ALS2CR4 Antibody - BSA Free
Novus Biologicals, part of Bio-Techne | Catalog # NBP2-33656
Key Product Details
Validated by
Independent Antibodies
Species Reactivity
Human
Applications
Immunohistochemistry, Immunohistochemistry-Paraffin, Western Blot
Label
Unconjugated
Antibody Source
Polyclonal Rabbit IgG
Format
BSA Free
Concentration
Concentrations vary lot to lot. See vial label for concentration. If unlisted please contact technical services.
Product Specifications
Immunogen
This antibody was developed against a recombinant protein corresponding to amino acids: ELQYANELGVEDEDIITDEQTTVEQQSVFTAPTGISQPVGKVFVEKSRRFQAADRSELIKTTENIDVSMDVKP
Reactivity Notes
Immunogen displays the following percentage of sequence identity for non-tested species: Mouse (88%), Rat (84%)
Clonality
Polyclonal
Host
Rabbit
Isotype
IgG
Description
Novus Biologicals Rabbit ALS2CR4 Antibody - BSA Free (NBP2-33656) is a polyclonal antibody validated for use in IHC and WB. All Novus Biologicals antibodies are covered by our 100% guarantee.
Scientific Data Images for ALS2CR4 Antibody - BSA Free
Western Blot: ALS2CR4 Antibody [NBP2-33656]
Western Blot: ALS2CR4 Antibody [NBP2-33656] - Lane 1: Marker [kDa] 250, 130, 95, 72, 55, 36, 28, 17, 10Lane 2: Human cell line RT-4
Lane 3: Human cell line U-251MG sp
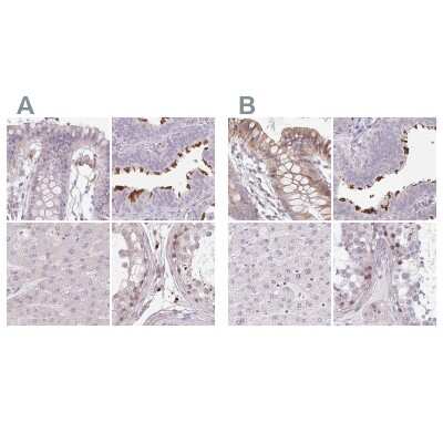
Immunohistochemistry-Paraffin: ALS2CR4 Antibody [NBP2-33656]
Immunohistochemistry-Paraffin: ALS2CR4 Antibody [NBP2-33656] - Staining of human liver.Immunohistochemistry-Paraffin: ALS2CR4 Antibody [NBP2-33656]
Immunohistochemistry-Paraffin: ALS2CR4 Antibody [NBP2-33656] - Staining of human fallopian tube shows strong positivity in cilia of glandular cells.Applications for ALS2CR4 Antibody - BSA Free
Application
Recommended Usage
Immunohistochemistry
1:500 - 1:1000
Immunohistochemistry-Paraffin
1:500 - 1:1000
Western Blot
0.04-0.4 ug/ml
Application Notes
For IHC-Paraffin, HIER pH 6 retrieval is recommended.
Formulation, Preparation, and Storage
Purification
Affinity purified
Formulation
PBS (pH 7.2) and 40% Glycerol
Format
BSA Free
Preservative
0.02% Sodium Azide
Concentration
Concentrations vary lot to lot. See vial label for concentration. If unlisted please contact technical services.
Shipping
The product is shipped with polar packs. Upon receipt, store it immediately at the temperature recommended below.
Stability & Storage
Store at 4C short term. Aliquot and store at -20C long term. Avoid freeze-thaw cycles.
Background: ALS2CR4
Alternate Names
amyotrophic lateral sclerosis 2 (juvenile) chromosome region, candidate 4, amyotrophic lateral sclerosis 2 chromosomal region candidate gene 4 protein, N-terminus truncated
Gene Symbol
TMEM237
UniProt
Additional ALS2CR4 Products
Product Documents for ALS2CR4 Antibody - BSA Free
Product Specific Notices for ALS2CR4 Antibody - BSA Free
This product is for research use only and is not approved for use in humans or in clinical diagnosis. Primary Antibodies are guaranteed for 1 year from date of receipt.
Loading...
Loading...
Loading...
Loading...