Skip to main content

AP3S1 Antibody - BSA Free

Novus Biologicals, part of Bio-Techne | Catalog # NBP1-76588

Novus Biologicals, part of Bio-Techne
Catalog #
Availability
Size / Price
Qty
Loading...
NBP1-76588
NBP1-76588-0.025mg
Conjugate
Catalog #

Key Product Details

Species Reactivity

Validated:

Human, Mouse, Rat

Predicted:

Bovine (100%). Backed by our 100% Guarantee.

Applications

Immunohistochemistry, Immunohistochemistry-Paraffin, Western Blot, ELISA, Immunocytochemistry/ Immunofluorescence

Label

Unconjugated

Antibody Source

Polyclonal Rabbit IgG

Format

BSA Free

Concentration

1 mg/ml

Product Specifications

Immunogen

Antibody was raised against a 19 amino acid synthetic peptide near the center of human AP3S1. The immunogen is located within the first 50 amino acids of AP3S1. Amino Acid Squence: NHGKPRLSKFYQPYSEDTQ

Specificity

At least three isoforms of AP3S1 are known to exist; this antibody will detect the two larger isoforms. AP3S1 antibody is predicted to not cross-react with other AP3 protein family members.

Clonality

Polyclonal

Host

Rabbit

Isotype

IgG

Scientific Data Images for AP3S1 Antibody - BSA Free

Western Blot: AP3S1 AntibodyBSA Free [NBP1-76588]

Western Blot: AP3S1 AntibodyBSA Free [NBP1-76588]

Western Blot: AP3S1 Antibody [NBP1-76588] - analysis of AP3S1 in mouse kidney tissue lysate with AP3S1 antibody at (A) 1 and (B) 2 ug/mL .
AP3S1 Antibody - BSA Free

Immunocytochemistry/ Immunofluorescence: AP3S1 Antibody - BSA Free [NBP1-76588] -

Immunocytochemistry/ Immunofluorescence: AP3S1 Antibody - BSA Free [NBP1-76588] - Immunofluorescence of AP3S1 in human kidney tissue with AP3S1 antibody at 20 ug/mL.
AP3S1 Antibody - BSA Free

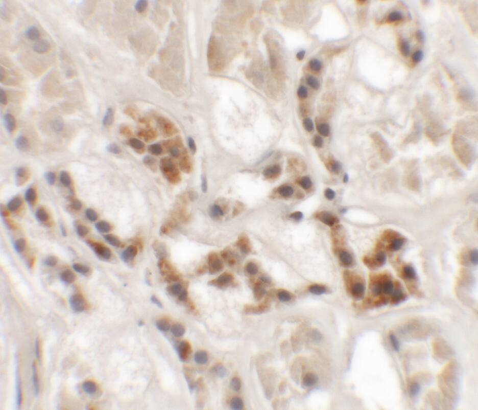
Immunohistochemistry: AP3S1 Antibody - BSA Free [NBP1-76588] -

Immunohistochemistry: AP3S1 Antibody - BSA Free [NBP1-76588] - Immunohistochemistry of AP3S1 in human kidney tissue with AP3S1 antibody at 2.5 ug/mL.

Applications for AP3S1 Antibody - BSA Free

Application
Recommended Usage

ELISA

1:100-1:2000

Immunocytochemistry/ Immunofluorescence

20 ug/ml

Immunohistochemistry

2.5 ug/ml

Immunohistochemistry-Paraffin

2.5 ug/ml

Western Blot

1-2 ug/ml

Formulation, Preparation, and Storage

Purification

Peptide affinity purified

Formulation

PBS

Format

BSA Free

Preservative

0.02% Sodium Azide

Concentration

1 mg/ml

Shipping

The product is shipped with polar packs. Upon receipt, store it immediately at the temperature recommended below.

Stability & Storage

Store at 4C short term. Aliquot and store at -20C long term. Avoid freeze-thaw cycles.

Background: AP3S1

AP3S1 belongs to the adaptor complexes 3 (AP3) small subunit family which is not clathrin-associated. The complex is associated with the Golgi region as well as more peripheral structures. It facilitates the budding of vesicles from the Golgi membrane and may be directly involved in trafficking to lysosomes. AP3 is an heterotetramer composed of two large adaptins (AP3D1, AP3B1 or AP3B2), a medium adaptin (AP3M1 or AP3M2) and a small adaptin (APS1 or AP3S2). AP3S1 Interacts with AGAP1 and may play an important role in carcinoma.

Alternate Names

Adapter-related protein complex 3 sigma-1 subunit, adaptor-related protein complex 3, sigma 1 subunit, AP-3 complex sigma-3A subunit, AP-3 complex subunit sigma-3A, CLAPS3AP-3 complex subunit sigma-1, Clathrin-associated/assembly/adapter protein, small 3, clathrin-associated/assembly/adaptor protein, small 3 (22kD), Sigma3A, Sigma-3A-adaptin, Sigma3A-adaptin, Sigma-adaptin 3a

Gene Symbol

AP3S1

Additional AP3S1 Products

Product Documents for AP3S1 Antibody - BSA Free

Certificate of Analysis

To download a Certificate of Analysis, please enter a lot number in the search box below.

Product Specific Notices for AP3S1 Antibody - BSA Free

This product is for research use only and is not approved for use in humans or in clinical diagnosis. Primary Antibodies are guaranteed for 1 year from date of receipt.

Loading...
Loading...
Loading...
Loading...