Skip to main content

ARNT/HIF-1 beta Antibody - BSA Free

Novus Biologicals, part of Bio-Techne | Catalog # NBP2-54663

Novus Biologicals, part of Bio-Techne
Catalog #
Availability
Size / Price
Qty
Loading...
NBP2-54663-25ul
NBP2-54663

Key Product Details

Validated by

Orthogonal Validation

Species Reactivity

Human

Applications

Immunohistochemistry, Immunohistochemistry-Paraffin, Immunocytochemistry/ Immunofluorescence

Label

Unconjugated

Antibody Source

Polyclonal Rabbit IgG

Format

BSA Free

Concentration

Concentrations vary lot to lot. See vial label for concentration. If unlisted please contact technical services.

Product Specifications

Immunogen

ARNT/HIF-1 beta Antibody was developed against a Recombinant Protein corresponding to amino acids: RFSCLRPRVAGTTEMTSDVPSLGPAIASGNSGPGIQGGGAIVQRAIKRRPGLDFDDDGEGNSKFLRCDDDQMSNDKERFARSDDEQSSADKERLARENHSEIERRRRNKMTAYITELSDMV

Reactivity Notes

Immunogen of ARNT/HIF-1 beta Antibody displays the following percentage of sequence identity for non-tested species: Mouse (82%), Rat (83%).

Clonality

Polyclonal

Host

Rabbit

Isotype

IgG

Theoretical MW

86.6 kDa.
Disclaimer note: The observed molecular weight of the protein may vary from the listed predicted molecular weight due to post translational modifications, post translation cleavages, relative charges, and other experimental factors.

Description

Novus Biologicals Rabbit ARNT/HIF-1 beta Antibody - BSA Free (NBP2-54663) is a polyclonal antibody validated for use in IHC and ICC/IF. All Novus Biologicals antibodies are covered by our 100% guarantee.

Scientific Data Images for ARNT/HIF-1 beta Antibody - BSA Free

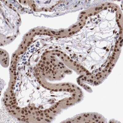
Immunohistochemistry-Paraffin: ARNT/HIF-1 beta Antibody [NBP2-54663]

Immunohistochemistry-Paraffin: ARNT/HIF-1 beta Antibody [NBP2-54663]

Immunohistochemistry-Paraffin: ARNT/HIF-1 beta Antibody [NBP2-54663] - Staining in human placenta and pancreas tissues using ARNT/HIF-1 beta antibody [NBP2-54663]. Corresponding ARNT RNA-seq data are presented for the same tissues.
Immunocytochemistry/ Immunofluorescence: ARNT/HIF-1 beta Antibody [NBP2-54663]

Immunocytochemistry/ Immunofluorescence: ARNT/HIF-1 beta Antibody [NBP2-54663]

Immunocytochemistry/Immunofluorescence: ARNT/HIF-1 beta Antibody [NBP2-54663] - Staining of human cell line A-431 shows localization to nucleus & nuclear bodies. Antibody staining using ARNT/HIF-1 beta antibody [NBP2-54663] is shown in green.
Immunohistochemistry-Paraffin: ARNT/HIF-1 beta Antibody [NBP2-54663]

Immunohistochemistry-Paraffin: ARNT/HIF-1 beta Antibody [NBP2-54663]

Immunohistochemistry-Paraffin: ARNT/HIF-1 beta Antibody [NBP2-54663] - Staining of human pancreas with ARNT/HIF-1 beta antibody [NBP2-54663] shows low expression as expected.

Applications for ARNT/HIF-1 beta Antibody - BSA Free

Application
Recommended Usage

Immunocytochemistry/ Immunofluorescence

0.25-2 ug/ml

Immunohistochemistry

1:50 - 1:200

Immunohistochemistry-Paraffin

1:50 - 1:200
Application Notes
For IHC-Paraffin, HIER pH 6 retrieval is recommended. ICC/IF Fixation Permeabilization: Use PFA/Triton X-100.

Formulation, Preparation, and Storage

Purification

Affinity purified

Formulation

PBS (pH 7.2) and 40% Glycerol

Format

BSA Free

Preservative

0.02% Sodium Azide

Concentration

Concentrations vary lot to lot. See vial label for concentration. If unlisted please contact technical services.

Shipping

The product is shipped with polar packs. Upon receipt, store it immediately at the temperature recommended below.

Stability & Storage

Store at 4C short term. Aliquot and store at -20C long term. Avoid freeze-thaw cycles.

