Apolipoprotein A-IV/ApoA4 Antibody (CL0467) - Azide and BSA Free
Novus Biologicals, part of Bio-Techne | Catalog # NBP3-43968
Conjugate
Catalog #
Forumulation
Catalog #
Key Product Details
Validated by
Orthogonal Validation
Species Reactivity
Human
Applications
Immunohistochemistry-Paraffin, Western Blot
Label
Unconjugated
Antibody Source
Monoclonal Mouse IgG1 Clone # CL0467
Format
Azide and BSA Free
Concentration
LYOPH mg/ml
Product Specifications
Immunogen
This antibody was generated using a recombinant protein sequence of P06727, with the exact immunogen sequence remaining proprietary.
Clonality
Monoclonal
Host
Mouse
Isotype
IgG1
Scientific Data Images for Apolipoprotein A-IV/ApoA4 Antibody (CL0467) - Azide and BSA Free
Western Blot: Apolipoprotein A-IV/ApoA4 Antibody [NBP3-43968]
Lane 1: Marker [kDa]Lane 2: Human plasma
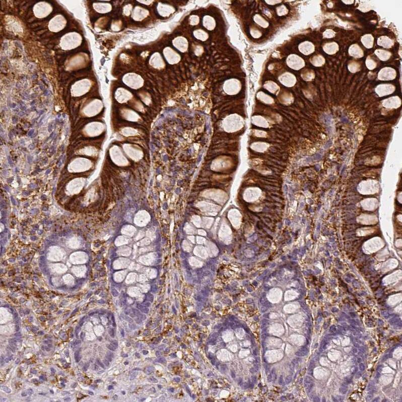
Immunohistochemistry-Paraffin: Apolipoprotein A-IV/ApoA4 Antibody [NBP3-43968]
Staining of human colon shows strong positivity in plasma in blood vessels.Applications for Apolipoprotein A-IV/ApoA4 Antibody (CL0467) - Azide and BSA Free
Application
Recommended Usage
Immunohistochemistry-Paraffin
1:2500 - 1:5000
Western Blot
1 ug/ml
Application Notes
For IHC-Paraffin, HIER pH 6 retrieval is recommended.
Formulation, Preparation, and Storage
Purification
Protein A purified
Reconstitution
Centrifuge the vial of lyophilized antibody at 12,000 x g for 20 seconds. Reconstitute by adding sterile, distilled water to achieve a final antibody concentration of 1mg/ml.
Formulation
Lyophilized from a 0.2 um filtered solution in PBS with Trehalose
Format
Azide and BSA Free
Preservative
No Preservative
Concentration
LYOPH mg/ml
Shipping
The product is shipped at ambient temperature. Upon receipt, store it immediately at the temperature recommended below.
Stability & Storage
Store at 4C short term. Aliquot and store at -20C long term. Avoid freeze-thaw cycles.
Background: Apolipoprotein A-IV/ApoA4
Alternate Names
Apolipoprotein AIV
Gene Symbol
APOA4
Additional Apolipoprotein A-IV/ApoA4 Products
Product Documents for Apolipoprotein A-IV/ApoA4 Antibody (CL0467) - Azide and BSA Free
Product Specific Notices for Apolipoprotein A-IV/ApoA4 Antibody (CL0467) - Azide and BSA Free
This product is for research use only and is not approved for use in humans or in clinical diagnosis. Primary Antibodies are guaranteed for 1 year from date of receipt.
Loading...
Loading...
Loading...
Loading...
Loading...
Loading...