Skip to main content

Annexin A3 Antibody (OTI1A5)

Novus Biologicals, part of Bio-Techne | Catalog # NBP2-03374

Novus Biologicals, part of Bio-Techne
Catalog #
Availability
Size / Price
Qty
Loading...
NBP2-03374

Key Product Details

Species Reactivity

Human, Mouse, Rat

Applications

Immunohistochemistry, Immunohistochemistry-Paraffin, Western Blot, Flow Cytometry

Label

Unconjugated

Antibody Source

Monoclonal Mouse IgG1 Clone # OTI1A5

Concentration

1 mg/ml

Product Specifications

Immunogen

Full length human recombinant protein of human ANXA3 (NP_005130) produced in HEK293T cell.

Reactivity Notes

Please note that this antibody is reactive to Mouse and derived from the same host, Mouse. Mouse-On-Mouse blocking reagent may be needed for IHC and ICC experiments to reduce high background signal. You can find these reagents under catalog numbers PK-2200-NB and MP-2400-NB. Please contact Technical Support if you have any questions.

Clonality

Monoclonal

Host

Mouse

Isotype

IgG1

Theoretical MW

36.2 kDa.
Disclaimer note: The observed molecular weight of the protein may vary from the listed predicted molecular weight due to post translational modifications, post translation cleavages, relative charges, and other experimental factors.

Description

Novus Biologicals Mouse Annexin A3 Antibody (OTI1A5) (NBP2-03374) is a monoclonal antibody validated for use in IHC, WB and Flow. All Novus Biologicals antibodies are covered by our 100% guarantee.

Scientific Data Images for Annexin A3 Antibody (OTI1A5)

Western Blot: Annexin A3 Antibody (1A5) [NBP2-03374] Analysis of extracts (35ug) from 9 different cell lines by using anti-Annexin A3 monoclonal antibody (HepG2: human; HeLa: human; SVT2: mouse; A549: human; COS7: monkey; Jurkat: human; MDCK: canine; PC12: rat; MCF7: human).
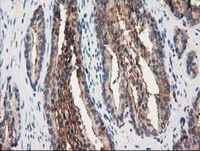
Immunohistochemistry-Paraffin: Annexin A3 Antibody (OTI1A5) [NBP2-03374]

Immunohistochemistry-Paraffin: Annexin A3 Antibody (OTI1A5) [NBP2-03374]

Immunohistochemistry-Paraffin: Annexin A3 Antibody (1A5) [NBP2-03374] - Staining of paraffin-embedded Human prostate tissue using anti-Annexin A3 mouse monoclonal antibody.
Flow Cytometry: Annexin A3 Antibody (OTI1A5) [NBP2-03374]

Flow Cytometry: Annexin A3 Antibody (OTI1A5) [NBP2-03374]

Flow Cytometry: Annexin A3 Antibody (1A5) [NBP2-03374] - HEK293T cells transfected with either overexpression plasmid (Red) or empty vector control plasmid (Blue) were immunostained by anti-Annexin A3 antibody, and then analyzed by flow cytometry.

Applications for Annexin A3 Antibody (OTI1A5)

Application
Recommended Usage

Flow Cytometry

1:100

Immunohistochemistry

1:150

Immunohistochemistry-Paraffin

1:150

Western Blot

1:500-2000

Formulation, Preparation, and Storage

Purification

Immunogen affinity purified

Formulation

PBS (pH 7.3), 1.0% BSA and 50% Glycerol

Preservative

0.02% Sodium Azide

Concentration

1 mg/ml

Shipping

The product is shipped with polar packs. Upon receipt, store it immediately at the temperature recommended below.

Stability & Storage

Store at -20C. Avoid freeze-thaw cycles.

Background: Annexin A3

This gene encodes a member of the annexin family. Members of this calcium-dependent phospholipid-binding protein family play a role in the regulation of cellular growth and in signal transduction pathways. This protein functions in the inhibition of phopholipase A2 and cleavage of inositol 1,2-cyclic phosphate to form inositol 1-phosphate. This protein may also play a role in anti-coagulation. [provided by RefSeq].

Alternate Names

ANXA3, Calcimedin 35-alpha, Lipocortin III, PAP-III

Entrez Gene IDs

306 (Human)

Gene Symbol

ANXA3

Additional Annexin A3 Products

Product Documents for Annexin A3 Antibody (OTI1A5)

Certificate of Analysis

To download a Certificate of Analysis, please enter a lot number in the search box below.

Product Specific Notices for Annexin A3 Antibody (OTI1A5)

This product is for research use only and is not approved for use in humans or in clinical diagnosis. Primary Antibodies are guaranteed for 1 year from date of receipt.

Loading...
Loading...
Loading...
Loading...
Loading...