Skip to main content

ANP32A Antibody - BSA Free

Novus Biologicals, part of Bio-Techne | Catalog # NBP2-81784

Novus Biologicals, part of Bio-Techne

Key Product Details

Species Reactivity

Human, Mouse, Rat

Applications

Immunohistochemistry, Immunohistochemistry-Paraffin, Western Blot, ELISA, Immunocytochemistry/ Immunofluorescence

Label

Unconjugated

Antibody Source

Polyclonal Rabbit IgG

Format

BSA Free

Concentration

1 mg/ml

Product Specifications

Immunogen

ANP32A antibody was raised with a synthetic peptide corresponding to amino acids at carboxy terminus of human ANP32A. The immunogen is located within the last 50 amino acids of ANP32A. Amino Acid Squence: KRKREPEDEGEDDD

Reactivity Notes

Immunogen displays the following percentage of sequence identity for non-tested species: Bovine: (85%)

Clonality

Polyclonal

Host

Rabbit

Isotype

IgG

Theoretical MW

35 kDa.
Disclaimer note: The observed molecular weight of the protein may vary from the listed predicted molecular weight due to post translational modifications, post translation cleavages, relative charges, and other experimental factors.

Description

Novus Biologicals Rabbit ANP32A Antibody - BSA Free (NBP2-81784) is a polyclonal antibody validated for use in IHC, WB, ELISA and ICC/IF. All Novus Biologicals antibodies are covered by our 100% guarantee.

Scientific Data Images for ANP32A Antibody - BSA Free

Western Blot: ANP32A AntibodyBSA Free [NBP2-81784]

Western Blot: ANP32A AntibodyBSA Free [NBP2-81784]

Western Blot: ANP32A Antibody [NBP2-81784] - Western blot analysis of ANP32A expression in human Raji cell llysate with ANP32A antibody at 1 ug/mL.
ANP32A Antibody - BSA Free

Immunocytochemistry/ Immunofluorescence: ANP32A Antibody - BSA Free [NBP2-81784] -

Immunocytochemistry/ Immunofluorescence: ANP32A Antibody - BSA Free [NBP2-81784] - Immunofluorescence of ANP32A in human small intestine tissue with ANP32A antibody at 20 ug/mL.
ANP32A Antibody - BSA Free

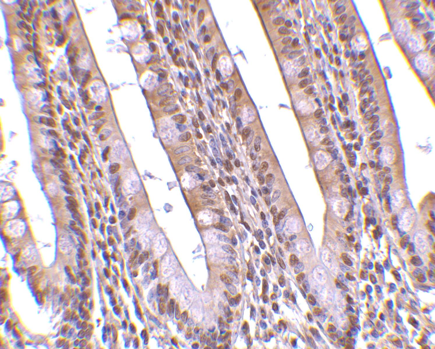
Immunohistochemistry: ANP32A Antibody - BSA Free [NBP2-81784] -

Immunohistochemistry: ANP32A Antibody - BSA Free [NBP2-81784] - Immunohistochemistry of ANP32A in human small intestine tissue with ANP32A antibody at 10 ug/mL.

Applications for ANP32A Antibody - BSA Free

Application
Recommended Usage

Immunocytochemistry/ Immunofluorescence

20 ug/ml

Immunohistochemistry

10 ug/ml

Western Blot

1 ug/ml
Application Notes
At approximately 35 kDa and 32 kDa a band can be detected in Western Blot.

Formulation, Preparation, and Storage

Purification

Ion exchange chromatography

Formulation

PBS

Format

BSA Free

Preservative

0.02% Sodium Azide

Concentration

1 mg/ml

Shipping

The product is shipped with polar packs. Upon receipt, store it immediately at the temperature recommended below.

Stability & Storage

Store at 4C short term. Aliquot and store at -20C long term. Avoid freeze-thaw cycles.

Background: ANP32A

Implicated in a number of cellular processes, including proliferation, differentiation, caspase-dependent and caspase-independent apoptosis, suppression of transformation (tumor suppressor), inhibition of protein phosphatase 2A, regulation of mRNA trafficking and stability in association with ELAVL1, and inhibition of acetyltransferases as part of the INHAT (inhibitor of histone acetyltransferases) complex. Plays a role in E4F1-mediated transcriptional repression

Alternate Names

acidic (leucine-rich) nuclear phosphoprotein 32 family, member A, acidic leucine-rich nuclear phosphoprotein 32 family member A, Acidic nuclear phosphoprotein pp32, cerebellar leucine rich acidic nuclear protein, I1PP2A, inhibitor-1 of protein phosphatase-2A, LANPPutative HLA-DR-associated protein I, Leucine-rich acidic nuclear protein, MAPMC15orf1, mapmodulin, PHAP1MGC150373, PHAPIMGC119787, Potent heat-stable protein phosphatase 2A inhibitor I1PP2A, PP32, putative human HLA class II associated protein I

Gene Symbol

ANP32A

Additional ANP32A Products

Product Documents for ANP32A Antibody - BSA Free

Certificate of Analysis

To download a Certificate of Analysis, please enter a lot number in the search box below.

Product Specific Notices for ANP32A Antibody - BSA Free

This product is for research use only and is not approved for use in humans or in clinical diagnosis. Primary Antibodies are guaranteed for 1 year from date of receipt.

Loading...
Loading...
Loading...
Loading...