Skip to main content

ARHGEF11 Antibody - BSA Free

Novus Biologicals, part of Bio-Techne | Catalog # NBP2-24517

Novus Biologicals, part of Bio-Techne
Catalog #
Availability
Size / Price
Qty
Loading...
NBP2-24517SS
NBP2-24517

Key Product Details

Species Reactivity

Validated:

Human, Rat, Bovine, Primate

Cited:

Human

Predicted:

Canine (100%), Chimpanzee (100%), Mouse (100%). Backed by our 100% Guarantee.

Applications

Validated:

Immunohistochemistry, Immunohistochemistry-Paraffin, Western Blot

Cited:

Immunohistochemistry-Paraffin

Label

Unconjugated

Antibody Source

Polyclonal Rabbit IgG

Format

BSA Free

Concentration

0.5 mg/ml

Product Specifications

Immunogen

A portion of amino acids 1-50 of human ARHGEF11 was used as the immunogen.

Clonality

Polyclonal

Host

Rabbit

Isotype

IgG

Scientific Data Images for ARHGEF11 Antibody - BSA Free

Western Blot: ARHGEF11 Antibody [NBP2-24517]

Western Blot: ARHGEF11 Antibody [NBP2-24517]

Western Blot: ARHGEF11 Antibody [NBP2-24517] - Analysis of human ARHGEF11 in rat brain lysate in the 1) absence and 2) presence of immunizing peptide using NBP2-24517 at 0.1 ug/ml.
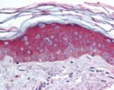
Immunohistochemistry-Paraffin: ARHGEF11 Antibody [NBP2-24517]

Immunohistochemistry-Paraffin: ARHGEF11 Antibody [NBP2-24517]

Immunohistochemistry-Paraffin: ARHGEF11 Antibody [NBP2-24517] - IHC analysis of human skin using NBP2-24517 at 10 ug/ml.

Applications for ARHGEF11 Antibody - BSA Free

Application
Recommended Usage

Immunohistochemistry-Paraffin

10 ug/ml

Western Blot

0.1-0.5 ug/ml

Formulation, Preparation, and Storage

Purification

Immunogen affinity purified

Formulation

PBS and 0.2% Gelatin

Format

BSA Free

Preservative

0.05% Sodium Azide

Concentration

0.5 mg/ml

Shipping

The product is shipped with polar packs. Upon receipt, store it immediately at the temperature recommended below.

Stability & Storage

Store at 4C short term. Aliquot and store at -20C long term. Avoid freeze-thaw cycles.

Background: ARHGEF11

Rho GTPases play a fundamental role in numerous cellular processes that are initiated by extracellular stimuli that work through G protein coupled receptors. The encoded protein may form a complex with G proteins and stimulate Rho-dependent signals. A similar protein in rat interacts with glutamate transporter EAAT4 and modulates its glutamate transport activity. Expression of the rat protein induces the reorganization of the actin cytoskeleton and its overexpression induces the formation of membrane ruffling and filopodia. Two alternative transcripts encoding different isoforms have been described. [provided by RefSeq]

Alternate Names

DKFZp667F1223, glutamate transporter EAAT4-associated protein 48, GTRAP48, KIAA0380rho guanine nucleotide exchange factor 11, PDZ-RHOGEF, Rho guanine exchange factor (GEF) 11, Rho guanine nucleotide exchange factor (GEF) 11, RhoA-specific guanine nucleotide exchange factor, RhoGEF glutamate transport modulator

Gene Symbol

ARHGEF11

UniProt

Additional ARHGEF11 Products

Product Documents for ARHGEF11 Antibody - BSA Free

Certificate of Analysis

To download a Certificate of Analysis, please enter a lot number in the search box below.

Product Specific Notices for ARHGEF11 Antibody - BSA Free

This product is for research use only and is not approved for use in humans or in clinical diagnosis. Primary Antibodies are guaranteed for 1 year from date of receipt.

Loading...
Loading...
Loading...
Loading...