Skip to main content

APOOL Antibody - BSA Free

Novus Biologicals, part of Bio-Techne | Catalog # NBP3-43761

Novus Biologicals, part of Bio-Techne

Key Product Details

Species Reactivity

Human

Applications

Immunocytochemistry/ Immunofluorescence, Immunohistochemistry, Immunohistochemistry-Paraffin

Label

Unconjugated

Antibody Source

Polyclonal Rabbit IgG

Format

BSA Free

Concentration

Please see the vial label for concentration. If unlisted please contact technical services.

Product Specifications

Immunogen

Produced in rabbits immunized with E. coli-derived Human APOOL fragment

Clonality

Polyclonal

Host

Rabbit

Isotype

IgG

Description

Novus Biologicals Rabbit APOOL Antibody - BSA Free (NBP3-43761) is a polyclonal antibody validated for use in IHC and ICC/IF. All Novus Biologicals antibodies are covered by our 100% guarantee.

Scientific Data Images for APOOL Antibody - BSA Free

APOOL Antibody - BSA Free

Immunohistochemistry-Paraffin: APOOL Antibody - BSA Free [NBP3-43761] -

Immunohistochemistry-Paraffin: APOOL Antibody - BSA Free [NBP3-43761] - Immunochemical staining of human APOOL in human kidney with NBP3-43761 at 1:200 dilution, formalin-fixed paraffin embedded sections.
APOOL Antibody - BSA Free

Immunocytochemistry/ Immunofluorescence: APOOL Antibody - BSA Free [NBP3-43761] -

Immunocytochemistry/ Immunofluorescence: APOOL Antibody - BSA Free [NBP3-43761] - Immunofluorescence staining of APOOL in A431 cells. Cells were fixed with 4% PFA, permeabilzed with 0.3% Triton X-100 in PBS,blocked with 10% serum, and incubated with NBP3-43761 (dilution ratio 1:100) at 4 overnight. Then cells were stained with the Alexa Fluor488-conjugated Goat Anti-rabbit IgG secondary antibody (green). Positive staining was localized to Cytoplasm.
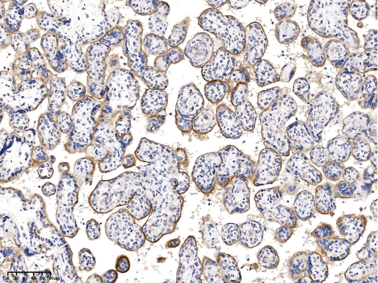
APOOL Antibody - BSA Free

Immunohistochemistry-Paraffin: APOOL Antibody - BSA Free [NBP3-43761] -

Immunohistochemistry-Paraffin: APOOL Antibody - BSA Free [NBP3-43761] - Immunochemical staining of human APOOL in human placenta with NBP3-43761 at 1:200 dilution, formalin-fixed paraffin embedded sections.

Applications for APOOL Antibody - BSA Free

Application
Recommended Usage

Immunocytochemistry/ Immunofluorescence

1:50-1:200

Immunohistochemistry

1:100-1:500

Immunohistochemistry-Paraffin

1:100-1:500

Formulation, Preparation, and Storage

Purification

Antigen and protein A Affinity-purified

Formulation

PBS, pH7.0

Format

BSA Free

Preservative

0.03% Proclin 300

Concentration

Please see the vial label for concentration. If unlisted please contact technical services.

Shipping

The product is shipped with polar packs. Upon receipt, store it immediately at the temperature recommended below.

Stability & Storage

Store at 4C short term. Store at -20C long term. Avoid freeze-thaw cycles.

Background: APOOL

Alternate Names

AAIR8193, apolipoprotein O-like, chromosome X open reading frame 33, CXorf33, FAM121A, family with sequence similarity 121A, MGC129748, Protein FAM121A, UNQ8193

Gene Symbol

APOOL

Additional APOOL Products

Product Documents for APOOL Antibody - BSA Free

Certificate of Analysis

To download a Certificate of Analysis, please enter a lot number in the search box below.

Product Specific Notices for APOOL Antibody - BSA Free

This product is for research use only and is not approved for use in humans or in clinical diagnosis. Primary Antibodies are guaranteed for 1 year from date of receipt.

Loading...
Loading...
Loading...
Loading...