ARPM1 Antibody - BSA Free
Novus Biologicals, part of Bio-Techne | Catalog # NBP2-34022
Key Product Details
Species Reactivity
Human
Applications
Immunohistochemistry, Immunohistochemistry-Paraffin
Label
Unconjugated
Antibody Source
Polyclonal Rabbit IgG
Format
BSA Free
Concentration
Concentrations vary lot to lot. See vial label for concentration. If unlisted please contact technical services.
Product Specifications
Immunogen
This antibody was developed against a recombinant protein corresponding to amino acids: QGGLELCVGDQAQDWRSSLFISYPVERGLITSWEDMEIMWKHIYDYNLKLKPCDGPVLITEPALNPLANRQQITEMF
Clonality
Polyclonal
Host
Rabbit
Isotype
IgG
Scientific Data Images for ARPM1 Antibody - BSA Free
Immunohistochemistry-Paraffin: ARPM1 Antibody [NBP2-34022]
Immunohistochemistry-Paraffin: ARPM1 Antibody [NBP2-34022] - Staining of breast cancer.Immunohistochemistry: ARPM1 Antibody [NBP2-34022]
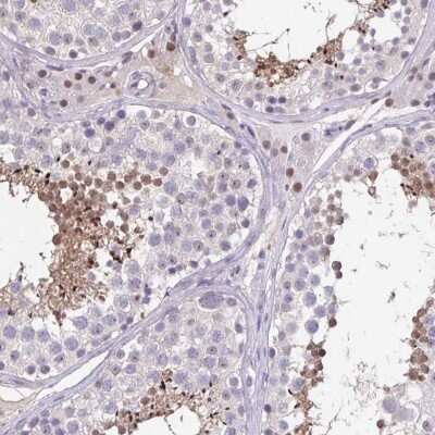
Immunohistochemistry: ARPM1 Antibody [NBP2-34022] - Staining of human testis shows moderate cytoplasmic and nuclear positivity in subset of cells in seminiferus ducts, Leydig cells shows moderate nuclear staining.Applications for ARPM1 Antibody - BSA Free
Application
Recommended Usage
Immunohistochemistry
1:50 - 1:200
Immunohistochemistry-Paraffin
1:50 - 1:200
Application Notes
For IHC-Paraffin, HIER pH 6 retrieval is recommended.
Formulation, Preparation, and Storage
Purification
Affinity purified
Formulation
PBS (pH 7.2) and 40% Glycerol
Format
BSA Free
Preservative
0.02% Sodium Azide
Concentration
Concentrations vary lot to lot. See vial label for concentration. If unlisted please contact technical services.
Shipping
The product is shipped with polar packs. Upon receipt, store it immediately at the temperature recommended below.
Stability & Storage
Store at 4C short term. Aliquot and store at -20C long term. Avoid freeze-thaw cycles.
Background: ARPM1
Alternate Names
actin related protein M1, actin-related protein M1, MGC15664
Gene Symbol
ACTRT3
UniProt
Additional ARPM1 Products
Product Documents for ARPM1 Antibody - BSA Free
Product Specific Notices for ARPM1 Antibody - BSA Free
This product is for research use only and is not approved for use in humans or in clinical diagnosis. Primary Antibodies are guaranteed for 1 year from date of receipt.
Loading...
Loading...
Loading...
Loading...