Skip to main content

Apolipoprotein H/ApoH Antibody - BSA Free

Novus Biologicals, part of Bio-Techne | Catalog # NBP1-90046

Novus Biologicals, part of Bio-Techne
Catalog #
Availability
Size / Price
Qty
Loading...
NBP1-90046
NBP1-90046-25ul

Key Product Details

Validated by

Knockout/Knockdown, Independent Antibodies

Species Reactivity

Human

Applications

Immunohistochemistry, Immunohistochemistry-Paraffin, Western Blot, Immunocytochemistry/ Immunofluorescence, Knockdown Validated

Label

Unconjugated

Antibody Source

Polyclonal Rabbit IgG

Format

BSA Free

Concentration

Concentrations vary lot to lot. See vial label for concentration. If unlisted please contact technical services.

Product Specifications

Immunogen

This antibody was developed against Recombinant Protein corresponding to amino acids: ECREVKCPFPSRPDNGFVNYPAKPTLYYKDKATFGCHDGYSLDGPEEIECTKLGNWSAMPSCKASCKVPVKKATVVYQGERVKIQEKFKNGMLHGDKVSFFCKNKEKKCSYTEDAQCIDGTIEVPKCFKEHSSLAFSKTDASDVK

Reactivity Notes

Immunogen displays the following percentage of sequence identity for non-tested species: Rat (85%)

Clonality

Polyclonal

Host

Rabbit

Isotype

IgG

Description

Novus Biologicals Rabbit Apolipoprotein H/ApoH Antibody - BSA Free (NBP1-90046) is a polyclonal antibody validated for use in IHC, WB and ICC/IF. Anti-Apolipoprotein H/ApoH Antibody: Cited in 2 publications. All Novus Biologicals antibodies are covered by our 100% guarantee.

Scientific Data Images for Apolipoprotein H/ApoH Antibody - BSA Free

Immunocytochemistry/ Immunofluorescence: Apolipoprotein H/ApoH Antibody [NBP1-90046]

Immunocytochemistry/ Immunofluorescence: Apolipoprotein H/ApoH Antibody [NBP1-90046]

Immunocytochemistry/Immunofluorescence: Apolipoprotein H/ApoH Antibody [NBP1-90046] - Staining of human cell line Hep G2 shows localization to the Golgi apparatus. Antibody staining is shown in green.
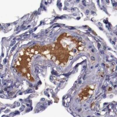
Immunohistochemistry-Paraffin: Apolipoprotein H/ApoH Antibody [NBP1-90046]

Immunohistochemistry-Paraffin: Apolipoprotein H/ApoH Antibody [NBP1-90046]

Immunohistochemistry-Paraffin: Apolipoprotein H/ApoH Antibody [NBP1-90046] - Staining of human colon, kidney, lung and lymph node using Anti-APOH antibody NBP1-90046 (A) shows similar protein distribution across tissues to independent antibody NBP1-90045 (B).
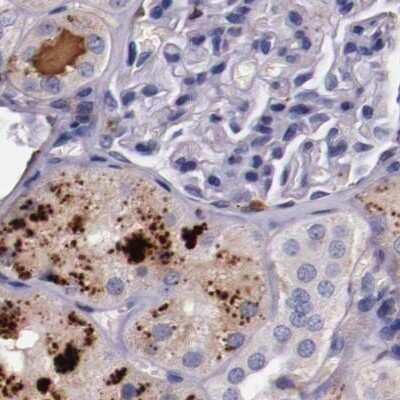
Immunohistochemistry-Paraffin: Apolipoprotein H/ApoH Antibody [NBP1-90046]

Immunohistochemistry-Paraffin: Apolipoprotein H/ApoH Antibody [NBP1-90046]

Immunohistochemistry-Paraffin: Apolipoprotein H/ApoH Antibody [NBP1-90046] - Staining of human kidney.

Applications for Apolipoprotein H/ApoH Antibody - BSA Free

Application
Recommended Usage

Immunocytochemistry/ Immunofluorescence

0.25-2 ug/ml

Immunohistochemistry

1:50 - 1:200

Immunohistochemistry-Paraffin

1:50 - 1:200

Western Blot

0.04-0.4 ug/ml
Application Notes
For IHC-Paraffin, HIER pH 6 retrieval is recommended. ICC/IF Fixation/Permeabilization: PFA/Triton X-100

Formulation, Preparation, and Storage

Purification

Affinity purified

Formulation

PBS (pH 7.2) and 40% Glycerol

Format

BSA Free

Preservative

0.02% Sodium Azide

Concentration

Concentrations vary lot to lot. See vial label for concentration. If unlisted please contact technical services.

Shipping

The product is shipped with polar packs. Upon receipt, store it immediately at the temperature recommended below.

Stability & Storage

Store at 4C short term. Aliquot and store at -20C long term. Avoid freeze-thaw cycles.

Background: Apolipoprotein H/ApoH

Apolipoprotein H has been implicated in a variety of physiologic pathways including lipoprotein metabolism, coagulation, and the production of antiphospholipid autoantibodies. APOH may be a required cofactor for anionic phospholipid binding by the antiphospholipid autoantibodies found in sera of many patients with lupus and primary antiphospholipid syndrome, but it does not seem to be required for the reactivity of antiphospholipid autoantibodies associated with infections.

Alternate Names

APOH, B2G1, B2GPI, Beta, BG

Gene Symbol

APOH

Additional Apolipoprotein H/ApoH Products

Product Documents for Apolipoprotein H/ApoH Antibody - BSA Free

Certificate of Analysis

To download a Certificate of Analysis, please enter a lot number in the search box below.

Product Specific Notices for Apolipoprotein H/ApoH Antibody - BSA Free

This product is for research use only and is not approved for use in humans or in clinical diagnosis. Primary Antibodies are guaranteed for 1 year from date of receipt.

Loading...
Loading...
Loading...
Loading...