Skip to main content

ARID1B Antibody - BSA Free

Novus Biologicals, part of Bio-Techne | Catalog # NBP3-35563

Novus Biologicals, part of Bio-Techne
Catalog #
Availability
Size / Price
Qty
Loading...
NBP3-35563-20ul
NBP3-35563-100ul

Key Product Details

Species Reactivity

Human, Mouse, Rat

Applications

Immunohistochemistry, Immunohistochemistry-Paraffin, Western Blot, ELISA, Immunocytochemistry/ Immunofluorescence

Label

Unconjugated

Antibody Source

Polyclonal Rabbit IgG

Format

BSA Free

Concentration

Please see the vial label for concentration. If unlisted please contact technical services.

Product Specifications

Immunogen

Recombinant fusion protein containing a sequence corresponding to amino acids 400-650 of human ARID1B (NP_059989.2).

Sequence:
GGFQRFAGQNQHPSGATPTLNQLLTSPSPMMRSYGGSYPEYSSPSAPPPPPSQPQSQAAAAGAAAGGQQAAAGMGLGKDMGAQYAAASPAWAAAQQRSHPAMSPGTPGPTMGRSQGSPMDPMVMKRPQLYGMGSNPHSQPQQSSPYPGGSYGPPGPQRYPIGIQGRTPGAMAGMQYPQQQMPPQYGQQGVSGYCQQGQQPYYSQQPQPPHLPPQAQYLPSQSQQRYQPQQDMSQEGYGTRSQPPLAPGKPN

Clonality

Polyclonal

Host

Rabbit

Isotype

IgG

Theoretical MW

244 kDa.
Disclaimer note: The observed molecular weight of the protein may vary from the listed predicted molecular weight due to post translational modifications, post translation cleavages, relative charges, and other experimental factors.

Description

Novus Biologicals Rabbit ARID1B Antibody - BSA Free (NBP3-35563) is a polyclonal antibody validated for use in IHC, WB, ELISA and ICC/IF. All Novus Biologicals antibodies are covered by our 100% guarantee.

Scientific Data Images for ARID1B Antibody - BSA Free

ARID1B Antibody

Western Blot: ARID1B Antibody [NBP3-35563] -

Western Blot: ARID1B Antibody [NBP3-35563] - Western blot analysis of various lysates using ARID1B Rabbit pAb at 1:1000 dilution.
Secondary antibody: HRP-conjugated Goat anti-Rabbit IgG (H+L) at 1:10000 dilution.
Lysates/proteins: 25ug per lane.
Blocking buffer: 3% nonfat dry milk in TBST.
Detection: ECL Basic Kit.
Exposure time: 30s.
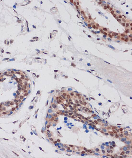
ARID1B Antibody

Immunohistochemistry: ARID1B Antibody [NBP3-35563] -

Immunohistochemistry: ARID1B Antibody [NBP3-35563] - Immunohistochemistry analysis of paraffin-embedded Human breast using ARID1B Rabbit pAb at dilution of 1:100 (40x lens). Microwave antigen retrieval performed with 0.01M PBS Buffer (pH 7.2) prior to IHC staining.
ARID1B Antibody

Immunocytochemistry/ Immunofluorescence: ARID1B Antibody [NBP3-35563] -

Immunocytochemistry/ Immunofluorescence: ARID1B Antibody [NBP3-35563] - Immunofluorescence analysis of C6 cells using ARID1B Rabbit pAb at dilution of 1:100. Secondary antibody: Cy3-conjugated Goat anti-Rabbit IgG (H+L) at 1:500 dilution. Blue: DAPI for nuclear staining.

Applications for ARID1B Antibody - BSA Free

Application
Recommended Usage

Immunocytochemistry/ Immunofluorescence

1:50 - 1:200

Immunohistochemistry-Paraffin

1:50 - 1:200

Western Blot

1:200 - 1:2000

Formulation, Preparation, and Storage

Purification

Affinity purified

Formulation

PBS (pH 7.3), 50% glycerol

Format

BSA Free

Preservative

0.01% Thimerosal

Concentration

Please see the vial label for concentration. If unlisted please contact technical services.

Shipping

The product is shipped with polar packs. Upon receipt, store it immediately at the temperature recommended below.

Stability & Storage

Store at -20C. Avoid freeze-thaw cycles.

Background: ARID1B

ARID1B is involved in transcriptional activation and repression of select genes by chromatin remodeling (alteration ofDNA-nucleosome topology). Binds DNA non-specifically

Alternate Names

6A3-5, ARID domain-containing protein 1B, AT rich interactive domain 1B (SWI1-like), BAF250b, BRG1-associated factor 250b, BRG1-binding protein ELD/OSA1, BRG1-binding protein hELD/OSA1, BRIGHT, DAN15P250R, ELD (eyelid)/OSA protein, ELD/OSA1, hOsa2, JPUT1, KDM5B, KIAA1235AT-rich interactive domain-containing protein 1B, Osa homolog 2, OSA2, p250R, PLU1, RBBP2H1A

Gene Symbol

ARID1B

Additional ARID1B Products

Product Documents for ARID1B Antibody - BSA Free

Certificate of Analysis

To download a Certificate of Analysis, please enter a lot number in the search box below.

Product Specific Notices for ARID1B Antibody - BSA Free

This product is for research use only and is not approved for use in humans or in clinical diagnosis. Primary Antibodies are guaranteed for 1 year from date of receipt.

Loading...
Loading...
Loading...
Loading...