Skip to main content

ARID1B Antibody - BSA Free

Novus Biologicals, part of Bio-Techne | Catalog # NB100-57485

Novus Biologicals, part of Bio-Techne

Key Product Details

Species Reactivity

Human

Applications

Immunohistochemistry, Immunohistochemistry-Paraffin, Immunoprecipitation

Label

Unconjugated

Antibody Source

Polyclonal Rabbit IgG

Format

BSA Free

Concentration

1.0 mg/ml

Product Specifications

Immunogen

The immunogen recognized by this antibody maps to a region between residue 2186 and the C-terminus (residue 2286) of human AT rich interactive domain 1B using the numbering given in entry NP_787059.2 (GeneID 57492).

Clonality

Polyclonal

Host

Rabbit

Isotype

IgG

Scientific Data Images for ARID1B Antibody - BSA Free

Immunohistochemistry: ARID1B Antibody [NB100-57485]

Immunohistochemistry: ARID1B Antibody [NB100-57485]

Immunohistochemistry: ARID1B Antibody [NB100-57485] - Sample: FFPE section of human ovarian carcinoma. Antibody: Affinity purified rabbit anti-ARID1B used at a dilution of 1:1,000 ( 1ug/ml). Detection: DAB staining using Immunohistochemistry Accessory Kit.
Immunohistochemistry-Paraffin: ARID1B Antibody [NB100-57485]

Immunohistochemistry-Paraffin: ARID1B Antibody [NB100-57485]

Immunohistochemistry-Paraffin: ARID1B Antibody [NB100-57485] - FFPE section of human breast carcinoma. Affinity purified rabbit anti-ARID1B used at a dilution of 1:250.
Immunohistochemistry-Paraffin: ARID1B Antibody [NB100-57485]

Immunohistochemistry-Paraffin: ARID1B Antibody [NB100-57485]

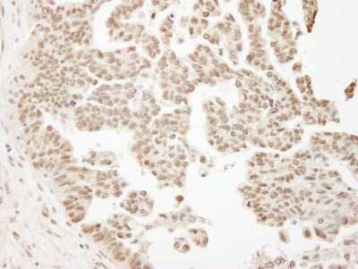
Immunohistochemistry-Paraffin: ARID1B Antibody [NB100-57485] - Human ovarian carcinoma. Antibody used at a dilution of 1:1000 (1ug/ml).

Applications for ARID1B Antibody - BSA Free

Application
Recommended Usage

Immunohistochemistry

1:500-1:2000

Immunohistochemistry-Paraffin

1:500-1:2000

Immunoprecipitation

2-5 ug/mg lysate
Application Notes
Epitope retrieval with citrate buffer pH6.0 is recommended for FFPE tissue sections.

Formulation, Preparation, and Storage

Purification

Immunogen affinity purified

Formulation

Tris-Citrate/Phosphate (pH 7.0 - 8.0)

Format

BSA Free

Preservative

0.09% Sodium Azide

Concentration

1.0 mg/ml

Shipping

The product is shipped with polar packs. Upon receipt, store it immediately at the temperature recommended below.

Stability & Storage

Store at 4C. Do not freeze.

Background: ARID1B

ARID1B (AT-rich interactive domain-containing protein 1B) is a component of SWI/SNF chromatin remodeling complexes involved in transcriptional activation and repression of select genes by chromatin remodeling. It binds DNA non-specifically and alters DNA-nucleosome topology.

Alternate Names

6A3-5, ARID domain-containing protein 1B, AT rich interactive domain 1B (SWI1-like), BAF250b, BRG1-associated factor 250b, BRG1-binding protein ELD/OSA1, BRG1-binding protein hELD/OSA1, BRIGHT, DAN15P250R, ELD (eyelid)/OSA protein, ELD/OSA1, hOsa2, JPUT1, KDM5B, KIAA1235AT-rich interactive domain-containing protein 1B, Osa homolog 2, OSA2, p250R, PLU1, RBBP2H1A

Entrez Gene IDs

57492 (Human)

Gene Symbol

ARID1B

UniProt

Additional ARID1B Products

Product Documents for ARID1B Antibody - BSA Free

Certificate of Analysis

To download a Certificate of Analysis, please enter a lot number in the search box below.

Product Specific Notices for ARID1B Antibody - BSA Free

This product is for research use only and is not approved for use in humans or in clinical diagnosis. Primary Antibodies are guaranteed for 1 year from date of receipt.

Loading...
Loading...
Loading...
Loading...
Loading...