ARNT/HIF-1 beta Antibody (2F11) - BSA Free
Novus Biologicals, part of Bio-Techne | Catalog # NBP3-15238
Recombinant monoclonal antibody expressed in HEK293F cells
Key Product Details
Species Reactivity
Human
Applications
ELISA, Immunohistochemistry, Immunoprecipitation, Western Blot
Label
Unconjugated
Antibody Source
Recombinant Monoclonal Rabbit IgG Clone # 2F11 expressed in HEK293
Format
BSA Free
Concentration
Please see the vial label for concentration. If unlisted please contact technical services.
Product Specifications
Immunogen
A synthesized peptide derived from human ARNT/HIF-1 beta. UniProt ID (P27540).
Clonality
Monoclonal
Host
Rabbit
Isotype
IgG
Description
Novus Biologicals Rabbit ARNT/HIF-1 beta Antibody (2F11) - BSA Free (NBP3-15238) is a recombinant monoclonal antibody validated for use in IHC, WB, ELISA and IP. All Novus Biologicals antibodies are covered by our 100% guarantee.
Scientific Data Images for ARNT/HIF-1 beta Antibody (2F11) - BSA Free
Western Blot: ARNT/HIF-1 beta Antibody (2F11) [NBP3-15238]
Western Blot: ARNT/HIF-1 beta Antibody (2F11) [NBP3-15238] - Positive WB detected in: Hela whole cell lysate, MCF-7 whole cell lysate, HepG2 whole cell lysate, K562 whole cell lysate. All lanes: ARNT/HIF-1 beta antibody at 1.83ug/ml. Secondary: Goat polyclonal to rabbit IgG at 1/50000 dilution. Predicted band size: 87, 85, 86 KDa. Observed band size: 87 KDa.Immunohistochemistry: ARNT/HIF-1 beta Antibody (2F11) [NBP3-15238]
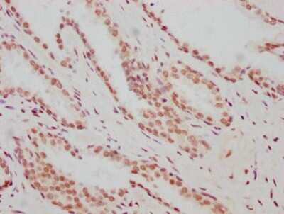
Immunohistochemistry: ARNT/HIF-1 beta Antibody (2F11) [NBP3-15238] - IHC image of ARNT/HIF-1 beta antibody diluted at 1:183 and staining in paraffin-embedded human prostate cancer. After dewaxing and hydration, antigen retrieval was mediated by high pressure in a citrate buffer (pH 6.0). Section was blocked with 10% normal goat serum 30 minutes at RT. Then primary antibody (1% BSA) was incubated at 4C overnight. The primary is detected by a biotinylated secondary antibody and visualized using an HRP conjugated SP system.Immunoprecipitation: ARNT/HIF-1 beta Antibody (2F11) [NBP3-15238]
Immunoprecipitation: ARNT/HIF-1 beta Antibody (2F11) [NBP3-15238] - Immunoprecipitating HIF-1 beta in Hela whole cell lysate. Lane 1: Rabbit control IgG instead of ARNT/HIF-1 beta antibody in Hela whole cell lysate. For western blotting, a HRP-conjugated Protein G antibody was used as the secondary antibody (1/2000). Lane 2: ARNT/HIF-1 beta antibody (3ug) + Hela whole cell lysate (500ug). Lane 3: Hela whole cell lysate (20ug).Applications for ARNT/HIF-1 beta Antibody (2F11) - BSA Free
Application
Recommended Usage
Immunohistochemistry
1:50-1:200
Western Blot
1:500-1:5000
Formulation, Preparation, and Storage
Purification
Affinity purified
Formulation
PBS, pH 7.4, 150mM NaCl, and 50% glycerol
Format
BSA Free
Preservative
0.02% Sodium Azide
Concentration
Please see the vial label for concentration. If unlisted please contact technical services.
Shipping
The product is shipped with polar packs. Upon receipt, store it immediately at the temperature recommended below.
Stability & Storage
Store at -20 to -70C. Avoid freeze-thaw cycles.
