Skip to main content

AMID Antibody - BSA Free

Novus Biologicals, part of Bio-Techne | Catalog # NBP3-18133

Novus Biologicals, part of Bio-Techne

Key Product Details

Species Reactivity

Validated:

Human, Mouse, Rat

Predicted:

Bovine (100%), Chimpanzee (100%), Equine (93%). Backed by our 100% Guarantee.

Applications

Immunohistochemistry, Immunohistochemistry-Paraffin, Western Blot, ELISA, Immunocytochemistry/ Immunofluorescence

Label

Unconjugated

Antibody Source

Polyclonal Rabbit IgG

Format

BSA Free

Concentration

1 mg/ml

Product Specifications

Immunogen

Antibody was raised against a peptide corresponding to 14 amino acids near the center of human AMID. The immunogen is located within 130-180 amino acids of AMID.

Clonality

Polyclonal

Host

Rabbit

Isotype

IgG

Description

Novus Biologicals Rabbit AMID Antibody - BSA Free (NBP3-18133) is a polyclonal antibody validated for use in IHC, WB, ELISA and ICC/IF. All Novus Biologicals antibodies are covered by our 100% guarantee.

Scientific Data Images for AMID Antibody - BSA Free

Western Blot: AMID AntibodyBSA Free [NBP3-18133]

Western Blot: AMID AntibodyBSA Free [NBP3-18133]

Western Blot: AMID Antibody - BSA Free [NBP3-18133] - WB Validation in Mouse Skeletal Muscle. Loading: 15 ug of lysate. Antibodies: AMID NBP3-18133, 2 ug/mL, 1h incubation at RT in 5% NFDM/TBST. Secondary: Goat Anti-Rabbit IgG HRP conjuate at 1:10,000 dilution.
Immunocytochemistry/ Immunofluorescence: AMID Antibody - BSA Free [NBP3-18133]

Immunocytochemistry/ Immunofluorescence: AMID Antibody - BSA Free [NBP3-18133]

Immunocytochemistry/Immunofluorescence: AMID Antibody - BSA Free [NBP3-18133] - Immunofluorescent analysis of 4% paraformaldehyde-fixed HeLa cells labeling AMID with NBP3-18133 at 20 ug/mL, followed by goat anti-rabbit IgG secondary antibody at 1/500 dilution (green) and DAPI staining (blue).
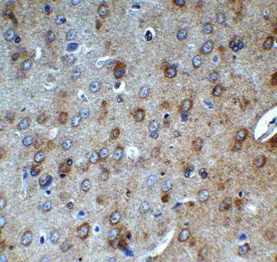
Immunohistochemistry-Paraffin: AMID Antibody - BSA Free [NBP3-18133]

Immunohistochemistry-Paraffin: AMID Antibody - BSA Free [NBP3-18133]

Immunohistochemistry-Paraffin: AMID Antibody - BSA Free [NBP3-18133] - Immunohistochemical analysis of paraffin-embedded mouse brain tissue using anti-AMID antibody (NBP3-18133) at 1 ug/mL. Tissue was fixed with formaldehyde and blocked with 10% serum for 1 h at RT; antigen retrieval was by heat mediation with a citrate buffer (pH6). Samples were incubated with primary antibody overnight at 4C. A goat anti-rabbit IgG H&L (HRP) at 1/250 was used as secondary. Counter stained with Hematoxylin.

Applications for AMID Antibody - BSA Free

Application
Recommended Usage

Immunocytochemistry/ Immunofluorescence

20 ug/mL

Immunohistochemistry

1 ug/ml

Western Blot

2 ug/mL

Formulation, Preparation, and Storage

Purification

Peptide affinity purified

Formulation

PBS

Format

BSA Free

Preservative

0.02% Sodium Azide

Concentration

1 mg/ml

Shipping

The product is shipped with polar packs. Upon receipt, store it immediately at the temperature recommended below.

Stability & Storage

Store at 4C short term. Aliquot and store at -20C long term. Avoid freeze-thaw cycles.

Background: AMID

AMID is encoded by this gene has significant homology to NADH oxidoreductases and the apoptosis-inducing factor PDCD8/AIF. Overexpression of this gene has been shown to induce apoptosis. The expression of this gene is found to be induced by tumor suppressor protein p53 in colon caner cells. [provided by RefSeq]

Alternate Names

AMID, apoptosis-inducing factor (AIF)-like mitochondrion-associated inducer of death, apoptosis-inducing factor 2, Apoptosis-inducing factor homologous mitochondrion-associated inducer of death, apoptosis-inducing factor, mitochondrion-associated, 2, Apoptosis-inducing factor-like mitochondrion-associated inducer of death, DKFZp686L1298, FLJ14497, p53-responsive gene 3 protein, PRG3apoptosis-inducing factor (AIF)-homologous mitochondrion-associated inducer ofdeath, RP11-367H5.2

Gene Symbol

AIFM2

Additional AMID Products

Product Documents for AMID Antibody - BSA Free

Certificate of Analysis

To download a Certificate of Analysis, please enter a lot number in the search box below.

Product Specific Notices for AMID Antibody - BSA Free

This product is for research use only and is not approved for use in humans or in clinical diagnosis. Primary Antibodies are guaranteed for 1 year from date of receipt.

Loading...
Loading...
Loading...
Loading...