Skip to main content

Apc11 Antibody - BSA Free

Novus Biologicals, part of Bio-Techne | Catalog # NBP3-35554

Novus Biologicals, part of Bio-Techne
Catalog #
Availability
Size / Price
Qty
Loading...
NBP3-35554-100ul
NBP3-35554-20ul

Key Product Details

Species Reactivity

Human, Mouse

Applications

ELISA, Immunocytochemistry/ Immunofluorescence, Immunohistochemistry, Immunohistochemistry-Paraffin, Western Blot

Label

Unconjugated

Antibody Source

Polyclonal Rabbit IgG

Format

BSA Free

Concentration

Please see the vial label for concentration. If unlisted please contact technical services.

Product Specifications

Immunogen

Recombinant fusion protein containing a sequence corresponding to amino acids 1-84 of human Apc11 (NP_001002245.1).

Sequence:
MKVKIKCWNGVATWLWVANDENCGICRMAFNGCCPDCKVPGDDCPLVWGQCSHCFHMHCILKWLHAQQVQQHCPMCRQEWKFKE

Clonality

Polyclonal

Host

Rabbit

Isotype

IgG

Theoretical MW

10 kDa.
Disclaimer note: The observed molecular weight of the protein may vary from the listed predicted molecular weight due to post translational modifications, post translation cleavages, relative charges, and other experimental factors.

Description

Novus Biologicals Rabbit Apc11 Antibody - BSA Free (NBP3-35554) is a polyclonal antibody validated for use in IHC, WB, ELISA and ICC/IF. All Novus Biologicals antibodies are covered by our 100% guarantee.

Scientific Data Images for Apc11 Antibody - BSA Free

Apc11 Antibody

Western Blot: Apc11 Antibody [NBP3-35554] -

Western Blot: Apc11 Antibody [NBP3-35554] - Western blot analysis of lysates from mouse heart, using Apc11 Rabbit pAb at 1:1000 dilution.
Secondary antibody: HRP-conjugated Goat anti-Rabbit IgG (H+L) at 1:10000 dilution.
Lysates/proteins: 25ug per lane.
Blocking buffer: 3% nonfat dry milk in TBST.
Detection: ECL Enhanced Kit.
Exposure time: 120s.
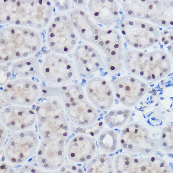
Apc11 Antibody

Immunohistochemistry: Apc11 Antibody [NBP3-35554] -

Immunohistochemistry: Apc11 Antibody [NBP3-35554] - Immunohistochemistry analysis of paraffin-embedded Mouse kidney using Apc11 Rabbit pAb at dilution of 1:100 (40x lens). High pressure antigen retrieval performed with 0.01M Citrate Bufferr (pH 6.0) prior to IHC staining.
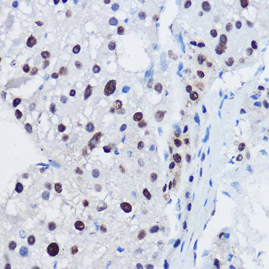
Apc11 Antibody

Immunohistochemistry: Apc11 Antibody [NBP3-35554] -

Immunohistochemistry: Apc11 Antibody [NBP3-35554] - Immunohistochemistry analysis of paraffin-embedded Human liver cancer using Apc11 Rabbit pAb at dilution of 1:100 (40x lens). High pressure antigen retrieval performed with 0.01M Citrate Bufferr (pH 6.0) prior to IHC staining.

Applications for Apc11 Antibody - BSA Free

Application
Recommended Usage

Immunocytochemistry/ Immunofluorescence

1:50 - 1:200

Immunohistochemistry-Paraffin

1:50 - 1:200

Western Blot

1:200 - 1:2000

Formulation, Preparation, and Storage

Purification

Affinity purified

Formulation

PBS (pH 7.3), 50% glycerol

Format

BSA Free

Preservative

0.01% Thimerosal

Concentration

Please see the vial label for concentration. If unlisted please contact technical services.

Shipping

The product is shipped with polar packs. Upon receipt, store it immediately at the temperature recommended below.

Stability & Storage

Store at -20C. Avoid freeze-thaw cycles.

Background: Apc11

APC11 (anaphase-promoting complex subunit 11) is a member of the E3 enzyme family. This protein contains a RING-H2 domain and has a molecular weight of approximately 9.8 kD. The APC11 protein is distributed diffusely in the cytoplasm and is located in the nucleus with discrete accumulation in granular structures. The APC11 protein is a probable catalytic unit in the APC complex. The APC11 protein functions with other members of the APC complex as a multisubunit cell cycle ubiquitin ligase, and a regulator of sister chromatid separation by degrading securins. In addition, this protein functions in ubiquitin-dependent cyclin catabolism, metaphase/anaphase transition, and spindle elongation. The APC11 protein comprises one subunit of the anaphase promoting complex including APC1-8, and other probable complex proteins APC9-11, Cdc26, Mnd2, Swm1. The APC complex is inactivated by protein kinase A and is activated by CDC20 and Cdh1. In addition to the APC complex proteins, APC11 has been shown to interact with Ubc4. The Poly6116 antibody has been shown to be useful for Western blotting of the human and mouse APC11 protein.

Alternate Names

anaphase promoting complex subunit 11, anaphase promoting complex subunit 11 (yeast APC11 homolog), anaphase-promoting complex subunit 11, APC11 anaphase promoting complex subunit 11 homolog, APC11Hepatocellular carcinoma-associated RING finger protein, Apc11p, Cyclosome subunit 11, HSPC214, MGC882

Gene Symbol

ANAPC11

Additional Apc11 Products

Product Documents for Apc11 Antibody - BSA Free

Certificate of Analysis

To download a Certificate of Analysis, please enter a lot number in the search box below.

Product Specific Notices for Apc11 Antibody - BSA Free

This product is for research use only and is not approved for use in humans or in clinical diagnosis. Primary Antibodies are guaranteed for 1 year from date of receipt.

Loading...
Loading...
Loading...
Loading...