Background: ARNT/HIF-1 beta
ARNT has an important role in two specific signaling pathways - the aryl hydrocarbon receptor (AhR) and the hypoxia inducible factor (HIF) pathway (1). In the AhR pathway, AhR in the cytosol is typically inactive and bound to heat shock protein 90 (hsp90) (3). Upon activation and ligand binding by environmental pollutants such as dioxins, AhR is translocated to the nucleus, dissociates from hsp90, and dimerizes with ARNT, leading to binding to response elements and expression of target genes including monooxygenases (1, 3). In the HIF pathway, under hypoxia (low oxygen) conditions prolylhydroxylase domain (PHD) enzymes and factor inhibiting HIF (FIH) are inhibited. HIF-1 alpha (or HIF-2 alpha) accumulates and is transported to the nucleus where it heterodimerizes with ARNT, allowing for binding to target gene's hypoxia response element (HRE), recruitment of coactivators, and transcription (1, 3). HIF-induced gene transcription plays a large role in tumor progression by promoting invasion, metastasis, de-differentiation and altered metabolism, and angiogenesis (1). While HIF-1 alpha's stability is dependent upon oxygen conditions, HIF-1 beta is stable in both normoxia and hypoxia (1-3).
The bHLH-PAS family and ARNT have been linked with a variety of pathologies and diseases including cancer, metabolic diseases, autoimmune diseases, and psychiatric disorders (2). ARNT/AHR is expressed in the skin and its pathway activation enhances skin barrier function and epidermal terminal differentiation, thus AHR agonists are currently being used as therapeutics for atopic dermatitis and psoriasis (4). Accordingly, studies of Arnt-deficient mice show profound abnormalities in skin barrier function and keratinization (4). Additionally, studies suggest that ARNT plays an important role in diabetes and beta-cell function (5). Islets from patients with type 2 diabetes have a significantly decreased ARNT expression compared to glucose-tolerant control donors (5). Modulation and stimulation of the HIF pathway may be a potential therapeutic strategy for treating type 2 diabetes and metabolic syndrome (5).
Alternate names for ARNT/HIF-1 beta include aryl hydrocarbon receptor nuclear translocator, BHLHE2, class E basic helix-loop-helix protein 2, Dixon receptor nuclear translocator, Hypoxia-inducible factor 1-beta, nuclear translocator, and TANGO.
References
1. Mandl, M., & Depping, R. (2014). Hypoxia-inducible aryl hydrocarbon receptor nuclear translocator (ARNT) (HIF-1beta): is it a rare exception?. Molecular medicine (Cambridge, Mass.). https://doi.org/10.2119/molmed.2014.00032
2. Wu, D., & Rastinejad, F. (2017). Structural characterization of mammalian bHLH-PAS transcription factors. Current opinion in structural biology. https://doi.org/10.1016/j.sbi.2016.09.011
3. Esser, C., & Rannug, A. (2015). The aryl hydrocarbon receptor in barrier organ physiology, immunology, and toxicology. Pharmacological reviews.https://doi.org/10.1124/pr.114.009001
4. Furue, M., Hashimoto-Hachiya, A., & Tsuji, G. (2019). Aryl Hydrocarbon Receptor in Atopic Dermatitis and Psoriasis. International journal of molecular sciences. https://doi.org/10.3390/ijms20215424
5. Girgis, C. M., Cheng, K., Scott, C. H., & Gunton, J. E. (2012). Novel links between HIFs, type 2 diabetes, and metabolic syndrome. Trends in endocrinology and metabolism: TEM, https://doi.org/10.1016/j.tem.2012.05.003
Long Name
Aryl Hydrocarbon Receptor Nuclear Translocator
Alternate Names
HIF-1 beta, HIF1 beta, TANGO
Gene Symbol
ARNT
Additional ARNT/HIF-1 beta Products
Product Documents for ARNT/HIF-1 beta Antibody (2F11) - BSA Free
Product Specific Notices for ARNT/HIF-1 beta Antibody (2F11) - BSA Free
This product is for research use only and is not approved for use in humans or in clinical diagnosis. Primary Antibodies are guaranteed for 1 year from date of receipt.
Loading...
Loading...
Loading...
Loading...
Loading...