Skip to main content

APBB3 Antibody (OTI5G3)

Novus Biologicals, part of Bio-Techne | Catalog # NBP2-01367

Novus Biologicals, part of Bio-Techne
Catalog #
Availability
Size / Price
Qty
Loading...
NBP2-01367

Key Product Details

Species Reactivity

Human, Mouse, Rat

Applications

Flow Cytometry, Immunohistochemistry, Immunohistochemistry-Paraffin, Western Blot

Label

Unconjugated

Antibody Source

Monoclonal Mouse IgG1 Clone # OTI5G3

Concentration

0.39 mg/ml

Product Specifications

Immunogen

Full length human recombinan protein of human APBB3(NP_573419) produced in HEK293T cell.

Reactivity Notes

Please note that this antibody is reactive to Mouse and derived from the same host, Mouse. Mouse-On-Mouse blocking reagent may be needed for IHC and ICC experiments to reduce high background signal. You can find these reagents under catalog numbers PK-2200-NB and MP-2400-NB. Please contact Technical Support if you have any questions.

Clonality

Monoclonal

Host

Mouse

Isotype

IgG1

Theoretical MW

52.4 kDa.
Disclaimer note: The observed molecular weight of the protein may vary from the listed predicted molecular weight due to post translational modifications, post translation cleavages, relative charges, and other experimental factors.

Description

Novus Biologicals Mouse APBB3 Antibody (OTI5G3) (NBP2-01367) is a monoclonal antibody validated for use in IHC, WB and Flow. All Novus Biologicals antibodies are covered by our 100% guarantee.

Scientific Data Images for APBB3 Antibody (OTI5G3)

Western Blot: APBB3 Antibody (OTI5G3) [NBP2-01367]

Western Blot: APBB3 Antibody (OTI5G3) [NBP2-01367]

Western Blot: APBB3 Antibody (5G3) [NBP2-01367] - HEK293T cells were transfected with the pCMV6-ENTRY control (Left lane) or pCMV6-ENTRY APBB3 (Right lane) cDNA for 48 hrs and lysed. Equivalent amounts of cell lysates (5 ug per lane) were separated by SDS-PAGE and immunoblotted with anti-APBB3.
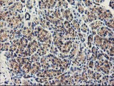
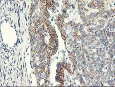
Immunohistochemistry-Paraffin: APBB3 Antibody (5G3) [NBP2-01367] Staining of paraffin-embedded Human prostate tissue using anti-APBB3 mouse monoclonal antibody.
Flow Cytometry: APBB3 Antibody (OTI5G3) [NBP2-01367]

Flow Cytometry: APBB3 Antibody (OTI5G3) [NBP2-01367]

Flow Cytometry: APBB3 Antibody (5G3) [NBP2-01367] - HEK293T cells transfected with either overexpression plasmid (Red) or empty vector control plasmid (Blue) were immunostained by anti-APBB3 antibody, and then analyzed by flow cytometry.

Applications for APBB3 Antibody (OTI5G3)

Application
Recommended Usage

Flow Cytometry

1:100

Immunohistochemistry

1:150

Immunohistochemistry-Paraffin

1:150

Western Blot

1:500

Formulation, Preparation, and Storage

Purification

Immunogen affinity purified

Formulation

PBS (pH 7.3), 1.0% BSA and 50% Glycerol

Preservative

0.02% Sodium Azide

Concentration

0.39 mg/ml

Shipping

The product is shipped with polar packs. Upon receipt, store it immediately at the temperature recommended below.

Stability & Storage

Store at -20C. Avoid freeze-thaw cycles.

Background: APBB3

The protein encoded by this gene is a member of the APBB protein family. It is found in the cytoplasm and binds to the intracellular domain of the Alzheimer's disease beta-amyloid precursor protein (APP) as well as to other APP-like proteins. It is thought that the protein encoded by this gene may modulate the internalization of APP. Multiple transcript variants encoding several different isoforms have been found for this gene. [provided by RefSeq].

Alternate Names

amyloid beta (A4) precursor protein-binding, family B, member 3, amyloid precursor interacting protein, Fe65L2, FE65L2amyloid beta A4 precursor protein-binding family B member 3, FE65-like protein 2, MGC150555, MGC87674, Protein Fe65-like 2, SRA

Entrez Gene IDs

10307 (Human)

Gene Symbol

APBB3

Additional APBB3 Products

Product Documents for APBB3 Antibody (OTI5G3)

Certificate of Analysis

To download a Certificate of Analysis, please enter a lot number in the search box below.

Product Specific Notices for APBB3 Antibody (OTI5G3)

This product is for research use only and is not approved for use in humans or in clinical diagnosis. Primary Antibodies are guaranteed for 1 year from date of receipt.

Loading...
Loading...
Loading...
Loading...
Loading...