Skip to main content

Alpha-mannosidase II Antibody (PSH02-67)

Novus Biologicals, part of Bio-Techne | Catalog # NBP3-32565

Recombinant Monoclonal Antibody
Novus Biologicals, part of Bio-Techne
Catalog #
Availability
Size / Price
Qty
Loading...
NBP3-32565

Key Product Details

Species Reactivity

Human, Mouse, Rat

Applications

Flow Cytometry, Immunohistochemistry, Immunohistochemistry-Paraffin, Western Blot

Label

Unconjugated

Antibody Source

Recombinant Monoclonal Rabbit IgG Clone # PSH02-67 expressed in HEK293

Concentration

1 mg/ml

Product Specifications

Immunogen

Recombinant protein within human Alpha-mannosidase II aa 51-500 / 1,144. (Uniprot: Q16706)

Localization

Golgi apparatus membrane.

Clonality

Monoclonal

Host

Rabbit

Isotype

IgG

Theoretical MW

131 kDa.
Disclaimer note: The observed molecular weight of the protein may vary from the listed predicted molecular weight due to post translational modifications, post translation cleavages, relative charges, and other experimental factors.

Description

Novus Biologicals Rabbit Alpha-mannosidase II Antibody (PSH02-67) (NBP3-32565) is a recombinant monoclonal antibody validated for use in IHC, WB and Flow. All Novus Biologicals antibodies are covered by our 100% guarantee.

Scientific Data Images for Alpha-mannosidase II Antibody (PSH02-67)

Alpha-mannosidase II Antibody (PSH02-67)

Western Blot: Alpha-mannosidase II Antibody (PSH02-67) [NBP3-32565]

Western Blot: Alpha-mannosidase II Antibody (PSH02-67) [NBP3-32565] - Western blot analysis of Alpha-mannosidase II on different lysates with Rabbit anti-Alpha-mannosidase II antibody (NBP3-32565) at 1/1,000 dilution.

Lane 1: HepG2 cell lysate
Lane 2: Huh7 cell lysate
Lane 3: JAR cell lysate
Lane 4:U-87 MG cell lysate
Lane 5: HUVEC cell lysate
Lane 6: A375 cell lysate
Lane 7: MDA-MB-468 cell lysate
Lane 8: NCI-H226 cell lysate
Lane 9: Human liver tissue lysate
Lane 10: human lung tissue lysate
Lane 11: human kidney tissue lysate

Lysates/proteins at 30 ug/Lane.

Predicted band size: 131 kDa
Observed band size: 131-151 kDa

Exposure time: 5 minutes;

4-20% SDS-PAGE gel.

Proteins were transferred to a PVDF membrane and blocked with 5% NFDM/TBST for 1 hour at room temperature. The primary antibody (NBP3-32565) at 1/1,000 dilution was used in 5% NFDM/TBST at room temperature for 2 hours. Goat Anti-Rabbit IgG - HRP Secondary Antibody at 1/50,000 dilution was used for 1 hour at room temperature.
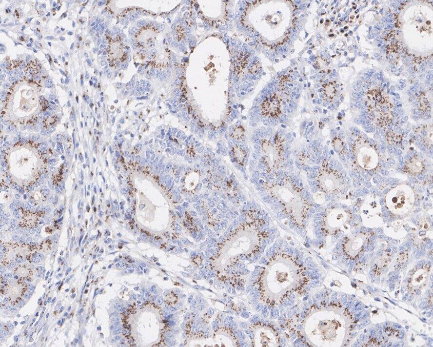
Alpha-mannosidase II Antibody (PSH02-67)

Immunohistochemistry: Alpha-mannosidase II Antibody (PSH02-67) [NBP3-32565]

Immunohistochemistry: Alpha-mannosidase II Antibody (PSH02-67) [NBP3-32565] - Immunohistochemical analysis of paraffin-embedded human colon cancer tissue with Rabbit anti-Alpha-mannosidase II antibody (NBP3-32565) at 1/1,000 dilution.

The section was pre-treated using heat mediated antigen retrieval with Tris-EDTA buffer (pH 9.0) for 20 minutes. The tissues were blocked in 1% BSA for 20 minutes at room temperature, washed with ddH2O and PBS, and then probed with the primary antibody (NBP3-32565) at 1/1,000 dilution for 1 hour at room temperature. The detection was performed using an HRP conjugated compact polymer system. DAB was used as the chromogen. Tissues were counterstained with hematoxylin and mounted with DPX.
Alpha-mannosidase II Antibody (PSH02-67)

Flow Cytometry: Alpha-mannosidase II Antibody (PSH02-67) [NBP3-32565]

Flow Cytometry: Alpha-mannosidase II Antibody (PSH02-67) [NBP3-32565] - Flow cytometric analysis of U-87 MG cells labeling Alpha-mannosidase II.

Cells were washed twice with cold PBS and resuspend. Then stained with the primary antibody (NBP3-32565, 1/1,000) (red) compared with Mouse IgG Isotype Control (green). After incubation of the primary antibody at +4℃ for an hour, the cells were stained with a iFluor™ 488 conjugate-Goat anti-Mouse IgG Secondary antibody at 1/1,000 dilution for 30 minutes at +4℃. Unlabelled sample was used as a control (cells without incubation with primary antibody; black).

Applications for Alpha-mannosidase II Antibody (PSH02-67)

Application
Recommended Usage

Flow Cytometry

1:1000

Immunohistochemistry-Paraffin

1:1000

Western Blot

1:1000

Formulation, Preparation, and Storage

Purification

Protein A purified

Formulation

1*TBS (pH7.4), 0.1% BSA and 40% Glycerol

Preservative

0.05% Sodium Azide

Concentration

1 mg/ml

Shipping

The product is shipped with polar packs. Upon receipt, store it immediately at the temperature recommended below.

Stability & Storage

Store at 4C short term. Aliquot and store at -20C long term. Avoid freeze-thaw cycles.

Background: Alpha-mannosidase II

Alpha-mannosidase II encodes a protein which is a member of family 38 of the glycosyl hydrolases. The protein is located in the Golgi and catalyzes the final hydrolytic step in the asparagine-linked oligosaccharide (N-glycan) maturation pathway. Mutations in the mouse homolog of this gene have been shown to cause a systemic autoimmune disease similar to human systemic lupus erythematosus. [provided by RefSeq]

Alternate Names

alpha-mannosidase 2, AMan II, EC 3.2.1, EC 3.2.1.114, Golgi alpha-mannosidase II, golgi integral membrane protein 7, GOLIM7, Man II, MANA2MANII, Mannosidase alpha class 2A member 1, mannosidase, alpha type II, mannosidase, alpha, class 2A, member 1, Mannosyl-oligosaccharide 1,3-1,6-alpha-mannosidase

Gene Symbol

MAN2A1

Additional Alpha-mannosidase II Products

Product Documents for Alpha-mannosidase II Antibody (PSH02-67)

Certificate of Analysis

To download a Certificate of Analysis, please enter a lot number in the search box below.

Product Specific Notices for Alpha-mannosidase II Antibody (PSH02-67)

This product is for research use only and is not approved for use in humans or in clinical diagnosis. Primary Antibodies are guaranteed for 1 year from date of receipt.

Loading...
Loading...
Loading...
Loading...
Loading...