Skip to main content

ALS2CR12 Antibody - BSA Free

Novus Biologicals, part of Bio-Techne | Catalog # NBP2-15366

Novus Biologicals, part of Bio-Techne
Catalog #
Availability
Size / Price
Qty
Loading...
NBP2-15366

Key Product Details

Species Reactivity

Human

Applications

Immunohistochemistry, Immunohistochemistry-Paraffin, Western Blot, Immunocytochemistry/ Immunofluorescence

Label

Unconjugated

Antibody Source

Polyclonal Rabbit IgG

Format

BSA Free

Concentration

Concentrations vary lot to lot. See vial label for concentration. If unlisted please contact technical services.

Product Specifications

Immunogen

Recombinant protein encompassing a sequence within the center region of human ALS2CR12. The exact sequence is proprietary.

Clonality

Polyclonal

Host

Rabbit

Isotype

IgG

Theoretical MW

50 kDa.
Disclaimer note: The observed molecular weight of the protein may vary from the listed predicted molecular weight due to post translational modifications, post translation cleavages, relative charges, and other experimental factors.

Description

Novus Biologicals Rabbit ALS2CR12 Antibody - BSA Free (NBP2-15366) is a polyclonal antibody validated for use in IHC, WB and ICC/IF. All Novus Biologicals antibodies are covered by our 100% guarantee.

Scientific Data Images for ALS2CR12 Antibody - BSA Free

Western Blot: ALS2CR12 Antibody [NBP2-15366]

Western Blot: ALS2CR12 Antibody [NBP2-15366]

Western Blot: ALS2CR12 Antibody [NBP2-15366] - Sample (30 ug of whole cell lysate) A: MCF-7 10% SDS PAGE; antibody diluted at 1:1000.
Immunocytochemistry/ Immunofluorescence: ALS2CR12 Antibody [NBP2-15366]

Immunocytochemistry/ Immunofluorescence: ALS2CR12 Antibody [NBP2-15366]

Immunocytochemistry/Immunofluorescence: ALS2CR12 Antibody [NBP2-15366] - Sample: A431 cells were fixed in ice-cold Methanol for 5 min. Green: ALS2CR12 protein stained by ALS2CR12 antibody diluted at 1:500. Blue: Hoechst 33343 staining.
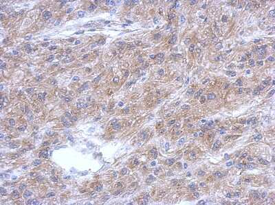
Immunohistochemistry-Paraffin: ALS2CR12 Antibody [NBP2-15366]

Immunohistochemistry-Paraffin: ALS2CR12 Antibody [NBP2-15366]

Immunohistochemistry-Paraffin: ALS2CR12 Antibody [NBP2-15366] - Paraffin-embedded U37C xenograft, using antibody at 1:500 dilution.

Applications for ALS2CR12 Antibody - BSA Free

Application
Recommended Usage

Immunocytochemistry/ Immunofluorescence

1:100-1:1000

Immunohistochemistry

10 - 1:500

Immunohistochemistry-Paraffin

1:100-1:1000

Western Blot

1:500-1:3000

Formulation, Preparation, and Storage

Purification

Antigen Affinity-purified

Formulation

0.1M Tris, 0.1M Glycine, 20% Glycerol

Format

BSA Free

Preservative

0.01% Thimerosal

Concentration

Concentrations vary lot to lot. See vial label for concentration. If unlisted please contact technical services.

Shipping

The product is shipped with polar packs. Upon receipt, store it immediately at the temperature recommended below.

Stability & Storage

Aliquot and store at -20C or -80C. Avoid freeze-thaw cycles.

Background: ALS2CR12

Alternate Names

amyotrophic lateral sclerosis 2 (juvenile) chromosome region, candidate 12

Gene Symbol

FLACC1

UniProt

Additional ALS2CR12 Products

Product Documents for ALS2CR12 Antibody - BSA Free

Certificate of Analysis

To download a Certificate of Analysis, please enter a lot number in the search box below.

Product Specific Notices for ALS2CR12 Antibody - BSA Free

This product is for research use only and is not approved for use in humans or in clinical diagnosis. Primary Antibodies are guaranteed for 1 year from date of receipt.

Loading...
Loading...
Loading...
Loading...

⚠ WARNING: This product can expose you to chemicals including mercury, which is known to the State of California to cause reproductive toxicity with developmental effects.  For more information go to www.P65Warnings.ca.gov.