Skip to main content

AMCase/CHIA Antibody - BSA Free

Novus Biologicals, part of Bio-Techne | Catalog # NBP2-32440

Novus Biologicals, part of Bio-Techne
Catalog #
Availability
Size / Price
Qty
Loading...
NBP2-32440
NBP2-32440-25ul

Key Product Details

Species Reactivity

Human

Applications

Immunohistochemistry, Immunohistochemistry-Paraffin

Label

Unconjugated

Antibody Source

Polyclonal Rabbit IgG

Format

BSA Free

Concentration

Concentrations vary lot to lot. See vial label for concentration. If unlisted please contact technical services.

Product Specifications

Immunogen

This antibody was developed against a recombinant protein corresponding to amino acids: DTGSNAYLNVDYVMNYWKDNGAPAEKLIVGFPTYGHNFILSNPSNTGIGAPTSGAGPAGPYAKESGIWAYYE

Reactivity Notes

Immunogen displays the following percentage of sequence identity for non-tested species: Mouse (82%), Rat (85%)

Clonality

Polyclonal

Host

Rabbit

Isotype

IgG

Description

Novus Biologicals Rabbit AMCase/CHIA Antibody - BSA Free (NBP2-32440) is a polyclonal antibody validated for use in IHC. All Novus Biologicals antibodies are covered by our 100% guarantee.

Scientific Data Images for AMCase/CHIA Antibody - BSA Free

Immunohistochemistry: AMCase/CHIA Antibody [NBP2-32440]

Immunohistochemistry: AMCase/CHIA Antibody [NBP2-32440]

Immunohistochemistry: AMCase/CHIA Antibody [NBP2-32440] - Staining of human stomach, upper shows moderate cytoplasmic positivity in glandular cells.
Immunohistochemistry: AMCase/CHIA Antibody [NBP2-32440]

Immunohistochemistry: AMCase/CHIA Antibody [NBP2-32440]

Immunohistochemistry: AMCase/CHIA Antibody [NBP2-32440] - Staining of stomach.
Immunohistochemistry: AMCase/CHIA Antibody [NBP2-32440]

Immunohistochemistry: AMCase/CHIA Antibody [NBP2-32440]

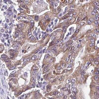
Immunohistochemistry: AMCase/CHIA Antibody [NBP2-32440] - Staining of stomach cancer.

Applications for AMCase/CHIA Antibody - BSA Free

Application
Recommended Usage

Immunohistochemistry

1:50 - 1:200

Immunohistochemistry-Paraffin

1:50 - 1:200
Application Notes
For IHC-Paraffin, HIER pH 6 retrieval is recommended.

Formulation, Preparation, and Storage

Purification

Immunogen affinity purified

Formulation

PBS (pH 7.2) and 40% Glycerol

Format

BSA Free

Preservative

0.02% Sodium Azide

Concentration

Concentrations vary lot to lot. See vial label for concentration. If unlisted please contact technical services.

Shipping

The product is shipped with polar packs. Upon receipt, store it immediately at the temperature recommended below.

Stability & Storage

Store at 4C short term. Aliquot and store at -20C long term. Avoid freeze-thaw cycles.

Background: AMCase/CHIA

Degrades chitin and chitotriose. May participate in the defense against nematodes and other pathogens

Long Name

Acidic Mammalian Chitinase

Alternate Names

CHIA, CHIT2, Chitinase, Acidic, Lung-Specific Protein TSA1902

Gene Symbol

CHIA

Additional AMCase/CHIA Products

Product Documents for AMCase/CHIA Antibody - BSA Free

Certificate of Analysis

To download a Certificate of Analysis, please enter a lot number in the search box below.

Product Specific Notices for AMCase/CHIA Antibody - BSA Free

This product is for research use only and is not approved for use in humans or in clinical diagnosis. Primary Antibodies are guaranteed for 1 year from date of receipt.

Loading...
Loading...
Loading...
Loading...