Skip to main content

Arginase 1/ARG1/liver Arginase Antibody - BSA Free

Novus Biologicals, part of Bio-Techne | Catalog # NBP1-32731

Novus Biologicals, part of Bio-Techne

Key Product Details

Validated by

Knockout/Knockdown

Species Reactivity

Validated:

Human, Mouse, Rat

Cited:

Human, Mouse, Rat

Predicted:

Bovine (90%), Rabbit (91%). Backed by our 100% Guarantee.

Applications

Validated:

Immunohistochemistry, Immunohistochemistry-Paraffin, Immunohistochemistry-Frozen, Western Blot, Flow Cytometry, Immunocytochemistry/ Immunofluorescence, Simple Western, Immunoprecipitation, Knockdown Validated

Cited:

Immunohistochemistry-Paraffin, Immunohistochemistry-Frozen, Western Blot, Flow Cytometry, Immunocytochemistry/ Immunofluorescence, IF/IHC

Label

Unconjugated

Antibody Source

Polyclonal Rabbit IgG

Format

BSA Free

Concentration

1.0 mg/ml

Product Specifications

Immunogen

Arginase 1/ARG1/liver Arginase Antibody made from full length human Arginase 1 Recombinant protein.

Reactivity Notes

Rat reactivity reported in scientific literature (PMID:32701588). Immunogen displays the following percentage of sequence identity for non-tested species: Porcine (89%).

Localization

Cytoplasm/Nucleus

Clonality

Polyclonal

Host

Rabbit

Isotype

IgG

Description

Novus Biologicals Rabbit Arginase 1/ARG1/liver Arginase Antibody - BSA Free (NBP1-32731) is a polyclonal antibody validated for use in IHC, WB, Flow, ICC/IF, Simple Western and IP. Anti-Arginase 1/ARG1/liver Arginase Antibody: Cited in 29 publications. All Novus Biologicals antibodies are covered by our 100% guarantee.

Scientific Data Images for Arginase 1/ARG1/liver Arginase Antibody - BSA Free

Knockdown Validated: Arginase 1/ARG1/liver Arginase Antibody - BSA Free [NBP1-32731]

Western Blot: Arginase 1/ARG1/liver Arginase Antibody - BSA Free [NBP1-32731]

Western Blot: Arginase 1/ARG1/liver Arginase Antibody [NBP1-32731] - Non-transfected (-) and transfected (+) HepG2 whole cell extracts (30 ug) were separated by 10% SDS-PAGE, and the membrane was blotted with Arginase 1 antibody.
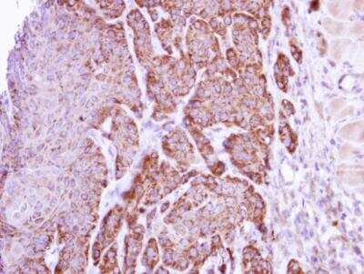
Immunohistochemistry: Arginase 1/ARG1/liver Arginase Antibody - BSA Free [NBP1-32731]

Immunohistochemistry: Arginase 1/ARG1/liver Arginase Antibody - BSA Free [NBP1-32731]

Arginase-1-ARG1-liver-Arginase-Antibody-Immunohistochemistry-NBP1-32731-img0033.jpg
Simple Western: Arginase 1/ARG1/liver Arginase AntibodyBSA Free [NBP1-32731]

Simple Western: Arginase 1/ARG1/liver Arginase AntibodyBSA Free [NBP1-32731]

Simple Western: Arginase 1/ARG1/liver Arginase Antibody [NBP1-32731] - Simple Western lane view shows a specific band for ARG1 in human and mouse Liver lysate using ARG1 antibody (NBP1-32731) at 25 ug/ml. This experiment was performed under reducing conditions using the 12-230 kDa separation system.

Applications for Arginase 1/ARG1/liver Arginase Antibody - BSA Free

Application
Recommended Usage

Flow Cytometry

5 - 10 ug/ml

Immunocytochemistry/ Immunofluorescence

1:10 - 1:500

Immunohistochemistry

1:100-1:1000

Immunohistochemistry-Frozen

1:10 - 1:500

Immunohistochemistry-Paraffin

1:100-1:1000

Immunoprecipitation

1:10 - 1:500

Western Blot

1:1000-1:50000

Reviewed Applications

Read 1 review rated 4 using NBP1-32731 in the following applications:

Formulation, Preparation, and Storage

Purification

Immunogen affinity purified

Formulation

PBS

Format

BSA Free

Preservative

0.02% Sodium Azide

Concentration

1.0 mg/ml

Shipping

The product is shipped with polar packs. Upon receipt, store it immediately at the temperature recommended below.

