Skip to main content

Annexin A2 Antibody - BSA Free

Novus Biologicals, part of Bio-Techne | Catalog # NBP2-62614

Novus Biologicals, part of Bio-Techne
Catalog #
Availability
Size / Price
Qty
Loading...
NBP2-62614

Key Product Details

Validated by

Orthogonal Validation, Independent Antibodies

Species Reactivity

Human

Applications

Immunohistochemistry, Immunohistochemistry-Paraffin, Western Blot

Label

Unconjugated

Antibody Source

Polyclonal Rabbit IgG

Format

BSA Free

Concentration

Concentrations vary lot to lot. See vial label for concentration. If unlisted please contact technical services.

Product Specifications

Immunogen

This antibody was developed against a recombinant protein corresponding to amino acids: MGRQLAGCGDAGKKASFKMSTVHEILCKLSLEGDHSTPPSAYGSVKAYTNFDAERDALNIETAIKTKGVDEVTIVNI

Clonality

Polyclonal

Host

Rabbit

Isotype

IgG

Description

Novus Biologicals Rabbit Annexin A2 Antibody - BSA Free (NBP2-62614) is a polyclonal antibody validated for use in IHC and WB. All Novus Biologicals antibodies are covered by our 100% guarantee.

Scientific Data Images for Annexin A2 Antibody - BSA Free

Western Blot: Annexin A2 Antibody [NBP2-62614]

Western Blot: Annexin A2 Antibody [NBP2-62614]

Western Blot: Annexin A2 Antibody [NBP2-62614] - Analysis using Anti-ANXA2 antibody NBP2-62614 (A) shows similar pattern to independent antibody NBP2-62638 (B).
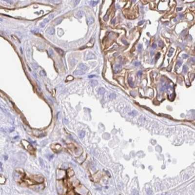
Immunohistochemistry-Paraffin: Annexin A2 Antibody [NBP2-62614]

Immunohistochemistry-Paraffin: Annexin A2 Antibody [NBP2-62614]

Immunohistochemistry-Paraffin: Annexin A2 Antibody [NBP2-62614] - Staining of human kidney.
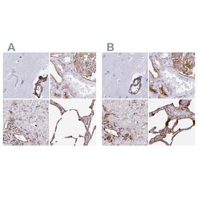
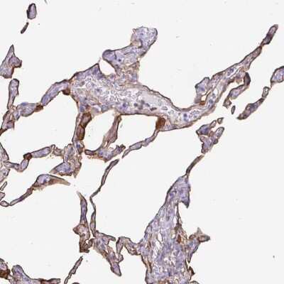
Immunohistochemistry-Paraffin: Annexin A2 Antibody [NBP2-62614]

Immunohistochemistry-Paraffin: Annexin A2 Antibody [NBP2-62614]

Immunohistochemistry-Paraffin: Annexin A2 Antibody [NBP2-62614] - Immunohistochemistry analysis in human lung and cerebral cortex tissues using Anti-ANXA2 antibody. Corresponding ANXA2 RNA-seq data are presented for the same tissues.

Applications for Annexin A2 Antibody - BSA Free

Application
Recommended Usage

Immunohistochemistry

1:50 - 1:200

Immunohistochemistry-Paraffin

1:50 - 1:200

Western Blot

0.04-0.4 ug/ml
Application Notes
For IHC-Paraffin, HIER pH 6 retrieval is recommended.

Formulation, Preparation, and Storage

Purification

Protein A purified

Formulation

PBS (pH 7.2) and 40% Glycerol

Format

BSA Free

Preservative

0.02% Sodium Azide

Concentration

Concentrations vary lot to lot. See vial label for concentration. If unlisted please contact technical services.

Shipping

The product is shipped with polar packs. Upon receipt, store it immediately at the temperature recommended below.

Stability & Storage

Store at 4C short term. Aliquot and store at -20C long term. Avoid freeze-thaw cycles.

Background: Annexin A2

The Annexins are a family of structurally similar proteins. Annexins bind to phospholipids and may be involved in regulation of membrane transport, membrane channel activity, and interaction of the cell membrane with the extracellular matrix. Annexin II is a calcium regulated, membrane binding protein whose affinity for calcium is greatly enhanced by anionic phospholipids. It binds two calcium ions with high affinity. This protein functions as an autocrine factor which heightens osteoclast formation and bone resorption. This gene has three pseudogenes located on chromosomes 4, 9 and 10, respectively. Multiple alternatively spliced transcript variants encoding different isoforms have been found for this gene.

Alternate Names

ANX2L4, ANXA2, CAL1H, LIP2, Lipocortin-2, LPC2D, PAP-IV

Gene Symbol

ANXA2

Additional Annexin A2 Products

Product Documents for Annexin A2 Antibody - BSA Free

Certificate of Analysis

To download a Certificate of Analysis, please enter a lot number in the search box below.

Product Specific Notices for Annexin A2 Antibody - BSA Free

This product is for research use only and is not approved for use in humans or in clinical diagnosis. Primary Antibodies are guaranteed for 1 year from date of receipt.

Loading...
Loading...
Loading...
Loading...