Skip to main content

ARHGAP21 Antibody - BSA Free

Novus Biologicals, part of Bio-Techne | Catalog # NBP1-90852

Novus Biologicals, part of Bio-Techne
Catalog #
Availability
Size / Price
Qty
Loading...
NBP1-90852
NBP1-90852-25ul

Key Product Details

Species Reactivity

Validated:

Human

Predicted:

Mouse (92%), Rat (95%). Backed by our 100% Guarantee.

Applications

Immunohistochemistry, Immunohistochemistry-Paraffin

Label

Unconjugated

Antibody Source

Polyclonal Rabbit IgG

Format

BSA Free

Concentration

Concentrations vary lot to lot. See vial label for concentration. If unlisted please contact technical services.

Product Specifications

Immunogen

This antibody was developed against Recombinant Protein corresponding to amino acids: VPPCLTTSAPLIRRQLSHDHESVGPPSLDAQPNSKTERSKSYDEGLDDYREDAKLSFKHVSSLKGIKIADSQKSSEDSGSRKDSSSEVFSDAAKEG

Clonality

Polyclonal

Host

Rabbit

Isotype

IgG

Scientific Data Images for ARHGAP21 Antibody - BSA Free

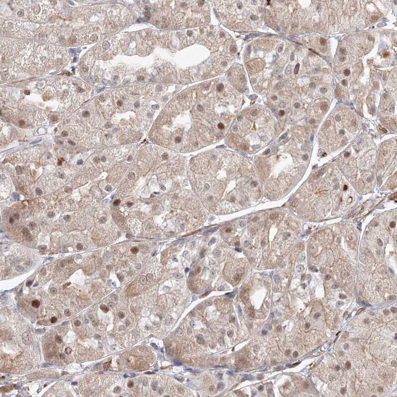
Immunohistochemistry-Paraffin: ARHGAP21 Antibody [NBP1-90852]

Immunohistochemistry-Paraffin: ARHGAP21 Antibody [NBP1-90852]

Immunohistochemistry-Paraffin: ARHGAP21 Antibody [NBP1-90852] - Staining of human gall bladder shows distinct nuclear and cytoplasmic positivity in glandular cells.
ARHGAP21 Antibody - BSA Free Immunohistochemistry: ARHGAP21 Antibody - BSA Free [NBP1-90852]

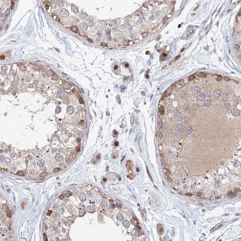
Immunohistochemistry: ARHGAP21 Antibody - BSA Free [NBP1-90852]

Staining of human testis shows strong nuclear positivity in Leydig cells.
ARHGAP21 Antibody - BSA Free Immunohistochemistry: ARHGAP21 Antibody - BSA Free [NBP1-90852]

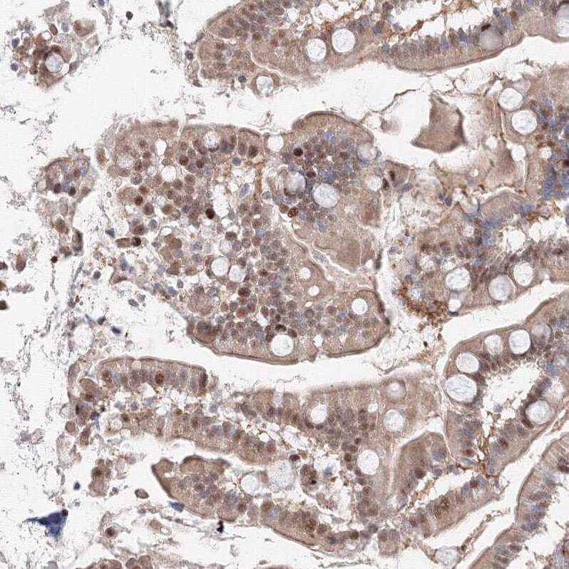
Immunohistochemistry: ARHGAP21 Antibody - BSA Free [NBP1-90852]

Staining of human small intestine shows strong nuclear positivity in glandular cells.

Applications for ARHGAP21 Antibody - BSA Free

Application
Recommended Usage

Immunohistochemistry

1:200 - 1:500

Immunohistochemistry-Paraffin

1:200 - 1:500
Application Notes
For IHC-Paraffin, HIER pH 6 retrieval is recommended.

Formulation, Preparation, and Storage

Purification

Affinity purified

Formulation

PBS (pH 7.2) and 40% Glycerol

Format

BSA Free

Preservative

0.02% Sodium Azide

Concentration

Concentrations vary lot to lot. See vial label for concentration. If unlisted please contact technical services.

Shipping

The product is shipped with polar packs. Upon receipt, store it immediately at the temperature recommended below.

Stability & Storage

Store at 4C short term. Aliquot and store at -20C long term. Avoid freeze-thaw cycles.

Background: ARHGAP21

Alternate Names

DKFZp761L0424, FLJ33323, FLJ90108, KIAA1424, Rho GTPase activating protein 21, rho GTPase-activating protein 10, rho GTPase-activating protein 21, Rho-GTPase activating protein 10, rho-type GTPase-activating protein 21

Entrez Gene IDs

57584 (Human)

Gene Symbol

ARHGAP21

UniProt

Additional ARHGAP21 Products

Product Documents for ARHGAP21 Antibody - BSA Free

Certificate of Analysis

To download a Certificate of Analysis, please enter a lot number in the search box below.

Product Specific Notices for ARHGAP21 Antibody - BSA Free

This product is for research use only and is not approved for use in humans or in clinical diagnosis. Primary Antibodies are guaranteed for 1 year from date of receipt.

Loading...
Loading...
Loading...
Loading...