Skip to main content

AMPK gamma 1 Antibody - BSA Free

Novus Biologicals, part of Bio-Techne | Catalog # NBP3-38409

Novus Biologicals, part of Bio-Techne
Catalog #
Availability
Size / Price
Qty
Loading...
NBP3-38409-20ul
NBP3-38409-100ul

Key Product Details

Species Reactivity

Human, Mouse, Rat

Applications

Immunohistochemistry, Immunohistochemistry-Paraffin, Western Blot, ELISA, Immunocytochemistry/ Immunofluorescence

Label

Unconjugated

Antibody Source

Polyclonal Rabbit IgG

Format

BSA Free

Concentration

Please see the vial label for concentration. If unlisted please contact technical services.

Product Specifications

Immunogen

Recombinant fusion protein containing a sequence corresponding to amino acids 1-331 of human AMPK gamma 1 (NP_002724.1).

Sequence:
METVISSDSSPAVENEHPQETPESNNSVYTSFMKSHRCYDLIPTSSKLVVFDTSLQVKKAFFALVTNGVRAAPLWDSKKQSFVGMLTITDFINILHRYYKSALVQIYELEEHKIETWREVYLQDSFKPLVCISPNASLFDAVSSLIRNKIHRLPVIDPESGNTLYILTHKRILKFLKLFITEFPKPEFMSKSLEELQIGTYANIAMVRTTTPVYVALGIFVQHRVSALPVVDEKGRVVDIYSKFDVINLAAEKTYNNLDVSVTKALQHRSHYFEGVLKCYLHETLETIINRLVEAEVHRLVVVDENDVVKGIVSLSDILQALVLTGGEKKP

Clonality

Polyclonal

Host

Rabbit

Isotype

IgG

Theoretical MW

38 kDa.
Disclaimer note: The observed molecular weight of the protein may vary from the listed predicted molecular weight due to post translational modifications, post translation cleavages, relative charges, and other experimental factors.

Description

Novus Biologicals Rabbit AMPK gamma 1 Antibody - BSA Free (NBP3-38409) is a polyclonal antibody validated for use in IHC, WB, ELISA and ICC/IF. All Novus Biologicals antibodies are covered by our 100% guarantee.

Scientific Data Images for AMPK gamma 1 Antibody - BSA Free

AMPK gamma 1 Antibody

Immunohistochemistry: AMPK gamma 1 Antibody [NBP3-38409] -

Immunohistochemistry: AMPK gamma 1 Antibody [NBP3-38409] - Immunohistochemistry analysis of paraffin-embedded Rat brain using AMPK gamma 1 Rabbit pAb at dilution of 1:100 (40x lens). Microwave antigen retrieval performed with 0.01M PBS Buffer (pH 7.2) prior to IHC staining.
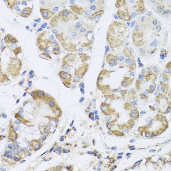
AMPK gamma 1 Antibody

Immunohistochemistry: AMPK gamma 1 Antibody [NBP3-38409] -

Immunohistochemistry: AMPK gamma 1 Antibody [NBP3-38409] - Immunohistochemistry analysis of paraffin-embedded Human stomach using AMPK gamma 1 Rabbit pAb at dilution of 1:100 (40x lens). Microwave antigen retrieval performed with 0.01M PBS Buffer (pH 7.2) prior to IHC staining.
AMPK gamma 1 Antibody

Immunocytochemistry/ Immunofluorescence: AMPK gamma 1 Antibody [NBP3-38409] -

Immunocytochemistry/ Immunofluorescence: AMPK gamma 1 Antibody [NBP3-38409] - Immunofluorescence analysis of MCF-7 cells using AMPK gamma 1 Rabbit pAb. Secondary antibody: Cy3-conjugated Goat anti-Rabbit IgG (H+L) at 1:500 dilution. Blue: DAPI for nuclear staining.

Applications for AMPK gamma 1 Antibody - BSA Free

Application
Recommended Usage

Immunocytochemistry/ Immunofluorescence

1:50 - 1:100

Immunohistochemistry-Paraffin

1:50 - 1:200

Western Blot

1:500 - 1:2000

Formulation, Preparation, and Storage

Purification

Affinity purified

Formulation

PBS (pH 7.3), 50% glycerol

Format

BSA Free

Preservative

0.02% Sodium Azide

Concentration

Please see the vial label for concentration. If unlisted please contact technical services.

Shipping

The product is shipped with polar packs. Upon receipt, store it immediately at the temperature recommended below.

Stability & Storage

Store at -20C. Avoid freeze-thaw cycles.

Background: AMPK gamma 1

The 5'-AMP-activated protein kinase (AMPK), a member of the SNF1 (sucrose non-fermentor) kinase family (1), is a heterotrimeric protein comprise of alpha (63 kDa), beta (30 kDa) and gamma (38 kDa) subunits. The alpah subunit is the catalytic subunit, while beta and gamma are non-catalytic subunits (although they have been found to interact with the active subunit in liver). AMPK regulates fatty acid and sterol synthesis by phosphorylation of acetyl-CoA as well as cholesterol synthesis via phosphorylation and inactivation of hydroxymethylglutaryl-CoA reductase (2). AMPK is activated by AMP and can be also regulated by treatment with purified protein phosphatase in vitro (3).

Long Name

AMP-activated Protein Kinase gamma 1

Alternate Names

AMPKG, AMPKG1, PRKAG1

Gene Symbol

PRKAG1

Additional AMPK gamma 1 Products

Product Documents for AMPK gamma 1 Antibody - BSA Free

Certificate of Analysis

To download a Certificate of Analysis, please enter a lot number in the search box below.

Product Specific Notices for AMPK gamma 1 Antibody - BSA Free

This product is for research use only and is not approved for use in humans or in clinical diagnosis. Primary Antibodies are guaranteed for 1 year from date of receipt.

Loading...
Loading...
Loading...
Loading...