Background: ARNT/HIF-1 beta

Aryl hydrocarbon nuclear translocator (ARNT), also commonly known as Hypoxia-inducible factor 1-beta (HIF-1 beta), is a ubiquitously expressed transcription factor that is part of the basic-helix-loop-helix (bHLH)-Per-ARNT-Sim (PAS) family (1, 2). Human arnt is located on chromosome 1q21 and encodes a protein 789 amino acids (aa) in length with a theoretical molecular weight of 87 kDa (1). Structurally, ARNT has a DNA binding bHLH domain, two PAS domains required for dimerization, and a transactivation domain/PAC region (1). ARNT belongs to the Class II bHLH-PAS proteins and is able to homodimerize or heterodimerize with the Class I proteins including AHA, AHRR, HIF-1 alpha, HIF-2 alpha, NPAS1, and SIM1 (2). Dimerization allows for efficient DNA binding and regulation of their target genes (2).

ARNT has an important role in two specific signaling pathways - the aryl hydrocarbon receptor (AhR) and the hypoxia inducible factor (HIF) pathway (1). In the AhR pathway, AhR in the cytosol is typically inactive and bound to heat shock protein 90 (hsp90) (3). Upon activation and ligand binding by environmental pollutants such as dioxins, AhR is translocated to the nucleus, dissociates from hsp90, and dimerizes with ARNT, leading to binding to response elements and expression of target genes including monooxygenases (1, 3). In the HIF pathway, under hypoxia (low oxygen) conditions prolylhydroxylase domain (PHD) enzymes and factor inhibiting HIF (FIH) are inhibited. HIF-1 alpha (or HIF-2 alpha) accumulates and is transported to the nucleus where it heterodimerizes with ARNT, allowing for binding to target gene's hypoxia response element (HRE), recruitment of coactivators, and transcription (1, 3). HIF-induced gene transcription plays a large role in tumor progression by promoting invasion, metastasis, de-differentiation and altered metabolism, and angiogenesis (1). While HIF-1 alpha's stability is dependent upon oxygen conditions, HIF-1 beta is stable in both normoxia and hypoxia (1-3).

The bHLH-PAS family and ARNT have been linked with a variety of pathologies and diseases including cancer, metabolic diseases, autoimmune diseases, and psychiatric disorders (2). ARNT/AHR is expressed in the skin and its pathway activation enhances skin barrier function and epidermal terminal differentiation, thus AHR agonists are currently being used as therapeutics for atopic dermatitis and psoriasis (4). Accordingly, studies of Arnt-deficient mice show profound abnormalities in skin barrier function and keratinization (4). Additionally, studies suggest that ARNT plays an important role in diabetes and beta-cell function (5). Islets from patients with type 2 diabetes have a significantly decreased ARNT expression compared to glucose-tolerant control donors (5). Modulation and stimulation of the HIF pathway may be a potential therapeutic strategy for treating type 2 diabetes and metabolic syndrome (5).

Alternate names for ARNT/HIF-1 beta include aryl hydrocarbon receptor nuclear translocator, BHLHE2, class E basic helix-loop-helix protein 2, Dixon receptor nuclear translocator, Hypoxia-inducible factor 1-beta, nuclear translocator, and TANGO.

References

1. Mandl, M., & Depping, R. (2014). Hypoxia-inducible aryl hydrocarbon receptor nuclear translocator (ARNT) (HIF-1beta): is it a rare exception?. Molecular medicine (Cambridge, Mass.). https://doi.org/10.2119/molmed.2014.00032

2. Wu, D., & Rastinejad, F. (2017). Structural characterization of mammalian bHLH-PAS transcription factors. Current opinion in structural biology. https://doi.org/10.1016/j.sbi.2016.09.011

3. Esser, C., & Rannug, A. (2015). The aryl hydrocarbon receptor in barrier organ physiology, immunology, and toxicology. Pharmacological reviews.https://doi.org/10.1124/pr.114.009001

4. Furue, M., Hashimoto-Hachiya, A., & Tsuji, G. (2019). Aryl Hydrocarbon Receptor in Atopic Dermatitis and Psoriasis. International journal of molecular sciences. https://doi.org/10.3390/ijms20215424

5. Girgis, C. M., Cheng, K., Scott, C. H., & Gunton, J. E. (2012). Novel links between HIFs, type 2 diabetes, and metabolic syndrome. Trends in endocrinology and metabolism: TEM, https://doi.org/10.1016/j.tem.2012.05.003

Long Name

Aryl Hydrocarbon Receptor Nuclear Translocator

Alternate Names

HIF-1 beta, HIF1 beta, TANGO

Gene Symbol

ARNT

Additional ARNT/HIF-1 beta Products

Product Documents for ARNT/HIF-1 beta Antibody - BSA Free

Certificate of Analysis

To download a Certificate of Analysis, please enter a lot number in the search box below.

Product Specific Notices for ARNT/HIF-1 beta Antibody - BSA Free

This product is for research use only and is not approved for use in humans or in clinical diagnosis. Primary Antibodies are guaranteed for 1 year from date of receipt.

Loading...
Loading...
Loading...
Loading...
Loading...