Skip to main content

ARHGAP21 Antibody - BSA Free

Novus Biologicals, part of Bio-Techne | Catalog # NBP3-47970

Novus Biologicals, part of Bio-Techne
Catalog #
Availability
Size / Price
Qty
Loading...
NBP3-47970

Key Product Details

Species Reactivity

Human, Rat

Applications

Immunohistochemistry, Western Blot, ELISA, Immunocytochemistry/ Immunofluorescence

Label

Unconjugated

Antibody Source

Polyclonal Rabbit IgG

Format

BSA Free

Concentration

Please see the vial label for concentration. If unlisted please contact technical services.

Product Specifications

Immunogen

Rho GTPase activating protein 21. (Uniprot# Q5T5U3)

Clonality

Polyclonal

Host

Rabbit

Isotype

IgG

Theoretical MW

250 kDa.
Disclaimer note: The observed molecular weight of the protein may vary from the listed predicted molecular weight due to post translational modifications, post translation cleavages, relative charges, and other experimental factors.

Description

Novus Biologicals Rabbit ARHGAP21 Antibody - BSA Free (NBP3-47970) is a polyclonal antibody validated for use in IHC, WB, ELISA and ICC/IF. All Novus Biologicals antibodies are covered by our 100% guarantee.

Scientific Data Images for ARHGAP21 Antibody - BSA Free

ARHGAP21 Antibody - BSA Free

Western Blot: ARHGAP21 Antibody - BSA Free [NBP3-47970] -

Western Blot: ARHGAP21 Antibody - BSA Free [NBP3-47970] - PC-3 cells were subjected to SDS PAGE followed by western blot with (ARHGAP21 Antibody) at dilution of 1:600
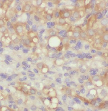
ARHGAP21 Antibody - BSA Free

Immunohistochemistry: ARHGAP21 Antibody - BSA Free [NBP3-47970] -

Immunohistochemistry: ARHGAP21 Antibody - BSA Free [NBP3-47970] - Immunohistochemistry of paraffin-embedded human ovary tissue slide using (ARHGAP21 Antibody) at dilution of 1:50

Applications for ARHGAP21 Antibody - BSA Free

Application
Recommended Usage

Immunocytochemistry/ Immunofluorescence

1:20-1:200

Immunohistochemistry

1:20-1:200

Western Blot

1:500-1:2000

Formulation, Preparation, and Storage

Purification

Immunogen affinity purified

Formulation

PBS, 50% Glycerol, pH (7.3)

Format

BSA Free

Preservative

0.02% Sodium Azide

Concentration

Please see the vial label for concentration. If unlisted please contact technical services.

Shipping

The product is shipped with polar packs. Upon receipt, store it immediately at the temperature recommended below.

Stability & Storage

Store at -20C. Avoid freeze-thaw cycles.

Background: ARHGAP21

Alternate Names

DKFZp761L0424, FLJ33323, FLJ90108, KIAA1424, Rho GTPase activating protein 21, rho GTPase-activating protein 10, rho GTPase-activating protein 21, Rho-GTPase activating protein 10, rho-type GTPase-activating protein 21

Gene Symbol

ARHGAP21

Additional ARHGAP21 Products

Product Documents for ARHGAP21 Antibody - BSA Free

Certificate of Analysis

To download a Certificate of Analysis, please enter a lot number in the search box below.

Product Specific Notices for ARHGAP21 Antibody - BSA Free

This product is for research use only and is not approved for use in humans or in clinical diagnosis. Primary Antibodies are guaranteed for 1 year from date of receipt.

Loading...
Loading...
Loading...
Loading...