Skip to main content

ARHGEF11 Antibody - BSA Free

Novus Biologicals, part of Bio-Techne | Catalog # NBP1-83312

Novus Biologicals, part of Bio-Techne
Catalog #
Availability
Size / Price
Qty
Loading...
NBP1-83312-25ul
NBP1-83312

Key Product Details

Validated by

Independent Antibodies

Species Reactivity

Human

Applications

Immunohistochemistry, Immunohistochemistry-Paraffin, Western Blot

Label

Unconjugated

Antibody Source

Polyclonal Rabbit IgG

Format

BSA Free

Concentration

Concentrations vary lot to lot. See vial label for concentration. If unlisted please contact technical services.

Product Specifications

Immunogen

This antibody was developed against Recombinant Protein corresponding to amino acids: FIICTSKLGPPQIYELVALTSSDKNTWMELLEEAVRNATRHPGAAPMPVHPPPPGPREPAQQGPTPSRVELDDSDVFHGEPEPEELPGGTGSQQRVQGKHQVLLEDPEQEGSAEEEELGVLPCPSTSLDGENRGIR

Clonality

Polyclonal

Host

Rabbit

Isotype

IgG

Scientific Data Images for ARHGEF11 Antibody - BSA Free

ARHGEF11 Antibody - BSA Free Immunohistochemistry-Paraffin: ARHGEF11 Antibody - BSA Free [NBP1-83312]

Immunohistochemistry-Paraffin: ARHGEF11 Antibody - BSA Free [NBP1-83312]

Staining of human cerebral cortex shows moderate cytoplasmic positivity in neurons.
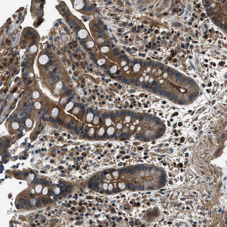
ARHGEF11 Antibody - BSA Free Immunohistochemistry-Paraffin: ARHGEF11 Antibody - BSA Free [NBP1-83312]

Immunohistochemistry-Paraffin: ARHGEF11 Antibody - BSA Free [NBP1-83312]

Staining of human colon shows moderate cytoplasmic positivity in glandular cells.
ARHGEF11 Antibody - BSA Free Immunohistochemistry-Paraffin: ARHGEF11 Antibody - BSA Free [NBP1-83312]

Immunohistochemistry-Paraffin: ARHGEF11 Antibody - BSA Free [NBP1-83312]

Staining of human tonsil shows moderate cytoplasmic positivity in germinal center cells.

Applications for ARHGEF11 Antibody - BSA Free

Application
Recommended Usage

Immunohistochemistry

1:50 - 1:200

Immunohistochemistry-Paraffin

1:50 - 1:200

Western Blot

0.04-0.4 ug/ml
Application Notes
For IHC-Paraffin, HIER pH 6 retrieval is recommended.

Formulation, Preparation, and Storage

Purification

Affinity purified

Formulation

PBS (pH 7.2) and 40% Glycerol

Format

BSA Free

Preservative

0.02% Sodium Azide

Concentration

Concentrations vary lot to lot. See vial label for concentration. If unlisted please contact technical services.

Shipping

The product is shipped with polar packs. Upon receipt, store it immediately at the temperature recommended below.

Stability & Storage

Store at 4C short term. Aliquot and store at -20C long term. Avoid freeze-thaw cycles.

Background: ARHGEF11

Rho GTPases play a fundamental role in numerous cellular processes that are initiated by extracellular stimuli that work through G protein coupled receptors. The encoded protein may form a complex with G proteins and stimulate Rho-dependent signals. A similar protein in rat interacts with glutamate transporter EAAT4 and modulates its glutamate transport activity. Expression of the rat protein induces the reorganization of the actin cytoskeleton and its overexpression induces the formation of membrane ruffling and filopodia. Two alternative transcripts encoding different isoforms have been described. [provided by RefSeq]

Alternate Names

DKFZp667F1223, glutamate transporter EAAT4-associated protein 48, GTRAP48, KIAA0380rho guanine nucleotide exchange factor 11, PDZ-RHOGEF, Rho guanine exchange factor (GEF) 11, Rho guanine nucleotide exchange factor (GEF) 11, RhoA-specific guanine nucleotide exchange factor, RhoGEF glutamate transport modulator

Gene Symbol

ARHGEF11

Additional ARHGEF11 Products

Product Documents for ARHGEF11 Antibody - BSA Free

Certificate of Analysis

To download a Certificate of Analysis, please enter a lot number in the search box below.

Product Specific Notices for ARHGEF11 Antibody - BSA Free

This product is for research use only and is not approved for use in humans or in clinical diagnosis. Primary Antibodies are guaranteed for 1 year from date of receipt.

Loading...
Loading...
Loading...
Loading...