alpha Adducin Antibody - BSA Free
Novus Biologicals, part of Bio-Techne | Catalog # NBP2-38269
Key Product Details
Validated by
Independent Antibodies
Species Reactivity
Validated:
Human
Predicted:
Mouse (95%), Rat (95%). Backed by our 100% Guarantee.
Applications
Immunohistochemistry, Immunohistochemistry-Paraffin
Label
Unconjugated
Antibody Source
Polyclonal Rabbit IgG
Format
BSA Free
Concentration
Concentrations vary lot to lot. See vial label for concentration. If unlisted please contact technical services.
Product Specifications
Immunogen
This antibody was developed against a recombinant protein corresponding to amino acids: SQVLCGVVMDRSLVQGELVTASKAIIEKEYQPHVIVSTTGPNPFTTLTDRELEEYRREVERKQKGSEENLDEAREQKEKSPPDQP
Clonality
Polyclonal
Host
Rabbit
Isotype
IgG
Description
Novus Biologicals Rabbit alpha Adducin Antibody - BSA Free (NBP2-38269) is a polyclonal antibody validated for use in IHC. All Novus Biologicals antibodies are covered by our 100% guarantee.
Scientific Data Images for alpha Adducin Antibody - BSA Free
Immunohistochemistry-Paraffin: alpha Adducin Antibody [NBP2-38269]
Immunohistochemistry-Paraffin: alpha Adducin Antibody [NBP2-38269] - Staining of human kidney.Immunohistochemistry: alpha Adducin Antibody [NBP2-38269]
Immunohistochemistry: alpha Adducin Antibody [NBP2-38269] - Staining of human kidney shows moderate cytoplasmic positivity in tubule cells.Immunohistochemistry-Paraffin: alpha Adducin Antibody [NBP2-38269]
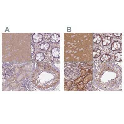
Immunohistochemistry-Paraffin: alpha Adducin Antibody [NBP2-38269] - Staining of human cerebral cortex, colon, kidney and testis using Anti-ADD1 antibody NBP2-38269 (A) shows similar protein distribution across tissues to independent antibody NBP2-38268 (B).Applications for alpha Adducin Antibody - BSA Free
Application
Recommended Usage
Immunohistochemistry
1:2500 - 1:5000
Immunohistochemistry-Paraffin
1:2500 - 1:5000
Application Notes
For IHC-Paraffin, HIER pH 6 retrieval is recommended.
Formulation, Preparation, and Storage
Purification
Affinity purified
Formulation
PBS (pH 7.2) and 40% Glycerol
Format
BSA Free
Preservative
0.02% Sodium Azide
Concentration
Concentrations vary lot to lot. See vial label for concentration. If unlisted please contact technical services.
Shipping
The product is shipped with polar packs. Upon receipt, store it immediately at the temperature recommended below.
Stability & Storage
Store at 4C short term. Aliquot and store at -20C long term. Avoid freeze-thaw cycles.
Background: alpha Adducin
Alternate Names
ADDA, adducin 1 (alpha), alpha-adducin, erythrocyte adducin alpha subunit, Erythrocyte adducin subunit alpha, MGC3339, MGC44427
Gene Symbol
ADD1
UniProt
Additional alpha Adducin Products
Product Documents for alpha Adducin Antibody - BSA Free
Product Specific Notices for alpha Adducin Antibody - BSA Free
This product is for research use only and is not approved for use in humans or in clinical diagnosis. Primary Antibodies are guaranteed for 1 year from date of receipt.
Loading...
Loading...
Loading...
Loading...