Skip to main content

AMPK gamma 1 Antibody (7H3E9) - BSA Free

Novus Biologicals, part of Bio-Techne | Catalog # NBP2-37285

Novus Biologicals, part of Bio-Techne
Catalog #
Availability
Size / Price
Qty
Loading...
NBP2-37285-0.025ml
NBP2-37285

Key Product Details

Species Reactivity

Human

Applications

Immunohistochemistry, Immunohistochemistry-Paraffin, Western Blot, ELISA, Flow Cytometry, Immunocytochemistry/ Immunofluorescence, CyTOF-ready

Label

Unconjugated

Antibody Source

Monoclonal Mouse IgG1 Clone # 7H3E9

Format

BSA Free

Concentration

1 mg/ml

Product Specifications

Immunogen

Purified recombinant fragment of human AMPK gamma 1 (AA: 230-331) expressed in E. Coli.

Clonality

Monoclonal

Host

Mouse

Isotype

IgG1

Theoretical MW

37.6 kDa.
Disclaimer note: The observed molecular weight of the protein may vary from the listed predicted molecular weight due to post translational modifications, post translation cleavages, relative charges, and other experimental factors.

Description

Novus Biologicals Mouse AMPK gamma 1 Antibody (7H3E9) - BSA Free (NBP2-37285) is a monoclonal antibody validated for use in IHC, WB, ELISA, Flow and ICC/IF. All Novus Biologicals antibodies are covered by our 100% guarantee.

Scientific Data Images for AMPK gamma 1 Antibody (7H3E9) - BSA Free

Western Blot: AMPK gamma 1 Antibody (7H3E9)BSA Free [NBP2-37285]

Western Blot: AMPK gamma 1 Antibody (7H3E9)BSA Free [NBP2-37285]

Western Blot: AMPK gamma 1 Antibody (7H3E9) [NBP2-37285] - Western blot analysis using PRKAG1 mAb against HEK293 (1) and PRKAG1 (AA: 230-331)-hIgGFc transfected HEK293 (2) cell lysate.
Immunocytochemistry/ Immunofluorescence: AMPK gamma 1 Antibody (7H3E9) - BSA Free [NBP2-37285]

Immunocytochemistry/ Immunofluorescence: AMPK gamma 1 Antibody (7H3E9) - BSA Free [NBP2-37285]

Immunocytochemistry/Immunofluorescence: AMPK gamma 1 Antibody (7H3E9) [NBP2-37285] - Immunofluorescence analysis of HepG2 cells using PRKAG1 mouse mAb (green). Blue: DRAQ5 fluorescent DNA dye. Goat anti-Mouse IgG (H+L) DyLight 488 secondary antibody was used.
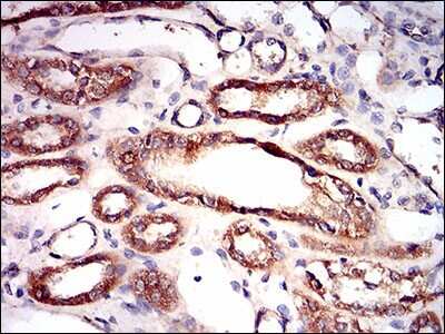
Immunohistochemistry: AMPK gamma 1 Antibody (7H3E9) - BSA Free [NBP2-37285]

Immunohistochemistry: AMPK gamma 1 Antibody (7H3E9) - BSA Free [NBP2-37285]

Immunohistochemistry: AMPK gamma 1 Antibody (7H3E9) [NBP2-37285] - Immunohistochemical analysis of paraffin-embedded kidney tissues using PRKAG1 mouse mAb with DAB staining.

Applications for AMPK gamma 1 Antibody (7H3E9) - BSA Free

Application
Recommended Usage

ELISA

1:10000

Flow Cytometry

1:200 - 1:400

Immunocytochemistry/ Immunofluorescence

1:200 - 1:1000

Immunohistochemistry

1:200 - 1:1000

Immunohistochemistry-Paraffin

1:200 - 1:1000

Western Blot

1:500 - 1:2000
Application Notes
This antibody is Cytof ready.

Formulation, Preparation, and Storage

Purification

Protein G purified

Formulation

PBS

Format

BSA Free

Preservative

0.05% Sodium Azide

Concentration

1 mg/ml

Shipping

The product is shipped with polar packs. Upon receipt, store it immediately at the temperature recommended below.

Stability & Storage

Store at 4C short term. Aliquot and store at -20C long term. Avoid freeze-thaw cycles.

Background: AMPK gamma 1

The 5'-AMP-activated protein kinase (AMPK), a member of the SNF1 (sucrose non-fermentor) kinase family (1), is a heterotrimeric protein comprise of alpha (63 kDa), beta (30 kDa) and gamma (38 kDa) subunits. The alpah subunit is the catalytic subunit, while beta and gamma are non-catalytic subunits (although they have been found to interact with the active subunit in liver). AMPK regulates fatty acid and sterol synthesis by phosphorylation of acetyl-CoA as well as cholesterol synthesis via phosphorylation and inactivation of hydroxymethylglutaryl-CoA reductase (2). AMPK is activated by AMP and can be also regulated by treatment with purified protein phosphatase in vitro (3).

Long Name

AMP-activated Protein Kinase gamma 1

Alternate Names

AMPKG, AMPKG1, PRKAG1

Gene Symbol

PRKAG1

Additional AMPK gamma 1 Products

Product Documents for AMPK gamma 1 Antibody (7H3E9) - BSA Free

Certificate of Analysis

To download a Certificate of Analysis, please enter a lot number in the search box below.

Product Specific Notices for AMPK gamma 1 Antibody (7H3E9) - BSA Free

This product is for research use only and is not approved for use in humans or in clinical diagnosis. Primary Antibodies are guaranteed for 1 year from date of receipt.

Loading...
Loading...
Loading...
Loading...
Loading...