Skip to main content

Amnionless/AMN Antibody - BSA Free

Novus Biologicals, part of Bio-Techne | Catalog # NBP1-91203

Novus Biologicals, part of Bio-Techne
Catalog #
Availability
Size / Price
Qty
Loading...
NBP1-91203-25ul
NBP1-91203

Key Product Details

Species Reactivity

Validated:

Human, Rat

Cited:

Rat

Applications

Validated:

Immunohistochemistry, Immunohistochemistry-Paraffin, Sandwich ELISA

Cited:

ELISA

Label

Unconjugated

Antibody Source

Polyclonal Rabbit IgG

Format

BSA Free

Concentration

Concentrations vary lot to lot. See vial label for concentration. If unlisted please contact technical services.

Product Specifications

Immunogen

This antibody was developed against Recombinant Protein corresponding to amino acids: VSKLWVPNTDFDVAANWSQNRTPCAGGAVEFPADKMVSVLVQEGHAVSDMLLPLDGELVLASGAGFGVSDVGSHLDCGAGEPAVFRDSDRFSWHDPHLWRSGDEAPGLFFVDAERVPCRHDDVFFPPSASFRVGLGPGASPVRVRSISAL

Reactivity Notes

Rat reactivity reported in scientific literature (PMID: 29159972).

Clonality

Polyclonal

Host

Rabbit

Isotype

IgG

Scientific Data Images for Amnionless/AMN Antibody - BSA Free

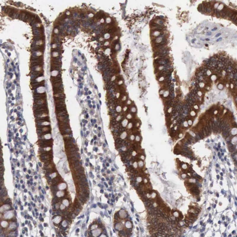
Amnionless/AMN Antibody - BSA Free Immunohistochemistry: Amnionless/AMN Antibody - BSA Free [NBP1-91203]

Immunohistochemistry: Amnionless/AMN Antibody - BSA Free [NBP1-91203]

Staining of human small intestine shows strong cytoplasmic positivity in glandular cells.

Applications for Amnionless/AMN Antibody - BSA Free

Application
Recommended Usage

Immunohistochemistry

1:500 - 1:1000

Immunohistochemistry-Paraffin

1:500 - 1:1000

Sandwich ELISA

Reported in scientific literature (PMID: 29159972)
Application Notes
For IHC-Paraffin, HIER pH 6 retrieval is recommended.

Formulation, Preparation, and Storage

Purification

Affinity purified

Formulation

PBS (pH 7.2) and 40% Glycerol

Format

BSA Free

Preservative

0.02% Sodium Azide

Concentration

Concentrations vary lot to lot. See vial label for concentration. If unlisted please contact technical services.

Shipping

The product is shipped with polar packs. Upon receipt, store it immediately at the temperature recommended below.

Stability & Storage

Store at 4C short term. Aliquot and store at -20C long term. Avoid freeze-thaw cycles.

Background: Amnionless

AMN is type I transmembrane protein that is required for surface expression of the extracellular membrane-associated protein, cubilin. The two form a complex termed CUBAM in which AMN mediates endocytosis of compounds bound by cubulin. AMN is required for embryonic primitive streak formation in the mouse, and is highly expressed on adult polarized epithelia in the small intestine and kidney proximal convoluted tubules. Mutations of AMN or cubilin cause Imersund-Grasbeck syndrome, also called megaloblastic anemia-1, characterized by malabsorption of cobalamin (vitamin B12).

Alternate Names

AMN

Entrez Gene IDs

81693 (Human)

Gene Symbol

AMN

UniProt

Additional Amnionless Products

Product Documents for Amnionless/AMN Antibody - BSA Free

Certificate of Analysis

To download a Certificate of Analysis, please enter a lot number in the search box below.

Product Specific Notices for Amnionless/AMN Antibody - BSA Free

This product is for research use only and is not approved for use in humans or in clinical diagnosis. Primary Antibodies are guaranteed for 1 year from date of receipt.

Loading...
Loading...
Loading...
Loading...