Stability & Storage

Aliquot and store at -20C or -80C. Avoid freeze-thaw cycles.

Background: Arginase 1/ARG1

Arginase 1 (ARG1), also known as liver arginase, is a metalloenzyme that is a member of the ureohydrolase superfamily and arginase family (1). ARG1 is known for its role in the urea cycle in catalyzing the conversion of L-arginine into urea and L-ornithine (1). Arginase has two distinct isoforms, with ARG1 being expressed primarily in the liver and ARG2 in extrahepatic tissues (1). Human ARG1 is synthesized as 322 amino acids (aa) in length with a theoretical molecular weight of 35 kDa (1,2). Three ARG1 monomers can form a highly active homotrimer of 105 kDa (1). A key structural feature of the arginase protein is the binuclear magnesium (Mn2+) ions at its core (1).

Arginase and nitric oxidase synthase (NOS) compete for the same L-arginine substrate, creating a delicate balance between pathways (1). Furthermore, bioavailability of L-arginine and ARG1 expression has been implicated in several pathologies including vascular disease, neuronal disease, cardiovascular disease, immune dysfunction, inflammation, and cancer (1,3-5). For instance, ARG1 functions as a macrophage marker, defining the M2 population, while inducible nitric oxide synthase (iNOS) characterizes the M1 population; impaired M1/M2 polarization and changes in ARG1 expression is observed in diseases such as arteriogenesis, asthma, pulmonary fibrosis, and inflammatory bowel disease (1,3). In humans, arginase deficiency, known as argininemia, is an autosomal recessive metabolic disorder characterized by elevated ammonia (hyperammonemia) levels and arginine accumulation (6). Given that many arginase-associated diseases are characterized by upregulation in expression of ARG1, ARG2, or both, arginase inhibitors are currently being studied as a potential therapeutic approach (1,4).

References

1. S Clemente, G., van Waarde, A., F Antunes, I., Domling, A., & H Elsinga, P. (2020). Arginase as a Potential Biomarker of Disease Progression: A Molecular Imaging Perspective. International Journal of Molecular Sciences. https://doi.org/10.3390/ijms21155291

2. Uniprot (P05089)

3. Kieler, M., Hofmann, M., & Schabbauer, G. (2021). More than just protein building blocks: How amino acids and related metabolic pathways fuel macrophage polarization. The FEBS Journal. Advance online publication. https://doi.org/10.1111/febs.15715

4. Shosha, E., Fouda, A. Y., Narayanan, S. P., Caldwell, R. W., & Caldwell, R. B. (2020). Is the Arginase Pathway a Novel Therapeutic Avenue for Diabetic Retinopathy?. Journal of Clinical Medicine. https://doi.org/10.3390/jcm9020425

5. Correale J. (2021). Immunosuppressive Amino-Acid Catabolizing Enzymes in Multiple Sclerosis. Frontiers in Immunology. https://doi.org/10.3389/fimmu.2020.600428

6. Morales, J. A., & Sticco, K. L. (2020). Arginase Deficiency. In StatPearls. StatPearls Publishing.

Long Name

Liver-Type Arginase

Alternate Names

AI, ARG1, Arginase-1, Liver Arginase, PGIF, Type I Arginase

Entrez Gene IDs

383 (Human)

Gene Symbol

ARG1

UniProt

Additional Arginase 1/ARG1 Products

Product Documents for Arginase 1/ARG1/liver Arginase Antibody - BSA Free

Certificate of Analysis

To download a Certificate of Analysis, please enter a lot number in the search box below.

Product Specific Notices for Arginase 1/ARG1/liver Arginase Antibody - BSA Free

This product is for research use only and is not approved for use in humans or in clinical diagnosis. Primary Antibodies are guaranteed for 1 year from date of receipt.

Loading...
Loading...
Loading...
Loading...
Loading...
Loading...