Skip to main content

ARFGAP1 Antibody (OTI1F6) - Azide and BSA Free

Novus Biologicals, part of Bio-Techne | Catalog # NBP2-72013

Novus Biologicals, part of Bio-Techne
Catalog #
Availability
Size / Price
Qty
Loading...
NBP2-72013

Key Product Details

Species Reactivity

Human, Mouse, Rat, Monkey

Applications

Immunohistochemistry, Immunohistochemistry-Paraffin, Western Blot, Flow Cytometry, Immunocytochemistry/ Immunofluorescence, CyTOF-ready

Label

Unconjugated

Antibody Source

Monoclonal Mouse IgG2B Clone # OTI1F6

Format

Azide and BSA Free

Concentration

LYOPH mg/ml

Product Specifications

Immunogen

Full length human recombinant protein of human ARFGAP1 (NP_783202) produced in HEK293T cell.

Reactivity Notes

Please note that this antibody is reactive to Mouse and derived from the same host, Mouse. Mouse-On-Mouse blocking reagent may be needed for IHC and ICC experiments to reduce high background signal. You can find these reagents under catalog numbers PK-2200-NB and MP-2400-NB. Please contact Technical Support if you have any questions.

Clonality

Monoclonal

Host

Mouse

Isotype

IgG2B

Theoretical MW

45.5 kDa.
Disclaimer note: The observed molecular weight of the protein may vary from the listed predicted molecular weight due to post translational modifications, post translation cleavages, relative charges, and other experimental factors.

Description

Novus Biologicals Mouse ARFGAP1 Antibody (OTI1F6) - Azide and BSA Free (NBP2-00513) is a monoclonal antibody validated for use in IHC, WB, Flow and ICC/IF. All Novus Biologicals antibodies are covered by our 100% guarantee.

Scientific Data Images for ARFGAP1 Antibody (OTI1F6) - Azide and BSA Free

Western Blot: ARFGAP1 Antibody (OTI1F6)Azide and BSA Free [NBP2-72013]

Western Blot: ARFGAP1 Antibody (OTI1F6)Azide and BSA Free [NBP2-72013]

Western Blot: ARFGAP1 Antibody (OTI1F6) - Azide and BSA Free [NBP2-72013] - HEK293T cells were transfected with the pCMV6-ENTRY control (Left lane) or pCMV6-ENTRY ARFGAP1 (Right lane) cDNA for 48 hrs and lysed. Equivalent amounts of cell lysates (5 ug per lane) were separated by SDS-PAGE and immunoblotted with anti-ARFGAP1.
Immunocytochemistry/ Immunofluorescence: ARFGAP1 Antibody (OTI1F6) - Azide and BSA Free [NBP2-72013]

Immunocytochemistry/ Immunofluorescence: ARFGAP1 Antibody (OTI1F6) - Azide and BSA Free [NBP2-72013]

Immunocytochemistry/Immunofluorescence: ARFGAP1 Antibody (OTI1F6) - Azide and BSA Free [NBP2-72013] - Staining of COS7 cells transiently transfected by pCMV6-ENTRY ARFGAP1.
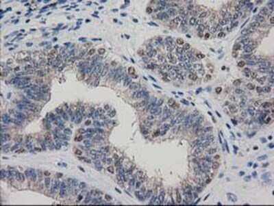
Immunohistochemistry: ARFGAP1 Antibody (OTI1F6) - Azide and BSA Free [NBP2-72013]

Immunohistochemistry: ARFGAP1 Antibody (OTI1F6) - Azide and BSA Free [NBP2-72013]

Immunohistochemistry: ARFGAP1 Antibody (OTI1F6) - Azide and BSA Free [NBP2-72013] - Staining of paraffin-embedded Human pancreas tissue using anti-ARFGAP1 mouse monoclonal antibody.

Applications for ARFGAP1 Antibody (OTI1F6) - Azide and BSA Free

Application
Recommended Usage

Flow Cytometry

1:100

Immunocytochemistry/ Immunofluorescence

1:100

Immunohistochemistry

1:150

Western Blot

1:1000-2000

Formulation, Preparation, and Storage

Purification

Immunogen affinity purified

Reconstitution

we recommend adding 100uL distilled water to a final antibody concentration of about 1 mg/mL. To use this carrier-free antibody for conjugation experiment, we strongly recommend performing another round of desalting process.

Formulation

Lyophilized from PBS (pH 7.3) with 8% Trehalose

Format

Azide and BSA Free

Preservative

No Preservative

Concentration

LYOPH mg/ml

Shipping

The product is shipped with polar packs. Upon receipt, store it immediately at the temperature recommended below.

Stability & Storage

Store at -20C. Avoid freeze-thaw cycles.

Background: ARFGAP1

ARFGAP1 is encoded by this gene is a GTPase-activating protein (GAP) which associates with the Golgi apparatus and which interacts with ADP-ribosylation factor 1 (ARF1). The encoded protein promotes hydrolysis of ARF1-bound GTP and is required for the dissociation of coat proteins from Golgi-derived membranes and vesicles. Dissociation of the coat proteins is required for the fusion of these vesicles with target compartments. The activity of this protein is stimulated by phosphoinosides and inhibited by phosphatidylcholine. Two transcript variants encoding different isoforms have been found for this gene. [provided by RefSeq]

Long Name

ADP-ribosylation factor GTPase-activating protein 1

Alternate Names

ARF GAP 1, ARF1 GAP, ARF1GAP

Gene Symbol

ARFGAP1

Additional ARFGAP1 Products

Product Documents for ARFGAP1 Antibody (OTI1F6) - Azide and BSA Free

Certificate of Analysis

To download a Certificate of Analysis, please enter a lot number in the search box below.

Product Specific Notices for ARFGAP1 Antibody (OTI1F6) - Azide and BSA Free

This product is for research use only and is not approved for use in humans or in clinical diagnosis. Primary Antibodies are guaranteed for 1 year from date of receipt.

Loading...
Loading...
Loading...
Loading...
Loading...
Loading...