Skip to main content

AMDHD2 Antibody - BSA Free

Novus Biologicals, part of Bio-Techne | Catalog # NBP1-84515

Novus Biologicals, part of Bio-Techne
Catalog #
Availability
Size / Price
Qty
Loading...
NBP1-84515-25ul
NBP1-84515

Key Product Details

Validated by

Independent Antibodies

Species Reactivity

Human

Applications

Immunohistochemistry, Immunohistochemistry-Paraffin, Western Blot

Label

Unconjugated

Antibody Source

Polyclonal Rabbit IgG

Format

BSA Free

Concentration

Concentrations vary lot to lot. See vial label for concentration. If unlisted please contact technical services.

Product Specifications

Immunogen

This antibody was developed against Recombinant Protein corresponding to amino acids: PTLVTSPPEVYHKVVPQIPVKSGGPHGAGVLGLHLEGPFISREKRGAHPEAHLRSFEADAFQDLLATYGPLDNVRIVTLAPELGRSHEVIRALTARGICVSLGHSVADLRAAEDAVWSG

Reactivity Notes

Immunogen displays the following percentage of sequence identity for non-tested species: Mouse (89%), Rat (88%)

Clonality

Polyclonal

Host

Rabbit

Isotype

IgG

Description

Novus Biologicals Rabbit AMDHD2 Antibody - BSA Free (NBP1-84515) is a polyclonal antibody validated for use in IHC and WB. All Novus Biologicals antibodies are covered by our 100% guarantee.

Scientific Data Images for AMDHD2 Antibody - BSA Free

Immunohistochemistry-Paraffin: AMDHD2 Antibody [NBP1-84515]

Immunohistochemistry-Paraffin: AMDHD2 Antibody [NBP1-84515]

Immunohistochemistry-Paraffin: AMDHD2 Antibody [NBP1-84515] - Staining of human adrenal gland, cerebral cortex, kidney and testis using Anti-AMDHD2 antibody NBP1-84515 (A) shows similar protein distribution across tissues to independent antibody NBP1-84516 (B).
Immunohistochemistry-Paraffin: AMDHD2 Antibody [NBP1-84515]

Immunohistochemistry-Paraffin: AMDHD2 Antibody [NBP1-84515]

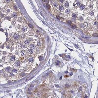
Immunohistochemistry-Paraffin: AMDHD2 Antibody [NBP1-84515] - Staining of human testis.
Immunohistochemistry-Paraffin: AMDHD2 Antibody [NBP1-84515]

Immunohistochemistry-Paraffin: AMDHD2 Antibody [NBP1-84515]

Immunohistochemistry-Paraffin: AMDHD2 Antibody [NBP1-84515] - Staining of human adrenal gland.

Applications for AMDHD2 Antibody - BSA Free

Application
Recommended Usage

Immunohistochemistry

1:50 - 1:200

Immunohistochemistry-Paraffin

1:50 - 1:200

Western Blot

0.04-0.4 ug/ml
Application Notes
For IHC-Paraffin, HIER pH 6 retrieval is recommended.

Formulation, Preparation, and Storage

Purification

Affinity purified

Formulation

PBS (pH 7.2) and 40% Glycerol

Format

BSA Free

Preservative

0.02% Sodium Azide

Concentration

Concentrations vary lot to lot. See vial label for concentration. If unlisted please contact technical services.

Shipping

The product is shipped with polar packs. Upon receipt, store it immediately at the temperature recommended below.

Stability & Storage

Store at 4C short term. Aliquot and store at -20C long term. Avoid freeze-thaw cycles.

Background: AMDHD2

Alternate Names

amidohydrolase domain containing 2, Amidohydrolase domain-containing protein 2, CGI-14, EC 3.5.1.25, GlcNAc 6-P deacetylase, putative N-acetylglucosamine-6-phosphate deacetylase

Entrez Gene IDs

51005 (Human)

Gene Symbol

AMDHD2

UniProt

Additional AMDHD2 Products

Product Documents for AMDHD2 Antibody - BSA Free

Certificate of Analysis

To download a Certificate of Analysis, please enter a lot number in the search box below.

Product Specific Notices for AMDHD2 Antibody - BSA Free

This product is for research use only and is not approved for use in humans or in clinical diagnosis. Primary Antibodies are guaranteed for 1 year from date of receipt.

Loading...
Loading...
Loading...
Loading...