Skip to main content

Aminopeptidase LRAP/ERAP2 Antibody - BSA Free

Novus Biologicals, part of Bio-Techne | Catalog # NBP2-37872

Novus Biologicals, part of Bio-Techne
Catalog #
Availability
Size / Price
Qty
Loading...
NBP2-37872
NBP2-37872-25ul

Key Product Details

Species Reactivity

Human

Applications

Immunohistochemistry, Immunohistochemistry-Paraffin, Western Blot

Label

Unconjugated

Antibody Source

Polyclonal Rabbit IgG

Format

BSA Free

Concentration

Concentrations vary lot to lot. See vial label for concentration. If unlisted please contact technical services.

Product Specifications

Immunogen

This antibody was developed against a recombinant protein corresponding to amino acids: RVGLIHDVFQLVGAGRLTLDKALDMTYYLQHETSSPALLEGLSYLESFYHMMDRRNISDISENLKRYLLQYFKPVID

Clonality

Polyclonal

Host

Rabbit

Isotype

IgG

Description

Novus Biologicals Rabbit Aminopeptidase LRAP/ERAP2 Antibody - BSA Free (NBP2-37872) is a polyclonal antibody validated for use in IHC and WB. All Novus Biologicals antibodies are covered by our 100% guarantee.

Scientific Data Images for Aminopeptidase LRAP/ERAP2 Antibody - BSA Free

Western Blot: Aminopeptidase LRAP/ERAP2 Antibody [NBP2-37872]

Western Blot: Aminopeptidase LRAP/ERAP2 Antibody [NBP2-37872]

Western Blot: Aminopeptidase LRAP/ERAP2 Antibody [NBP2-37872] - Lane 1: Marker [kDa] 250, 130, 95, 72, 55, 36, 28, 17, 10. Lane 2: Human cell line RT-4
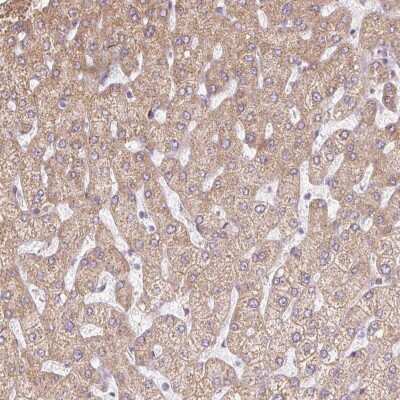
Immunohistochemistry: Aminopeptidase LRAP/ERAP2 Antibody [NBP2-37872]

Immunohistochemistry: Aminopeptidase LRAP/ERAP2 Antibody [NBP2-37872]

Immunohistochemistry: Aminopeptidase LRAP/ERAP2 Antibody [NBP2-37872] - Staining of human liver shows moderate cytoplasmic positivity in hepatocytes.

Applications for Aminopeptidase LRAP/ERAP2 Antibody - BSA Free

Application
Recommended Usage

Immunohistochemistry

1:1000 - 1:2500

Immunohistochemistry-Paraffin

1:1000 - 1:2500

Western Blot

0.04-0.4 ug/ml
Application Notes
For IHC-Paraffin, HIER pH 6 retrieval is recommended.

Formulation, Preparation, and Storage

Purification

Affinity purified

Formulation

PBS (pH 7.2) and 40% Glycerol

Format

BSA Free

Preservative

0.02% Sodium Azide

Concentration

Concentrations vary lot to lot. See vial label for concentration. If unlisted please contact technical services.

Shipping

The product is shipped with polar packs. Upon receipt, store it immediately at the temperature recommended below.

Stability & Storage

Store at 4C short term. Aliquot and store at -20C long term. Avoid freeze-thaw cycles.

Background: Aminopeptidase LRAP/ERAP2

Aminopeptidases hydrolyze N-terminal amino acids of proteins or peptide substrates. Major histocompatibility complex (MHC) class I molecules rely on aminopeptidases such as ERAP1 (MIM 606832) and LRAP to trim precursors to antigenic peptides in the endoplasmic reticulum (ER) following cleavage in the cytoplasm by tripeptidyl peptidase II (TPP2; MIM 190470) (Tanioka et al., 2003 [PubMed 12799365]).

Long Name

Leukocyte-derived Arginine Aminopeptidase

Alternate Names

ERAP2

Gene Symbol

ERAP2

UniProt

Additional Aminopeptidase LRAP/ERAP2 Products

Product Documents for Aminopeptidase LRAP/ERAP2 Antibody - BSA Free

Certificate of Analysis

To download a Certificate of Analysis, please enter a lot number in the search box below.

Product Specific Notices for Aminopeptidase LRAP/ERAP2 Antibody - BSA Free

This product is for research use only and is not approved for use in humans or in clinical diagnosis. Primary Antibodies are guaranteed for 1 year from date of receipt.

Loading...
Loading...
Loading...
Loading...