Skip to main content

AMPK alpha 1 [p Ser496] Antibody

Novus Biologicals, part of Bio-Techne | Catalog # NB100-81784

Novus Biologicals, part of Bio-Techne
Catalog #
Availability
Size / Price
Qty
Loading...
NB100-81784-0.025ml
NB100-81784

Key Product Details

Species Reactivity

Human, Mouse, Rat

Applications

Immunohistochemistry, Immunohistochemistry-Paraffin, Western Blot, Immunocytochemistry/ Immunofluorescence

Label

Unconjugated

Antibody Source

Polyclonal Rabbit IgG

Concentration

1.0 mg/ml

Product Specifications

Immunogen

The antiserum was produced against synthesized phosphopeptide derived from human AMPK alpha 1 around the phosphorylation site of serine 496 (S-G- SP-V-S).

Reactivity Notes

Mouse reactivity reported from a verified customer review.

Modification

p Ser496

Specificity

Detects endogenous levels of AMPK alpha 1 only when phosphorylated at serine 496

Clonality

Polyclonal

Host

Rabbit

Isotype

IgG

Theoretical MW

62 kDa.
Disclaimer note: The observed molecular weight of the protein may vary from the listed predicted molecular weight due to post translational modifications, post translation cleavages, relative charges, and other experimental factors.

Scientific Data Images for AMPK alpha 1 [p Ser496] Antibody

Western Blot: AMPK alpha 1 [p Ser496] Antibody [NB100-81784]

Western Blot: AMPK alpha 1 [p Ser496] Antibody [NB100-81784]

Western Blot: AMPK alpha 1 [p Ser496] Antibody [NB100-81784] - Immunoblot analysis of total cell extracts from MIN6 cells grown in the medium containing indicated glucose using AMPK alpha 1 (Phospho-Ser496) Antibody. This image was submitted via customer review.
AMPK alpha 1 [p Ser496] Antibody

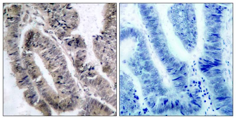
Immunohistochemistry-Paraffin: AMPK alpha 1 [p Ser496] Antibody [NB100-81784] -

Immunohistochemistry-Paraffin: AMPK alpha 1 [p Ser496] Antibody [NB100-81784] - Paraffin-embedded human colon carcinoma tissue using NB100-81784 or the same antibody preincubated with blocking peptide (right).
AMPK alpha 1 [p Ser496] Antibody

Western Blot: AMPK alpha 1 [p Ser496] Antibody [NB100-81784] -

Western Blot: AMPK alpha 1 [p Ser496] Antibody [NB100-81784] - analysis of extracts from C6 cells, treated with EGF or calf intestinal phosphatase (CIP), using NB100-81784.

Applications for AMPK alpha 1 [p Ser496] Antibody

Application
Recommended Usage

Immunocytochemistry/ Immunofluorescence

1:50-200

Immunohistochemistry

1:100-1:300

Immunohistochemistry-Paraffin

1:50-1:100

Western Blot

1:500-1:2000

Reviewed Applications

Read 1 review rated 5 using NB100-81784 in the following applications:

Formulation, Preparation, and Storage

Purification

Immunogen affinity purified

Formulation

PBS, 50% glycerol, 0.5% BSA

Preservative

0.02% Sodium Azide

Concentration

1.0 mg/ml

Shipping

The product is shipped with polar packs. Upon receipt, store it immediately at the temperature recommended below.

Stability & Storage

Store at 4C short term. Aliquot and store at -20C long term. Avoid freeze-thaw cycles.

Background: AMPK alpha 1

AMP-activated protein kinase (AMPK) is a metabolic and stress-sensing kinase that regulates homeostatis, and a key target for treating Type 2 diabetes and obesity. AMPK exists as a heterotrimeric complex comprised of catalytic alpha subunits (62 kDa) and non-catalytic beta and gamma subunits. Alpha subunit has at least two isoforms (alpha 1 and alpha 2) which differ in their subcellular localization and AMP-dependence. AMPK is phosphorylated by upstream kinases, AMPK Kinase (AMPKK) and LKB1 which results in its activation. Active AMPK regulates metabolism by phosphorylating rate-limiting enzymes in metabolic pathways and controlling gene expression. Phosphorylation of threonine 172 in the activation loop of the alpha subunit is a key determinant of AMPK activity.

Long Name

AMP-activated Protein Kinase alpha 1

Alternate Names

PRKAA1

Entrez Gene IDs

5562 (Human); 105787 (Mouse); 65248 (Rat)

Gene Symbol

PRKAA1

Additional AMPK alpha 1 Products

Product Documents for AMPK alpha 1 [p Ser496] Antibody

Certificate of Analysis

To download a Certificate of Analysis, please enter a lot number in the search box below.

Product Specific Notices for AMPK alpha 1 [p Ser496] Antibody

This product is for research use only and is not approved for use in humans or in clinical diagnosis. Primary Antibodies are guaranteed for 1 year from date of receipt.

Loading...
Loading...
Loading...
Loading...