Skip to main content

Apolipoprotein B/ApoB Antibody - BSA Free

Novus Biologicals, part of Bio-Techne | Catalog # NBP2-38608

Novus Biologicals, part of Bio-Techne
Catalog #
Availability
Size / Price
Qty
Loading...
NBP2-38608
NBP2-38608-25ul

Key Product Details

Species Reactivity

Human

Applications

Immunohistochemistry, Immunohistochemistry-Paraffin, Immunocytochemistry/ Immunofluorescence

Label

Unconjugated

Antibody Source

Polyclonal Rabbit IgG

Format

BSA Free

Concentration

Concentrations vary lot to lot. See vial label for concentration. If unlisted please contact technical services.

Product Specifications

Immunogen

This antibody was developed against a recombinant protein corresponding to amino acids: NFVASHIANILNSEELDIQDLKKLVKEALKESQLPTVMDFRKFSRNYQLYKSVSLPSLDPASAKIEGNLIFDPNNYLPKESMLKTTLTAFGFASADLIE

Clonality

Polyclonal

Host

Rabbit

Isotype

IgG

Scientific Data Images for Apolipoprotein B/ApoB Antibody - BSA Free

Immunocytochemistry/ Immunofluorescence: Apolipoprotein B/ApoB Antibody [NBP2-38608]

Immunocytochemistry/ Immunofluorescence: Apolipoprotein B/ApoB Antibody [NBP2-38608]

Immunocytochemistry/Immunofluorescence: Apolipoprotein B/ApoB Antibody [NBP2-38608] - Staining of human cell line Hep G2 shows localization to cytosol & vesicles. Antibody staining is shown in green.
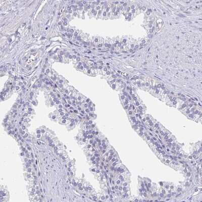
Immunohistochemistry-Paraffin: Apolipoprotein B/ApoB Antibody [NBP2-38608]

Immunohistochemistry-Paraffin: Apolipoprotein B/ApoB Antibody [NBP2-38608]

Immunohistochemistry-Paraffin: Apolipoprotein B/ApoB Antibody [NBP2-38608] - Staining of human prostate shows no positivity in glandular cells.
Immunohistochemistry-Paraffin: Apolipoprotein B/ApoB Antibody [NBP2-38608]

Immunohistochemistry-Paraffin: Apolipoprotein B/ApoB Antibody [NBP2-38608]

Immunohistochemistry-Paraffin: Apolipoprotein B/ApoB Antibody [NBP2-38608] - Staining of human gastrointestinal shows moderate positivity in plasma in blood vessels.

Applications for Apolipoprotein B/ApoB Antibody - BSA Free

Application
Recommended Usage

Immunocytochemistry/ Immunofluorescence

0.25-2 ug/ml

Immunohistochemistry

1:500 - 1:1000

Immunohistochemistry-Paraffin

1:500 - 1:1000
Application Notes
For IHC-Paraffin, HIER pH 6 retrieval is recommended. ICC/IF Fixation Permeabilization: Use PFA/Triton X-100.

Formulation, Preparation, and Storage

Purification

Affinity purified

Formulation

PBS (pH 7.2) and 40% Glycerol

Format

BSA Free

Preservative

0.02% Sodium Azide

Concentration

Concentrations vary lot to lot. See vial label for concentration. If unlisted please contact technical services.

Shipping

The product is shipped with polar packs. Upon receipt, store it immediately at the temperature recommended below.

Stability & Storage

Store at 4C short term. Aliquot and store at -20C long term. Avoid freeze-thaw cycles.

Background: Apolipoprotein B/ApoB

Apolipoprotein B (apo B) in human plasma is a major protein of low density lipoproteins (LDL). The molecular mass is 260 kDa. Apo B binds to specific receptors on cell membranes and is involved in removal of LDL and very low density lipoprotein (VLDL) cholesterol from circulation.

Alternate Names

APOB, ApoB-100, ApoB-48, FLDB, LDLCQ4

Gene Symbol

APOB

UniProt

Additional Apolipoprotein B/ApoB Products

Product Documents for Apolipoprotein B/ApoB Antibody - BSA Free

Certificate of Analysis

To download a Certificate of Analysis, please enter a lot number in the search box below.

Product Specific Notices for Apolipoprotein B/ApoB Antibody - BSA Free

This product is for research use only and is not approved for use in humans or in clinical diagnosis. Primary Antibodies are guaranteed for 1 year from date of receipt.

Loading...
Loading...
Loading...
Loading...