Skip to main content

Argonaute 4 Antibody - Azide and BSA Free

Novus Biologicals, part of Bio-Techne | Catalog # NBP3-05866

Novus Biologicals, part of Bio-Techne

Key Product Details

Species Reactivity

Human

Applications

Immunohistochemistry, Immunohistochemistry-Paraffin

Label

Unconjugated

Antibody Source

Polyclonal Rabbit IgG

Format

Azide and BSA Free

Concentration

Please see the vial label for concentration. If unlisted please contact technical services.

Product Specifications

Immunogen

Produced in rabbits immunized with a synthetic peptide corresponding to the C-terminus of the Human Argonaute 4.

Clonality

Polyclonal

Host

Rabbit

Isotype

IgG

Description

This antibody can be stored at 2C-8C for one month without detectable loss of activity. Antibody products are stable for twelve months from date of receipt when stored at -20C to -80C. Avoid repeated freeze-thaw cycles.

Scientific Data Images for Argonaute 4 Antibody - Azide and BSA Free

Argonaute 4 Antibody - Azide and BSA Free

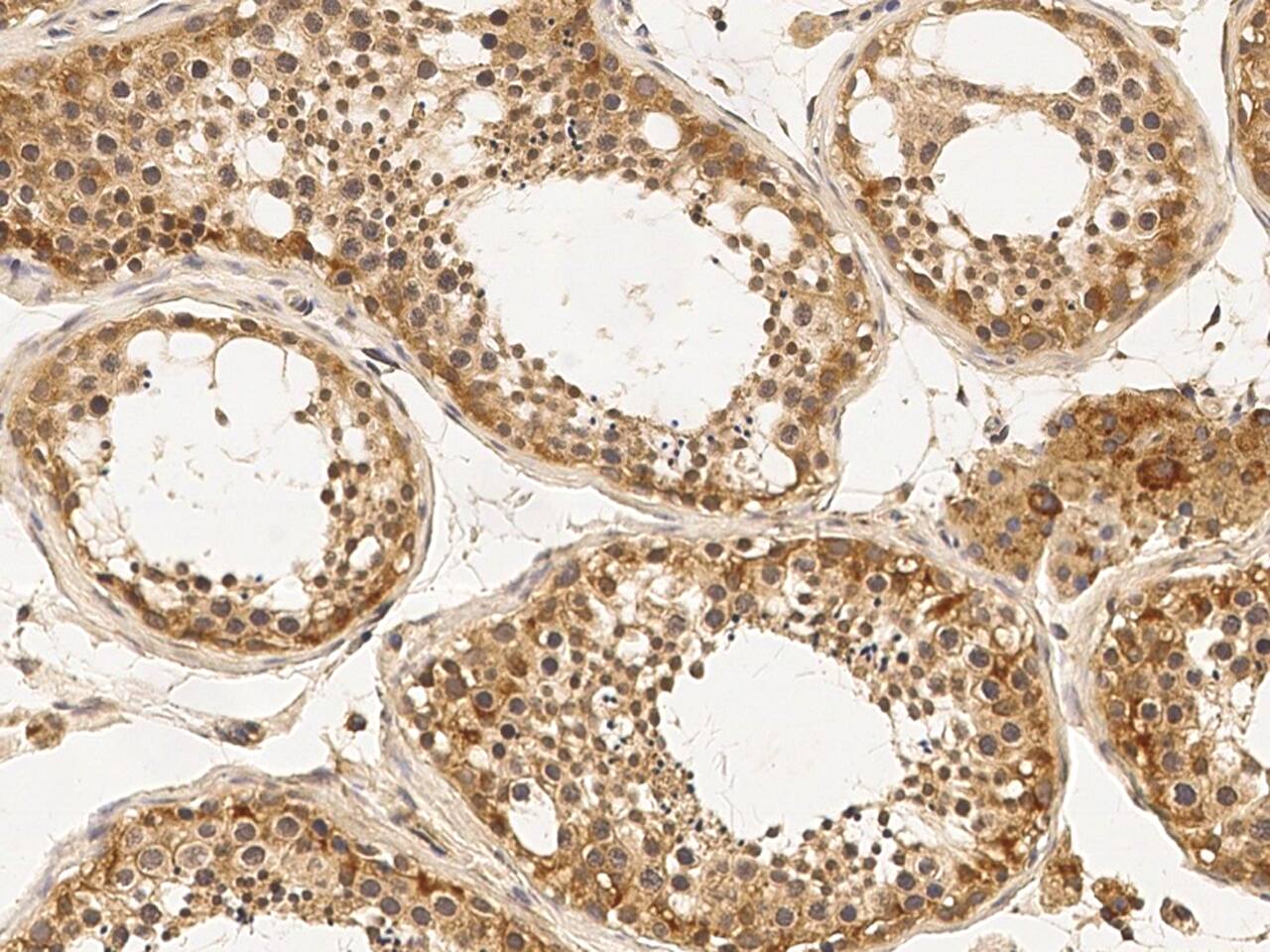
Immunohistochemistry-Paraffin: Argonaute 4 Antibody [NBP3-05866] -

Immunohistochemistry-Paraffin: Argonaute 4 Antibody [NBP3-05866] - Immunochemical staining of human Argonaute 4 in human testis with NBP3-05866 (1:300, formalin-fixed paraffin embedded sections).

Applications for Argonaute 4 Antibody - Azide and BSA Free

Application
Recommended Usage

Immunohistochemistry-Paraffin

1:100-1:500

Formulation, Preparation, and Storage

Purification

Antigen and protein A Affinity-purified

Formulation

0.2 um filtered solution in PBS

Format

Azide and BSA Free

Preservative

No Preservative

Concentration

Please see the vial label for concentration. If unlisted please contact technical services.

Shipping

The product is shipped with polar packs. Upon receipt, store it immediately at the temperature recommended below.

Stability & Storage

Store at 4C short term. Aliquot and store at -20C long term. Avoid freeze-thaw cycles.

Background: Argonaute 4

Argonaute 4 encodes a member of the Argonaute family of proteins which play a role in RNA interference. The encoded protein is highly basic containing PAZ and PIWI domains, and it may play a role in short-interfering-RNA-mediated gene silencing. This gene is located on chromosome 1 in a cluster of closely related family members including argonaute 3, and eukaryotic translation initiation factor 2C, 1. [provided by RefSeq]

Alternate Names

AGO4argonaute 4, Argonaute4, eIF2C 4, eIF-2C 4, Eukaryotic translation initiation factor 2C 4, eukaryotic translation initiation factor 2C, 4, FLJ20033, hAgo4, KIAA1567argonaute4, protein argonaute-4

Gene Symbol

AGO4

Additional Argonaute 4 Products

Product Documents for Argonaute 4 Antibody - Azide and BSA Free

Certificate of Analysis

To download a Certificate of Analysis, please enter a lot number in the search box below.

Product Specific Notices for Argonaute 4 Antibody - Azide and BSA Free

This product is for research use only and is not approved for use in humans or in clinical diagnosis. Primary Antibodies are guaranteed for 1 year from date of receipt.

Loading...
Loading...
Loading...
Loading...