Skip to main content

ANKRD45 Antibody - BSA Free

Novus Biologicals, part of Bio-Techne | Catalog # NBP1-85421

Novus Biologicals, part of Bio-Techne
Catalog #
Availability
Size / Price
Qty
Loading...
NBP1-85421
NBP1-85421-25ul

Key Product Details

Validated by

Orthogonal Validation, Independent Antibodies

Species Reactivity

Human

Applications

Immunohistochemistry, Immunohistochemistry-Paraffin, Western Blot

Label

Unconjugated

Antibody Source

Polyclonal Rabbit IgG

Format

BSA Free

Concentration

Concentrations vary lot to lot. See vial label for concentration. If unlisted please contact technical services.

Product Specifications

Immunogen

This antibody was developed against Recombinant Protein corresponding to amino acids: KEDKNTILSACRAKNEWLETHTEASINELFEQRQQLEDIVTPIFTKMTTPCQVKSAKSVTSHDQKRSQDDTSN

Clonality

Polyclonal

Host

Rabbit

Isotype

IgG

Scientific Data Images for ANKRD45 Antibody - BSA Free

Western Blot: ANKRD45 Antibody [NBP1-85421]

Western Blot: ANKRD45 Antibody [NBP1-85421]

Western Blot: ANKRD45 Antibody [NBP1-85421] - Analysis in control (vector only transfected HEK293T lysate) and ANKRD45 over-expression lysate (Co-expressed with a C-terminal myc-DDK tag (3.1 kDa) in mammalian HEK293T cells).
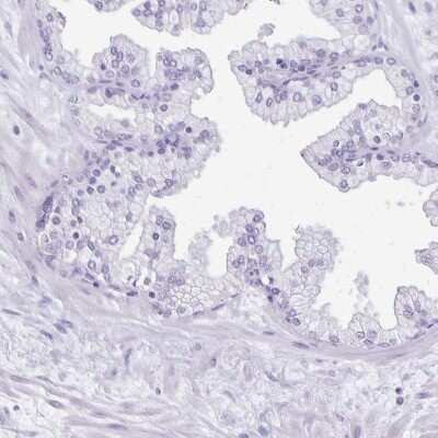
Immunohistochemistry-Paraffin: ANKRD45 Antibody [NBP1-85421]

Immunohistochemistry-Paraffin: ANKRD45 Antibody [NBP1-85421]

Immunohistochemistry-Paraffin: ANKRD45 Antibody [NBP1-85421] - Staining of human liver.
Western Blot: ANKRD45 Antibody [NBP1-85421]

Western Blot: ANKRD45 Antibody [NBP1-85421]

Western Blot: ANKRD45 Antibody [NBP1-85421] - Lane 1: Marker [kDa] 250, 130, 95, 72, 55, 36, 28, 17, 10. Lane 2: Negative control (vector only transfected HEK293T lysate). Lane 3: Over-expression lysate (Co-expressed with a C-terminal myc-DDK tag (3.1 kDa) in mammalian HEK293T cells).

Applications for ANKRD45 Antibody - BSA Free

Application
Recommended Usage

Immunohistochemistry

1:500 - 1:1000

Immunohistochemistry-Paraffin

1:500 - 1:1000

Western Blot

0.04-0.4 ug/ml
Application Notes
For IHC-Paraffin, HIER pH 6 retrieval is recommended.

Formulation, Preparation, and Storage

Purification

Affinity purified

Formulation

PBS (pH 7.2) and 40% Glycerol

Format

BSA Free

Preservative

0.02% Sodium Azide

Concentration

Concentrations vary lot to lot. See vial label for concentration. If unlisted please contact technical services.

Shipping

The product is shipped with polar packs. Upon receipt, store it immediately at the temperature recommended below.

Stability & Storage

Store at 4C short term. Aliquot and store at -20C long term. Avoid freeze-thaw cycles.

Background: ANKRD45

Alternate Names

ankyrin repeat domain 45, ankyrin repeat domain-containing protein 45, cancer/testis antigen 117, CT117, FLJ45235, MGC161631, MGC161633, RP3-436N22.4

Entrez Gene IDs

339416 (Human)

Gene Symbol

ANKRD45

UniProt

Additional ANKRD45 Products

Product Documents for ANKRD45 Antibody - BSA Free

Certificate of Analysis

To download a Certificate of Analysis, please enter a lot number in the search box below.

Product Specific Notices for ANKRD45 Antibody - BSA Free

This product is for research use only and is not approved for use in humans or in clinical diagnosis. Primary Antibodies are guaranteed for 1 year from date of receipt.

Loading...
Loading...
Loading...
Loading...