thaw cycles.

Background: ARSK

Sulfatases (EC 3.1.5.6), such as ARSK, hydrolyze sulfate esters from sulfated steroids, carbohydrates, proteoglycans, and glycolipids. They are involved in hormone biosynthesis, modulation of cell signaling, and degradation of macromolecules (Sardiello et al., 2005 [PubMed 16174644]).[supplied by OMIM]

Alternate Names

arylsulfatase family, member K, arylsulfatase K, ASK, EC 3.1.6, EC 3.1.6.-, Telethon sulfatase, TSULFDKFZp313G1735

Entrez Gene IDs

153642 (Human)

Gene Symbol

ARSK

UniProt

Additional ARSK Products

Product Documents for ARSK Antibody - BSA Free

Certificate of Analysis

To download a Certificate of Analysis, please enter a lot number in the search box below.

Product Specific Notices for ARSK Antibody - BSA Free

This product is for research use only and is not approved for use in humans or in clinical diagnosis. Primary Antibodies are guaranteed for 1 year from date of receipt.

Loading...
Loading...
Loading...
Loading...