Skip to main content

APRIN Antibody - BSA Free

Novus Biologicals, part of Bio-Techne | Catalog # NBP1-90122

Novus Biologicals, part of Bio-Techne
Catalog #
Availability
Size / Price
Qty
Loading...
NBP1-90122
NBP1-90122-25ul

Key Product Details

Species Reactivity

Human, Mouse, Rat

Applications

Immunohistochemistry, Immunohistochemistry-Paraffin, Western Blot, Immunocytochemistry/ Immunofluorescence

Label

Unconjugated

Antibody Source

Polyclonal Rabbit IgG

Format

BSA Free

Concentration

Concentrations vary lot to lot. See vial label for concentration. If unlisted please contact technical services.

Product Specifications

Immunogen

This antibody was developed against Recombinant Protein corresponding to amino acids: GSQRSRKRGHTASESDEQQWPEEKRLKEDILENEDEQNSPPKKGKRGRPPKPLGGGTPKEEPTMKTSKKGSKKKSGPPAPEEEE

Clonality

Polyclonal

Host

Rabbit

Isotype

IgG

Description

Novus Biologicals Rabbit APRIN Antibody - BSA Free (NBP1-90122) is a polyclonal antibody validated for use in IHC, WB and ICC/IF. All Novus Biologicals antibodies are covered by our 100% guarantee.

Scientific Data Images for APRIN Antibody - BSA Free

Immunocytochemistry/ Immunofluorescence: APRIN Antibody [NBP1-90122]

Immunocytochemistry/ Immunofluorescence: APRIN Antibody [NBP1-90122]

Immunocytochemistry/Immunofluorescence: APRIN Antibody [NBP1-90122] - Immunofluorescent staining of human cell line A-431 shows localization to nucleoplasm.
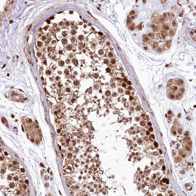
APRIN Antibody - BSA Free Immunohistochemistry: APRIN Antibody - BSA Free [NBP1-90122]

Immunohistochemistry: APRIN Antibody - BSA Free [NBP1-90122]

Staining of human Testis shows strong nuclear positivity in cells in seminiferous ducts and Leydig cells.
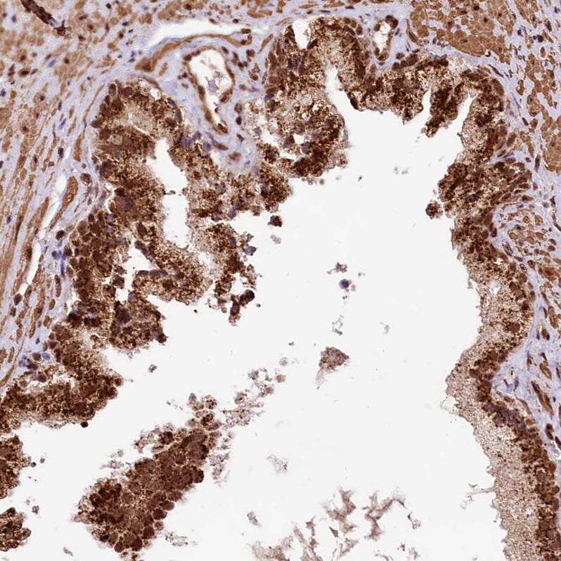
APRIN Antibody - BSA Free Immunohistochemistry: APRIN Antibody - BSA Free [NBP1-90122]

Immunohistochemistry: APRIN Antibody - BSA Free [NBP1-90122]

Staining of human Prostate shows strong nuclear positivity in glandular cells.

Applications for APRIN Antibody - BSA Free

Application
Recommended Usage

Immunocytochemistry/ Immunofluorescence

0.25-2 ug/ml

Immunohistochemistry

1:200 - 1:500

Immunohistochemistry-Paraffin

1:200 - 1:500

Western Blot

0.04-0.4 ug/ml
Application Notes
For IHC-Paraffin, HIER pH 6 retrieval is recommended. Immunocytochemistry/Immunofluorescence Fixation Permeabilization: Use PFA/Triton X-100.

Formulation, Preparation, and Storage

Purification

Affinity purified

Formulation

PBS (pH 7.2) and 40% Glycerol

Format

BSA Free

Preservative

0.02% Sodium Azide

Concentration

Concentrations vary lot to lot. See vial label for concentration. If unlisted please contact technical services.

Shipping

The product is shipped with polar packs. Upon receipt, store it immediately at the temperature recommended below.

Stability & Storage

Store at 4C short term. Aliquot and store at -20C long term. Avoid freeze-thaw cycles.

Background: APRIN

APRIN plays a role in androgen-induced proliferative arrest in prostate cells. Required for maintenance of sister chromatid cohesion during mitosis

Alternate Names

Androgen-induced proliferation inhibitorKIAA0979androgen induced inhibitor of proliferation, Androgen-induced prostate proliferative shutoff-associated protein AS3, androgen-induced shutoff 3, AS3APRIN, CG008, FLJ23236, PDS5, regulator of cohesion maintenance, homolog B (S. cerevisiae), sister chromatid cohesion protein PDS5 homolog B

Gene Symbol

PDS5B

Additional APRIN Products

Product Documents for APRIN Antibody - BSA Free

Certificate of Analysis

To download a Certificate of Analysis, please enter a lot number in the search box below.

Product Specific Notices for APRIN Antibody - BSA Free

This product is for research use only and is not approved for use in humans or in clinical diagnosis. Primary Antibodies are guaranteed for 1 year from date of receipt.

Loading...
Loading...
Loading...
Loading...