Skip to main content

ARHGAP27 Antibody - BSA Free

Novus Biologicals, part of Bio-Techne | Catalog # NBP1-91223

Novus Biologicals, part of Bio-Techne
Catalog #
Availability
Size / Price
Qty
Loading...
NBP1-91223
NBP1-91223-25ul

Key Product Details

Species Reactivity

Validated:

Human

Predicted:

Mouse (93%), Rat (93%). Backed by our 100% Guarantee.

Applications

Immunohistochemistry, Immunohistochemistry-Paraffin, Immunocytochemistry/ Immunofluorescence

Label

Unconjugated

Antibody Source

Polyclonal Rabbit IgG

Format

BSA Free

Concentration

Concentrations vary lot to lot. See vial label for concentration. If unlisted please contact technical services.

Product Specifications

Immunogen

This antibody was developed against Recombinant Protein corresponding to amino acids: WTVLEGGVLTFFKDSKTSAAGGLRQPSKFSTPEYTVELRGATLSWAPKDKSSRKNVLELRSRDGSEYLIQHDSEAIISTWHKAIAQGIQE

Clonality

Polyclonal

Host

Rabbit

Isotype

IgG

Description

Novus Biologicals Rabbit ARHGAP27 Antibody - BSA Free (NBP1-91223) is a polyclonal antibody validated for use in IHC and ICC/IF. All Novus Biologicals antibodies are covered by our 100% guarantee.

Scientific Data Images for ARHGAP27 Antibody - BSA Free

Immunocytochemistry/ Immunofluorescence: ARHGAP27 Antibody [NBP1-91223]

Immunocytochemistry/ Immunofluorescence: ARHGAP27 Antibody [NBP1-91223]

Immunocytochemistry/Immunofluorescence: ARHGAP27 Antibody [NBP1-91223] - Staining of human cell line U-251 MG shows localization to nucleoplasm & cytosol. Antibody staining is shown in green.
Immunohistochemistry-Paraffin: ARHGAP27 Antibody [NBP1-91223]

Immunohistochemistry-Paraffin: ARHGAP27 Antibody [NBP1-91223]

Immunohistochemistry-Paraffin: ARHGAP27 Antibody [NBP1-91223] - Staining of human bone marrow shows strong cytoplasmic positivity in a subset of bone marrow poietic cells.
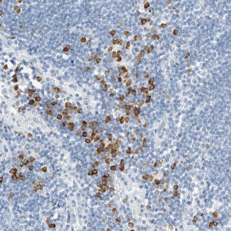
ARHGAP27 Antibody - BSA Free Immunohistochemistry: ARHGAP27 Antibody - BSA Free [NBP1-91223]

Immunohistochemistry: ARHGAP27 Antibody - BSA Free [NBP1-91223]

Staining of human lymph node shows strong membranous and cytoplasmic positivity in non-germinal center cells.

Applications for ARHGAP27 Antibody - BSA Free

Application
Recommended Usage

Immunocytochemistry/ Immunofluorescence

0.25-2 ug/ml

Immunohistochemistry

1:200 - 1:500

Immunohistochemistry-Paraffin

1:200 - 1:500
Application Notes
For IHC-Paraffin, HIER pH 6 retrieval is recommended. ICC/IF Fixation Permeabilization: Use PFA/Triton X-100.

Formulation, Preparation, and Storage

Purification

Affinity purified

Formulation

PBS (pH 7.2) and 40% Glycerol

Format

BSA Free

Preservative

0.02% Sodium Azide

Concentration

Concentrations vary lot to lot. See vial label for concentration. If unlisted please contact technical services.

Shipping

The product is shipped with polar packs. Upon receipt, store it immediately at the temperature recommended below.

Stability & Storage

Store at 4C short term. Aliquot and store at -20C long term. Avoid freeze-thaw cycles.

Background: ARHGAP27

Alternate Names

Rho GTPase activating protein 27

Entrez Gene IDs

201176 (Human)

Gene Symbol

ARHGAP27

UniProt

Additional ARHGAP27 Products

Product Documents for ARHGAP27 Antibody - BSA Free

Certificate of Analysis

To download a Certificate of Analysis, please enter a lot number in the search box below.

Product Specific Notices for ARHGAP27 Antibody - BSA Free

This product is for research use only and is not approved for use in humans or in clinical diagnosis. Primary Antibodies are guaranteed for 1 year from date of receipt.

Loading...
Loading...
Loading...
Loading...