Skip to main content

Annexin A1 Antibody - BSA Free

Novus Biologicals, part of Bio-Techne | Catalog # NBP1-33684

Novus Biologicals, part of Bio-Techne
Catalog #
Availability
Size / Price
Qty
Loading...
NBP1-33684

Key Product Details

Validated by

Knockout/Knockdown, Orthogonal Validation

Species Reactivity

Validated:

Human, Mouse, Rat

Predicted:

Bovine (90%), Canine (91%), Chimpanzee (100%), Rabbit (91%). Backed by our 100% Guarantee.

Applications

Knockout Validated, Immunohistochemistry, Immunohistochemistry-Paraffin, Western Blot, Immunocytochemistry/ Immunofluorescence, Immunoprecipitation

Label

Unconjugated

Antibody Source

Polyclonal Rabbit IgG

Format

BSA Free

Concentration

Concentrations vary lot to lot. See vial label for concentration. If unlisted please contact technical services.

Product Specifications

Immunogen

Recombinant protein encompassing a sequence within the center region of human Annexin A1. The exact sequence is proprietary.

Localization

Nucleus, Cytoplasm, Cell projection, cilium, Basolateral cell membrane

Clonality

Polyclonal

Host

Rabbit

Isotype

IgG

Theoretical MW

39 kDa.
Disclaimer note: The observed molecular weight of the protein may vary from the listed predicted molecular weight due to post translational modifications, post translation cleavages, relative charges, and other experimental factors.

Scientific Data Images for Annexin A1 Antibody - BSA Free

Western Blot: Annexin A1 Antibody [NBP1-33684]

Western Blot: Annexin A1 Antibody [NBP1-33684]

Western Blot: Annexin A1 Antibody [NBP1-33684] - Various whole cell extracts (30 ug) were separated by 10% SDS-PAGE, and the membrane was blotted with Annexin A1 antibody diluted at 1:10000. HRP-conjugated anti-rabbit IgG antibody was used to detect the primary antibody.
Western Blot: Annexin A1 Antibody [NBP1-33684]

Western Blot: Annexin A1 Antibody [NBP1-33684]

Western Blot: Annexin A1 Antibody [NBP1-33684] - Non-transfected (-) and transfected (+) 293T whole cell extracts (30 ug) were separated by 10% SDS-PAGE, and the membrane was blotted with Annexin A1 antibody diluted at 1:10000. HRP-conjugated anti-rabbit IgG antibody was used to detect the primary antibody.
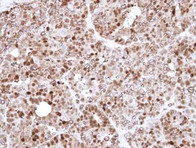
Immunohistochemistry-Paraffin: Annexin A1 Antibody [NBP1-33684]

Immunohistochemistry-Paraffin: Annexin A1 Antibody [NBP1-33684]

Immunohistochemistry-Paraffin: Annexin A1 Antibody [NBP1-33684] - Paraffin-embedded N87 Xenograft, using antibody at 1:500 dilution.

Applications for Annexin A1 Antibody - BSA Free

Application
Recommended Usage

Immunocytochemistry/ Immunofluorescence

1:100-1:1000

Immunohistochemistry

1:100-1:1000

Immunohistochemistry-Paraffin

1:100-1:1000

Immunoprecipitation

1:100-1:500

Western Blot

1:500-1:3000

Formulation, Preparation, and Storage

Purification

Antigen Affinity-purified

Formulation

PBS, 20% Glycerol

Format

BSA Free

Preservative

0.025% Proclin 300

Concentration

Concentrations vary lot to lot. See vial label for concentration. If unlisted please contact technical services.

Shipping

The product is shipped with polar packs. Upon receipt, store it immediately at the temperature recommended below.

Stability & Storage

Aliquot and store at -20C or -80C. Avoid freeze-thaw cycles.

Background: Annexin A1

Annexin I belongs to a family of Ca(2+)-dependent phospholipid binding proteins which have a molecular weight of approximately 35,000 to 40,000 and are preferentially located on the cytosolic face of the plasma membrane. Annexin I protein has an apparent relative molecular mass of 40 kDa, with phospholipase A2 inhibitory activity. Since phospholipase A2 is required for the biosynthesis of the potent mediators of inflammation, prostaglandins and leukotrienes, annexin I may have potential anti-inflammatory activity.

Alternate Names

ANX1, ANXA1, LPC1

Gene Symbol

ANXA1

Additional Annexin A1 Products

Product Documents for Annexin A1 Antibody - BSA Free

Certificate of Analysis

To download a Certificate of Analysis, please enter a lot number in the search box below.

Product Specific Notices for Annexin A1 Antibody - BSA Free

This product is for research use only and is not approved for use in humans or in clinical diagnosis. Primary Antibodies are guaranteed for 1 year from date of receipt.

Loading...
Loading...
Loading...
Loading...

⚠ WARNING: This product can expose you to chemicals including mercury, which is known to the State of California to cause reproductive toxicity with developmental effects.  For more information go to www.P65Warnings.ca.gov.