Skip to main content

ARFGAP1 Antibody (OTI1F6)

Novus Biologicals, part of Bio-Techne | Catalog # NBP2-00513

Novus Biologicals, part of Bio-Techne
Catalog #
Availability
Size / Price
Qty
Loading...
NBP2-00513

Key Product Details

Species Reactivity

Human, Mouse, Rat, Monkey

Applications

Flow Cytometry, Immunocytochemistry/ Immunofluorescence, Immunohistochemistry, Immunohistochemistry-Paraffin, Western Blot

Label

Unconjugated

Antibody Source

Monoclonal Mouse IgG2B Clone # OTI1F6

Concentration

0.63 mg/ml

Product Specifications

Immunogen

Full length human recombinant protein of human ARFGAP1 (NP_783202) produced in HEK293T cell.

Reactivity Notes

Please note that this antibody is reactive to Mouse and derived from the same host, Mouse. Mouse-On-Mouse blocking reagent may be needed for IHC and ICC experiments to reduce high background signal. You can find these reagents under catalog numbers PK-2200-NB and MP-2400-NB. Please contact Technical Support if you have any questions.

Clonality

Monoclonal

Host

Mouse

Isotype

IgG2B

Theoretical MW

45.5 kDa.
Disclaimer note: The observed molecular weight of the protein may vary from the listed predicted molecular weight due to post translational modifications, post translation cleavages, relative charges, and other experimental factors.

Description

Novus Biologicals Mouse ARFGAP1 Antibody (OTI1F6) (NBP2-00513) is a monoclonal antibody validated for use in IHC, WB, Flow and ICC/IF. All Novus Biologicals antibodies are covered by our 100% guarantee.

Scientific Data Images for ARFGAP1 Antibody (OTI1F6)

Western Blot: ARFGAP1 Antibody (1F6) [NBP2-00513] Analysis of extracts (35ug) from 9 different cell lines by using anti-ARFGAP1 monoclonal antibody.
Immunocytochemistry/ Immunofluorescence: ARFGAP1 Antibody (OTI1F6) [NBP2-00513]

Immunocytochemistry/ Immunofluorescence: ARFGAP1 Antibody (OTI1F6) [NBP2-00513]

Immunocytochemistry/Immunofluorescence: ARFGAP1 Antibody (1F6) [NBP2-00513] - Staining of COS7 cells transiently transfected by pCMV6-ENTRY ARFGAP1.
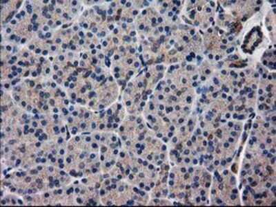
Immunohistochemistry-Paraffin: ARFGAP1 Antibody (OTI1F6) [NBP2-00513]

Immunohistochemistry-Paraffin: ARFGAP1 Antibody (OTI1F6) [NBP2-00513]

Immunohistochemistry-Paraffin: ARFGAP1 Antibody (1F6) [NBP2-00513] - Staining of paraffin-embedded Human thyroid tissue using anti-ARFGAP1 mouse monoclonal antibody.

Applications for ARFGAP1 Antibody (OTI1F6)

Application
Recommended Usage

Flow Cytometry

1:100

Immunocytochemistry/ Immunofluorescence

1:100

Immunohistochemistry

1:150

Immunohistochemistry-Paraffin

1:150

Western Blot

1:1000-2000

Formulation, Preparation, and Storage

Purification

Immunogen affinity purified

Formulation

PBS (pH 7.3), 1.0% BSA and 50% Glycerol

Preservative

0.02% Sodium Azide

Concentration

0.63 mg/ml

Shipping

The product is shipped with polar packs. Upon receipt, store it immediately at the temperature recommended below.

Stability & Storage

Store at -20C. Avoid freeze-thaw cycles.

Background: ARFGAP1

The protein encoded by this gene is a GTPase-activating protein (GAP) which associates with the Golgi apparatus and which interacts with ADP-ribosylation factor 1 (ARF1). The encoded protein promotes hydrolysis of ARF1-bound GTP and is required for the dissociation of coat proteins from Golgi-derived membranes and vesicles. Dissociation of the coat proteins is required for the fusion of these vesicles with target compartments. The activity of this protein is stimulated by phosphoinosides and inhibited by phosphatidylcholine. Two transcript variants encoding different isoforms have been found for this gene. [provided by RefSeq].

Long Name

ADP-ribosylation factor GTPase-activating protein 1

Alternate Names

ARF GAP 1, ARF1 GAP, ARF1GAP

Entrez Gene IDs

55738 (Human)

Gene Symbol

ARFGAP1

Additional ARFGAP1 Products

Product Documents for ARFGAP1 Antibody (OTI1F6)

Certificate of Analysis

To download a Certificate of Analysis, please enter a lot number in the search box below.

Product Specific Notices for ARFGAP1 Antibody (OTI1F6)

This product is for research use only and is not approved for use in humans or in clinical diagnosis. Primary Antibodies are guaranteed for 1 year from date of receipt.

Loading...
Loading...
Loading...
Loading...
Loading...