Skip to main content

AP3D1 Antibody

Novus Biologicals, part of Bio-Techne | Catalog # NBP2-27158

Novus Biologicals, part of Bio-Techne
Catalog #
Availability
Size / Price
Qty
Loading...
NBP2-27158
NBP2-27158SS

Key Product Details

Species Reactivity

Validated:

Human

Predicted:

Primate (100%). Backed by our 100% Guarantee.

Applications

Immunohistochemistry, Immunohistochemistry-Paraffin, Western Blot

Label

Unconjugated

Antibody Source

Polyclonal Rabbit IgG

Concentration

0.5 mg/ml

Product Specifications

Immunogen

A portion of amino acids 530-580 of human AP3 Delta was used as the immunogen for the antibody.

Reactivity Notes

The AP3 amino acid sequence used as immunogen for this antibody is 100% homologous in human, chimpanzee, orangutan, new world monkey, rhesus monkey, and 63% homologous in panda, carolina anole, opossum, and 58% homologous in taipan, zebra finch, horse, dog, pig and 53% homologous in cow, rat, mouse.

Clonality

Polyclonal

Host

Rabbit

Isotype

IgG

Description

Novus Biologicals Rabbit AP3D1 Antibody (NBP2-27158) is a polyclonal antibody validated for use in IHC and WB. All Novus Biologicals antibodies are covered by our 100% guarantee.

Scientific Data Images for AP3D1 Antibody

Western Blot: AP3D1 Antibody [NBP2-27158]

Western Blot: AP3D1 Antibody [NBP2-27158]

Western Blot: AP3D1 Antibody [NBP2-27158] - analysis using AP3 Delta antibody. HeLa lysate in the 1) absence and 2) presence of immunizing peptide, probed with AP3 Delta antibody at 2 ug/ml. goat anti-rabbit Ig HRP secondary antibody and PicoTect ECL substrate solution were used for this test.
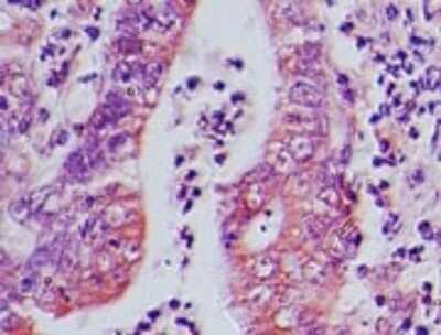
Immunohistochemistry-Paraffin: AP3D1 Antibody [NBP2-27158]

Immunohistochemistry-Paraffin: AP3D1 Antibody [NBP2-27158]

Immunohistochemistry-Paraffin: AP3D1 Antibody [NBP2-27158] - IHC of human rectum tissue probed with AP3 Delta antibody at 5 ug/ml.

Applications for AP3D1 Antibody

Application
Recommended Usage

Immunohistochemistry-Paraffin

5ug/ml

Western Blot

2-5ug/ml~

Formulation, Preparation, and Storage

Purification

Protein A purified

Formulation

PBS and 0.05% BSA

Preservative

0.05% Sodium Azide

Concentration

0.5 mg/ml

Shipping

The product is shipped with polar packs. Upon receipt, store it immediately at the temperature recommended below.

Stability & Storage

Store at 4C short term. Aliquot and store at -20C long term. Avoid freeze-thaw cycles.

Background: AP3D1

AP3 delta (AP3D1) is part of the AP3 complex, an adaptor-related complex which is not clathrin-associated. The complex is associated with the Golgi region as well as more peripheral structures. It facilitates the budding of vesicles from the Golgi membrane and may be directly involved in trafficking to lysosomes. Adaptor protein complex 3 (AP3) is a heterotetramer composed of two large adaptins (delta-type subunit AP3D1 and beta- type subunit AP3B1 or AP3B2), a medium adaptin (mu-type subunit AP3M1 or AP3M2) and a small adaptin (sigma-type subunit APS1 or AP3S2). The AP3 Delta subunit is implicated in intracellular biogenesis and trafficking of pigment granules and possibly platelet dense granules and neurotransmitter vesicles. Five isoforms of the human protein are produced by alternative splicing.

Alternate Names

Adapter-related protein complex 3 subunit delta-1, adaptin, delta, adaptor-related protein complex 3, delta 1 subunit, ADTD, AP-3 complex delta subunit, partial CDS, AP-3 complex subunit delta, AP-3 complex subunit delta-1, delta adaptin, Delta-adaptin, delta-adaptin, partial CDS, hBLVR, subunit of putative vesicle coat adaptor complex AP-3

Gene Symbol

AP3D1

Additional AP3D1 Products

Product Documents for AP3D1 Antibody

Certificate of Analysis

To download a Certificate of Analysis, please enter a lot number in the search box below.

Product Specific Notices for AP3D1 Antibody

This product is for research use only and is not approved for use in humans or in clinical diagnosis. Primary Antibodies are guaranteed for 1 year from date of receipt.

Loading...
Loading...
Loading...
Loading...